症例詳細
Case detail
突き出た前歯を下げて理想的な横顔に。上下左右4番抜歯による審美ワイヤー矯正
治療症例の内容
- 診療科目
- 治療カテゴリ
- 担当医
- 河口智英(ドクタープロフィール)
- 患者様
- 20代女性
- 矯正装置
- 審美ワイヤー
- 治療期間
- 1年6ヶ月
- 治療回数
- 10-30回
- 治療計画
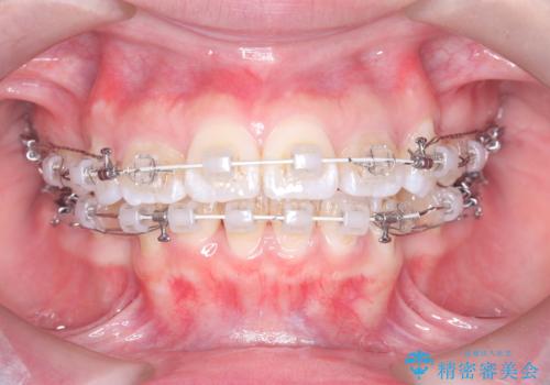
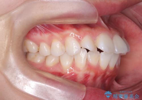
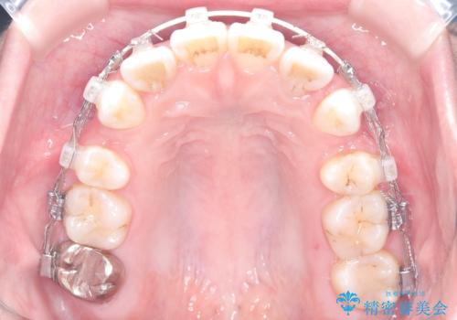
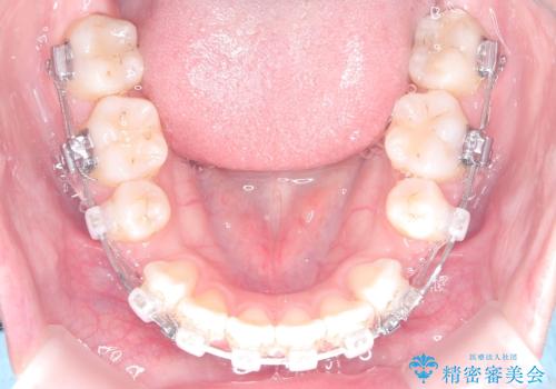
- 前歯が前方に突き出していることによる口元の突出感を改善したいという主訴でご来院されました。
精密検査の結果、歯を後方へ下げるためのスペースが不足していたため、上下左右の4番目の歯(第一小臼歯)を計4本抜歯する計画を立案しました。抜歯によってできたスペースを最大限に活用し、前歯を後ろに下げることで、口元のボリュームを抑え、バランスの良いEライン(横顔のライン)を目指すこととしました。装置は、日常生活で目立ちにくい審美ワイヤーを選択しました。
- 費用(概算)
- 100万円費用は治療当時の料金となります
治療について
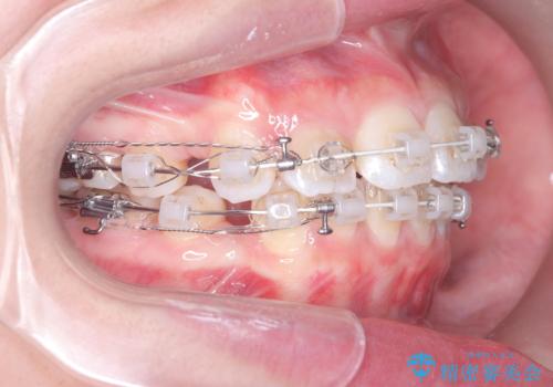
治療は、審美ワイヤーを用いて抜歯スペースを徐々に閉じながら、前歯の角度と位置を精密にコントロールして進められました。ワイヤー矯正は歯を三次元的にしっかりと動かすことができるため、前歯を単に倒すのではなく、根元から理想的な位置へと誘導しました。
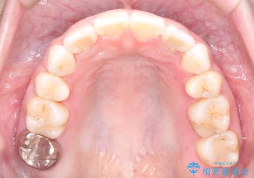
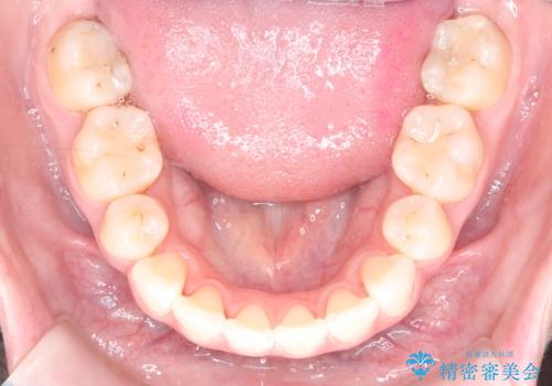
1年半の治療期間を経て、抜歯したスペースは完全に閉じ、突き出ていた前歯はすっきりと内側に収まりました。噛み合わせの精度も向上し、機能面でも良好な結果が得られています。
治療完了後、口元の突出感が解消されたことでお顔全体の印象がシャープになり、患者様からも大変満足していただくことができました。目立ちにくい装置を使用したことで、1年半という期間も無理なく継続し、理想的なゴールを迎えることができました。
ワイヤー矯正の注意事項(リスク・副作用など)
- 治療中は違和感や痛みが起こることがあります
- 症状により、抜歯が必要な場合があります
- 治療中は歯磨きがしにくくなるため、虫歯や歯周病になりやすくなります
- 矯正治療後の保定が不十分だと後戻り(元の位置に戻ろうとする動き)をします
- 自費診療(保険適用外)となります
当サイトの内容、テキスト、画像等の無断転載、複製、複写、盗用を固く禁じます。

















