症例詳細
Case detail
治療症例の内容
- 患者様
- 40代男性
- 治療期間
- 7ヶ月
- 治療回数
- 10-30回
- 治療計画
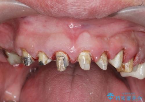
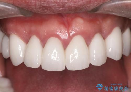
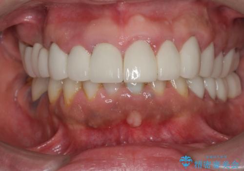
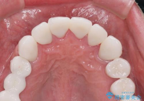
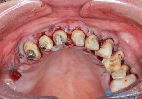
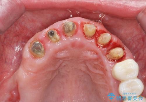
- 前医で行った前歯セラミック形態の改善、常に腫れぼったく歯ブラシの際に出血のある前歯部の治療を希望され来院されました。
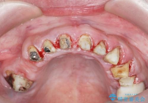
前医により、前歯は歯ぐきの奥深くまで形成されこのままの状態でセラミックをやりかえたとしても歯ぐきの腫れの改善は難しい状況です。
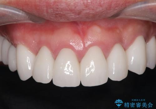
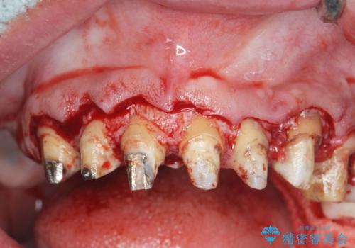
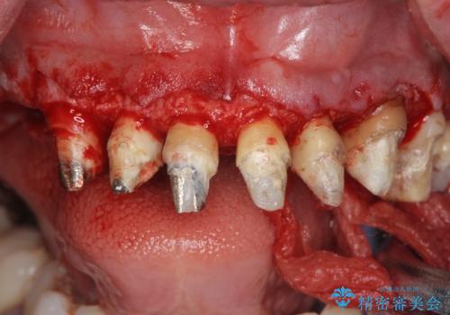
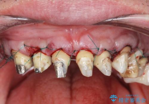
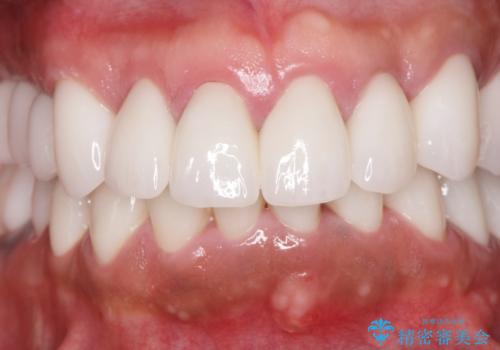
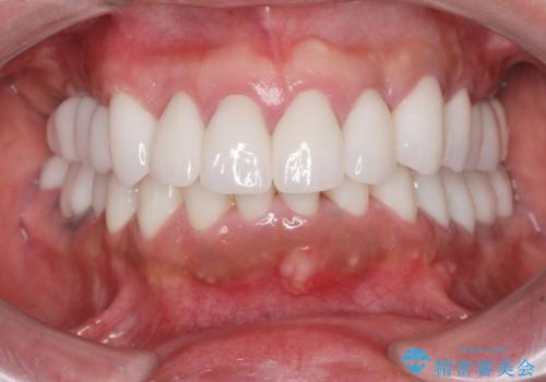
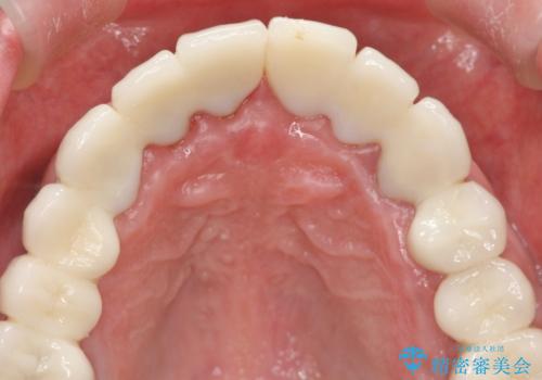
歯周外科を行い歯と歯槽骨・歯肉の関係を是正することで歯ぐきの状態を改善し、将来に亘り安定した歯周環境の維持を期待できるセラミック治療を実践します。
- 費用(概算)
- 95.7万円(ジルコニアクラウン×6・仮歯×6・歯周外科)費用は治療当時の料金となります
治療について
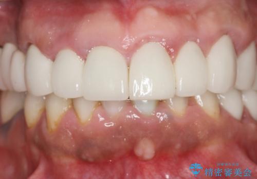
歯ぐきが腫れたままの状態だと、違和感が生じるとともに常に炎症が存在する環境となってしまうので非常に好ましくない口腔内環境です。
外科処置の注意事項(リスク・副作用など)
- 外科手術のため、術後に出血、痛みや腫れ、違和感を伴います
- 口腔内の状態によっては適応できないことがあります
セラミック治療の注意事項(リスク・副作用など)
- 天然歯を削ります
- 硬い素材は天然歯を傷つけてしまう場合があります
- かみ合わせや歯ぎしりが強すぎる方はセラミックが割れてしまう可能性があります
- 自費診療(保険適用外治療)となります
当サイトの内容、テキスト、画像等の無断転載、複製、複写、盗用を固く禁じます。






















