症例詳細
Case detail
前歯の突出を防ぎながらガタつきを解消。上下左右4番抜歯による審美ワイヤー矯正
治療症例の内容
- 診療科目
- 治療カテゴリ
- 担当医
- 河口智英(ドクタープロフィール)
- 患者様
- 30代女性
- 矯正装置
- 審美ワイヤー
- 治療期間
- 2年
- 治療回数
- 10-30回
- 治療計画
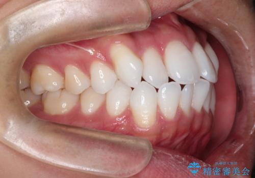
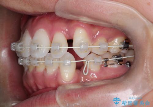
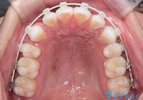
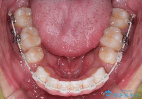
- 前歯のガタつき(叢生)を主訴にご来院されました。精密検査の結果、歯を並べるためのスペースが著しく不足していることが判明しました。
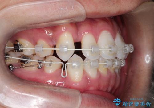
非抜歯で無理に並べようとすると、歯列が外側に広がり、前歯が前方に突き出て口元が突出してしまうリスクがありました。患者様の「これ以上前歯を外に出したくない」という強いご希望を重視し、上下左右の4番目の歯(第一小臼歯)を計4本抜歯してスペースを確保する計画を立案。装置は、装置の見た目を考慮し、白く目立ちにくい審美ワイヤーを選択しました。
- 費用(概算)
- 90万円費用は治療当時の料金となります
治療について
抜歯によって作られたスペースを利用し、前歯を後方に維持したまま、ガタついている歯を一つひとつ正しい位置へと整列させていきました。
審美ワイヤーを用いることで、歯の根元から角度を精密にコントロールし、前歯が前方に傾斜するのを防ぎながらスペースを閉じていきました。これにより、口元のボリュームを維持したまま、美しいアーチ状の歯並びを構築することが可能となりました。
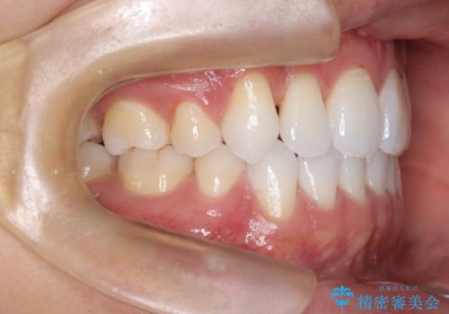
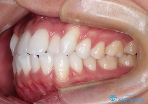
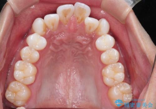
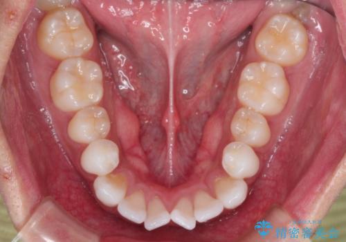
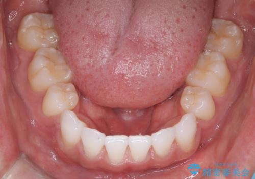
治療完了後、重なり合っていた歯はきれいに整い、懸念されていた前歯の突出も一切起こることなく、理想的な噛み合わせを実現しました。装置が目立ちにくかったため、治療期間中も周囲の目を気にすることなく、前向きに治療に取り組んでいただくことができました。
ワイヤー矯正の注意事項(リスク・副作用など)
- 治療中は違和感や痛みが起こることがあります
- 症状により、抜歯が必要な場合があります
- 治療中は歯磨きがしにくくなるため、虫歯や歯周病になりやすくなります
- 矯正治療後の保定が不十分だと後戻り(元の位置に戻ろうとする動き)をします
- 自費診療(保険適用外)となります
当サイトの内容、テキスト、画像等の無断転載、複製、複写、盗用を固く禁じます。















