症例詳細
Case detail
保険適応 硬質レジン前装冠から審美的でオールセラミッククラウンへ
治療症例の内容
- 診療科目
- 治療カテゴリ
- 担当医
- 大元洋佑(ドクタープロフィール)
- 患者様
- 50代女性
- 治療期間
- 1ヶ月
- 治療回数
- 2-5回
- 治療計画
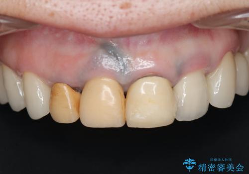
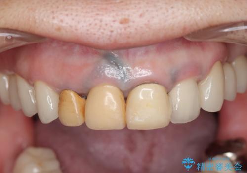
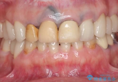
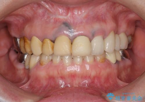
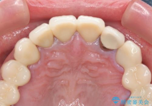
- 変色の進んでしまった前歯を審美的なセラミック治療にしたい、と希望され来院されました。
10数年前に治療を行った保険適応の硬質レジン前装冠は変色劣化が進み、審美的に問題があるだけでなく虫歯のリスクも高くなり好ましくない状況です。
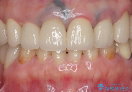
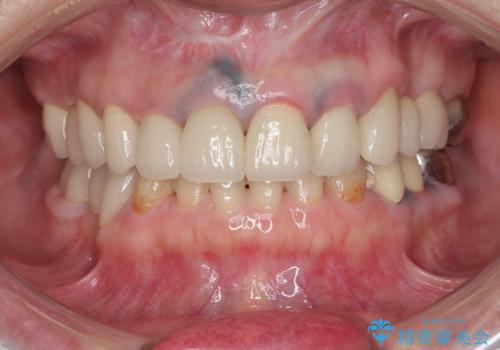
審美的かつ精度の高いセラミック治療を行うことで、汚れがつきにくく虫歯や歯周病の感染リスクを将来にわたって抑える治療が可能になります。
- 費用(概算)
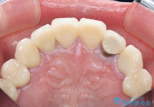
- 39.6万円(ジルコニアクラウン×3・仮歯×3)費用は治療当時の料金となります
治療について
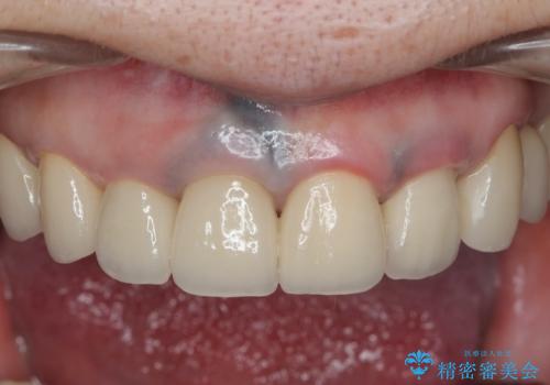
見違えるような審美的な仕上がりに満足いただくことができました。
セラミック治療の注意事項(リスク・副作用など)
- 天然歯を削ります
- 硬い素材は天然歯を傷つけてしまう場合があります
- かみ合わせや歯ぎしりが強すぎる方はセラミックが割れてしまう可能性があります
- 自費診療(保険適用外治療)となります
当サイトの内容、テキスト、画像等の無断転載、複製、複写、盗用を固く禁じます。














