症例詳細
Case detail
銀歯を自然な白さに。左上小臼歯2本のセラミックインレー修復
治療症例の内容
- 診療科目
- 治療カテゴリ
- 担当医
- 河口智英(ドクタープロフィール)
- 患者様
- 30代女性
- 治療期間
- 1ヶ月
- 治療回数
- 2-5回
- 治療計画
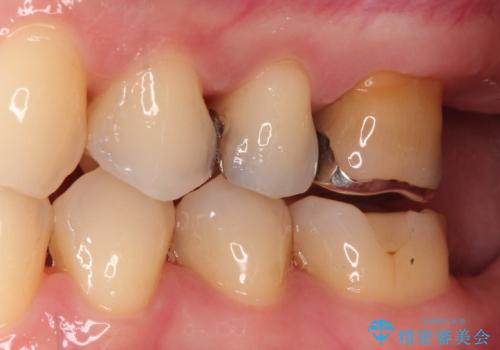
- 左上の4番目と5番目の歯(小臼歯)に入っている銀歯を白くしたいという主訴でご来院されました。
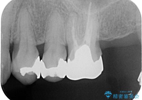
診査の結果、長年使用されていたメタルインレーは経年劣化により適合が悪くなっており、金属の溶け出しによる歯肉の変色や、内部での虫歯再発のリスクも懸念される状態でした。そこで、金属を一切使用しないメタルフリー治療として、耐久性と審美性に優れたセラミックインレーへのやりかえをご提案しました。
- 費用(概算)
- 14万円費用は治療当時の料金となります
治療について
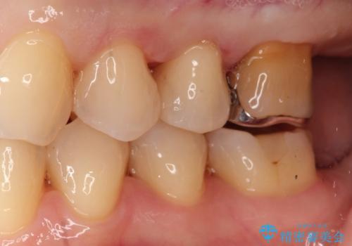
治療ではまず、古いメタルインレーを慎重に除去し、内部のわずかな虫歯を取り除いてから形を整えました。
装着したセラミックインレーは、隣り合う天然歯と見分けがつかないほど自然な色調と透明感を再現しています。また、セラミックはプラーク(歯垢)が付着しにくく、適合性が非常に高いため、二次的な虫歯の予防にも大きく貢献します。
お口を開けた際に目立っていた銀色の部分が解消され、清潔感のある明るい口元になりました。金属アレルギーの心配もなく、健康的で美しい状態を長期的に維持することが可能です。
セラミック治療の注意事項(リスク・副作用など)
- 天然歯を削ります
- 硬い素材は天然歯を傷つけてしまう場合があります
- かみ合わせや歯ぎしりが強すぎる方はセラミックが割れてしまう可能性があります
- 自費診療(保険適用外治療)となります
当サイトの内容、テキスト、画像等の無断転載、複製、複写、盗用を固く禁じます。









