症例詳細
Case detail
インビザラインの自己管理は煩わしい ワイヤー矯正で短期間矯正治療
治療症例の内容
- 診療科目
- 治療カテゴリ
- 担当医
- 藤巻太一朗(ドクタープロフィール)
- 患者様
- 20代女性
- 矯正装置
- 審美装置
- 治療期間
- 1年1ヶ月
- 治療回数
- 10-30回
- 治療計画
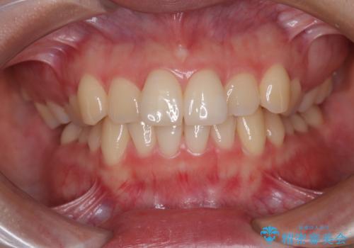
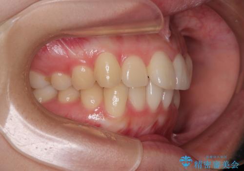
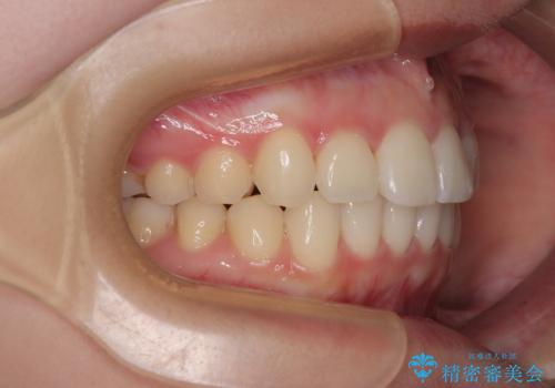
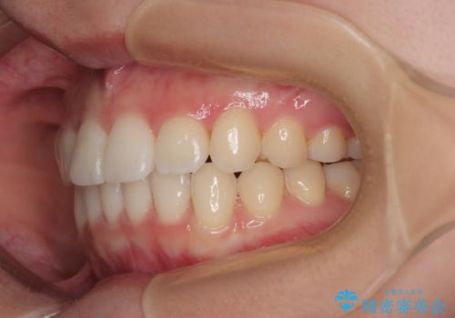
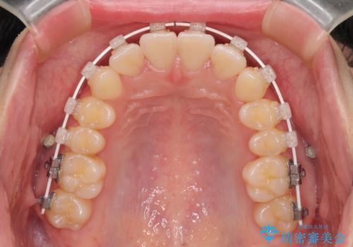
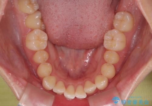
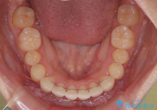
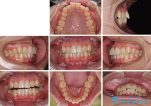
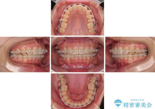
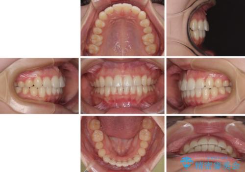
- 上下前歯のデコボコを気にして来院された患者様です。
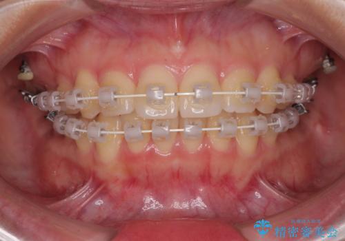
ワイヤー矯正でもマウスピース矯正でも可能でしたが、短期間で、自身の手を煩わせることなく治療を行いたいとのことで、ワイヤー装置にて矯正治療を行うこととしました。
- 費用(概算)
- 95万円(税込)費用は治療当時の料金となります
治療について
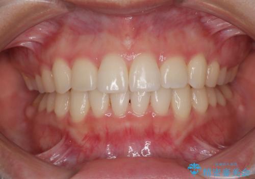
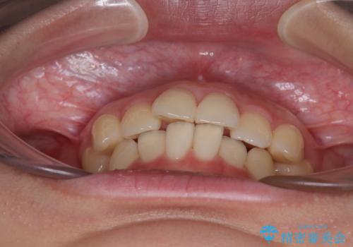
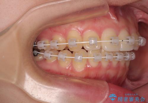
舌の突出癖により、出っ歯仕上がりとなる可能性がありましたが、舌のトレーニングを頑張っていただき、1年強で終えることができました。
ワイヤー矯正の注意事項(リスク・副作用など)
- 治療中は違和感や痛みが起こることがあります
- 症状により、抜歯が必要な場合があります
- 治療中は歯磨きがしにくくなるため、虫歯や歯周病になりやすくなります
- 矯正治療後の保定が不十分だと後戻り(元の位置に戻ろうとする動き)をします
- 自費診療(保険適用外)となります
当サイトの内容、テキスト、画像等の無断転載、複製、複写、盗用を固く禁じます。


























