症例詳細
Case detail
飛び出した前歯を引っ込める ワイヤー装置での抜歯矯正治療
治療症例の内容
- 診療科目
- 治療カテゴリ
- 担当医
- 藤巻太一朗(ドクタープロフィール)
- 患者様
- 20代女性
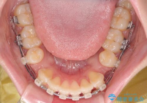
- 矯正装置
- クリアブラケット
- 治療期間
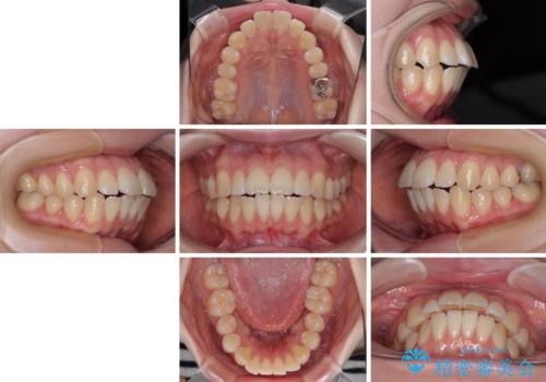
- 1年8ヶ月
- 治療回数
- 10-30回
- 治療計画
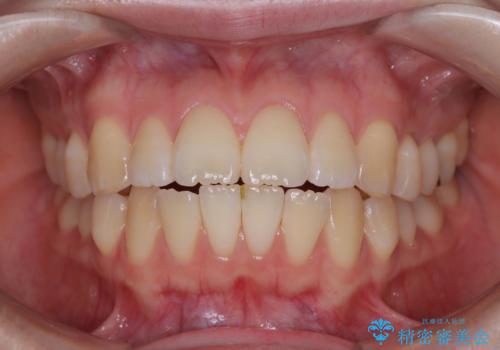
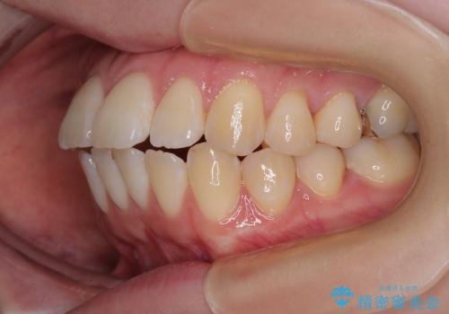
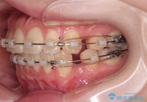
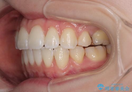
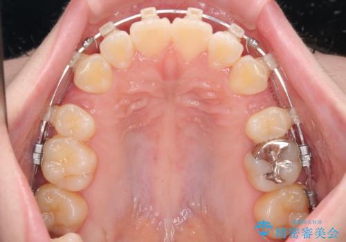
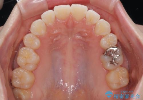
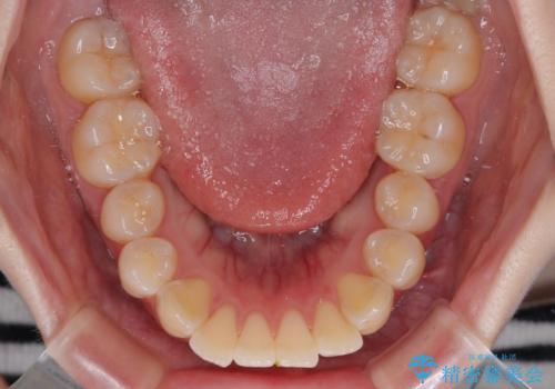
- くちばしのように飛び出した前歯を気にして来院された患者様です。
上下左右の第一小臼歯4本を抜歯して、ワイヤー装置にて矯正治療を行うこととしました。
- 費用(概算)
- 100万円(税込)費用は治療当時の料金となります
治療について
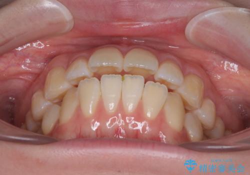
舌の突出癖により、口元が突出しているだけでなく、上下前歯が非接触となっておりました。
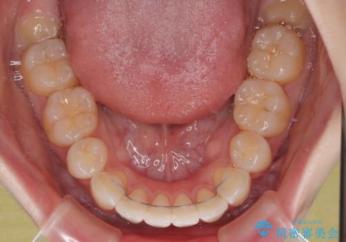
舌のトレーニングをしっかりと行っていただくことで、2年を切って治療を終えるとともに
、上下前歯を接触させることができました。
ワイヤー矯正の注意事項(リスク・副作用など)
- 治療中は違和感や痛みが起こることがあります
- 症状により、抜歯が必要な場合があります
- 治療中は歯磨きがしにくくなるため、虫歯や歯周病になりやすくなります
- 矯正治療後の保定が不十分だと後戻り(元の位置に戻ろうとする動き)をします
- 自費診療(保険適用外)となります
当サイトの内容、テキスト、画像等の無断転載、複製、複写、盗用を固く禁じます。


























