症例詳細
Case detail
狭くて前方に飛び出した歯列 拡大装置を併用したワイヤー抜歯矯正治療
治療症例の内容
- 診療科目
- 治療カテゴリ
- 担当医
- 藤巻太一朗(ドクタープロフィール)
- 患者様
- 30代男性
- 矯正装置
- 審美装置
- 治療期間
- 3年
- 治療回数
- 30回以上
- 治療計画
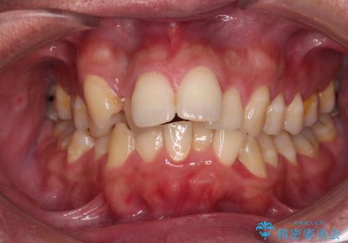
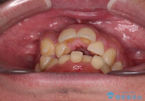
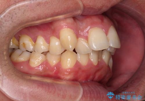
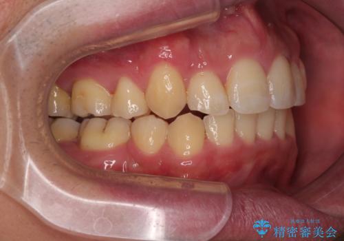
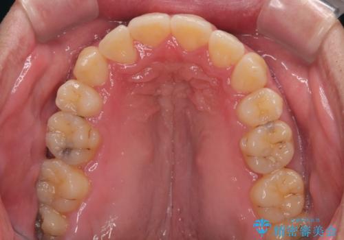
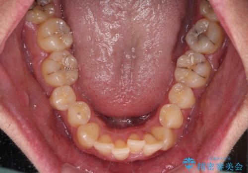
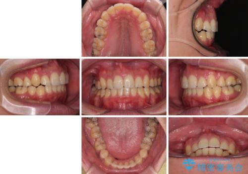
- デコボコと前歯の突出感を気にして来院された患者様です。
舌の突出癖などにより上顎前歯が前方に突出し、さらに歯列幅が狭小になっている状態でした。
また、上顎歯列全体が下顎に対して前方位に位置していました。
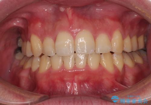
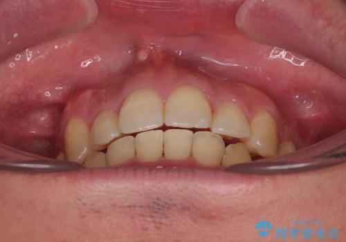
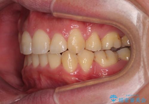
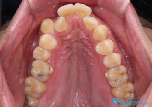
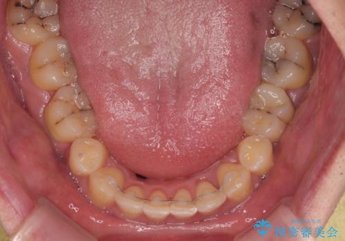
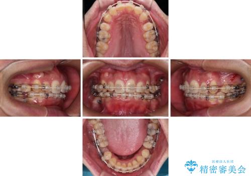
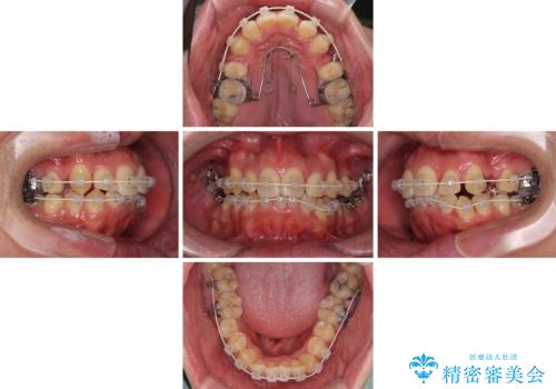
上顎歯列幅を側方に拡大するとともに、歯列全体を後方に移動させるためのアンカースクリューと補助装置を使用し、上顎左右第一小臼歯2本、下顎左右第二小臼歯2本、計4本を抜歯し、ワイヤー装置にて矯正治療を行うこととしました。
- 費用(概算)
- 125万円(税込)費用は治療当時の料金となります
治療について
上下前歯の前後差が非常に大きく、3年以上の治療期間が予想されましたが、無事に3年間ちょうどで仕上げることができました。
ワイヤー矯正の注意事項(リスク・副作用など)
- 治療中は違和感や痛みが起こることがあります
- 症状により、抜歯が必要な場合があります
- 治療中は歯磨きがしにくくなるため、虫歯や歯周病になりやすくなります
- 矯正治療後の保定が不十分だと後戻り(元の位置に戻ろうとする動き)をします
- 自費診療(保険適用外)となります
当サイトの内容、テキスト、画像等の無断転載、複製、複写、盗用を固く禁じます。



























