症例詳細
Case detail
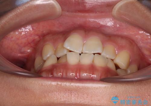
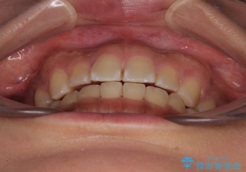
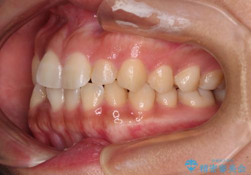
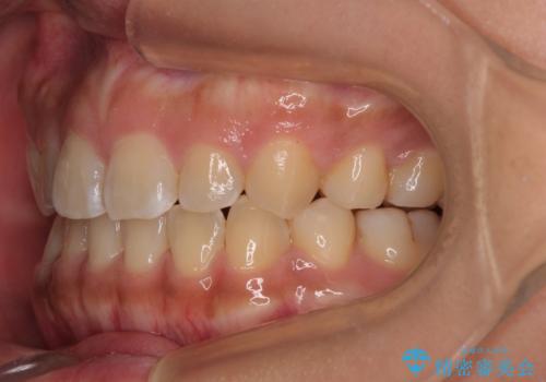
デコボコと捻れて前に飛び出した歯列 抜歯矯正でスッキリした口元に
治療症例の内容
- 診療科目
- 治療カテゴリ
- 担当医
- 藤巻太一朗(ドクタープロフィール)
- 患者様
- 30代女性
- 矯正装置
- メタルブラケット
- 治療期間
- 3年5ヶ月
- 治療回数
- 30回以上
- 治療計画
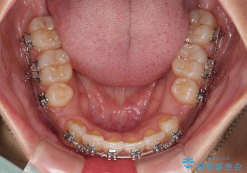
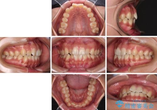
- 前歯のデコボコと口元の突出感を気にして来院された患者様です。
非抜歯矯正ではデコボコを解消することでより口元が突出してしまうため、上下左右の小臼歯4本の抜歯を行い、ワイヤー装置による矯正治療を行うこととしました。
- 費用(概算)
- 90万円(税込)費用は治療当時の料金となります
治療について
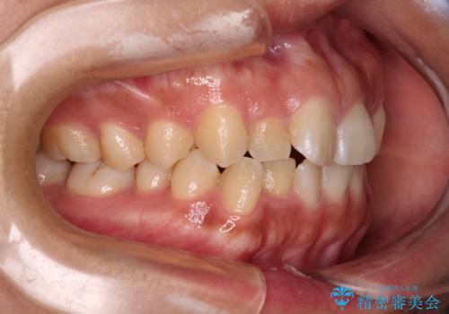
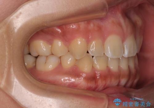
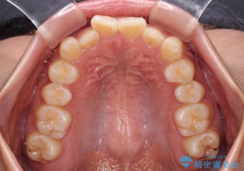
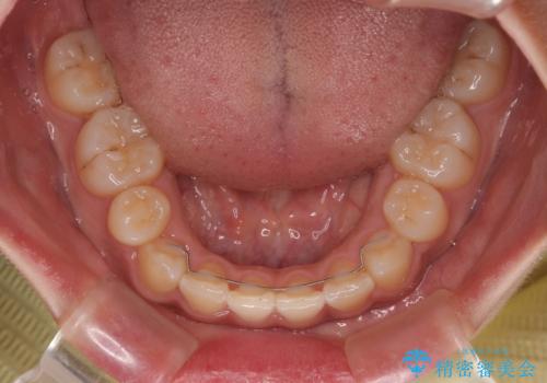
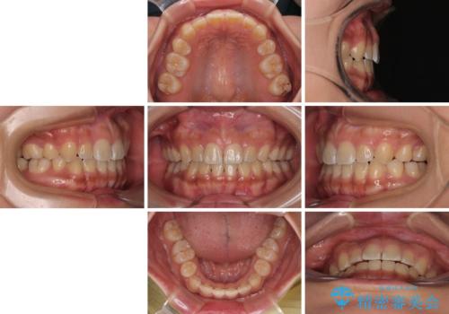
上顎小臼歯の歯根が左右ともに大きく曲がっており、スペースクローズに時間がかかってしまいました。
ワイヤー矯正の注意事項(リスク・副作用など)
- 治療中は違和感や痛みが起こることがあります
- 症状により、抜歯が必要な場合があります
- 治療中は歯磨きがしにくくなるため、虫歯や歯周病になりやすくなります
- 矯正治療後の保定が不十分だと後戻り(元の位置に戻ろうとする動き)をします
- 自費診療(保険適用外)となります
当サイトの内容、テキスト、画像等の無断転載、複製、複写、盗用を固く禁じます。
























