症例詳細
Case detail
転んで折れた前歯セラミック治療で審美改善
治療症例の内容
- 診療科目
- 治療カテゴリ
- 担当医
- 大元洋佑(ドクタープロフィール)
- 患者様
- 40代女性
- 治療期間
- 1ヶ月
- 治療回数
- 2-5回
- 治療計画
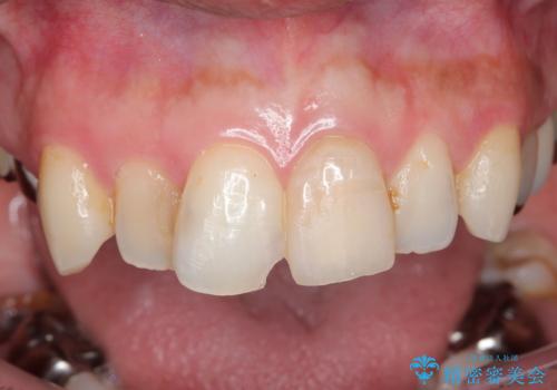
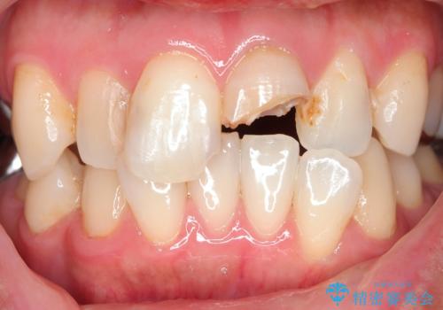
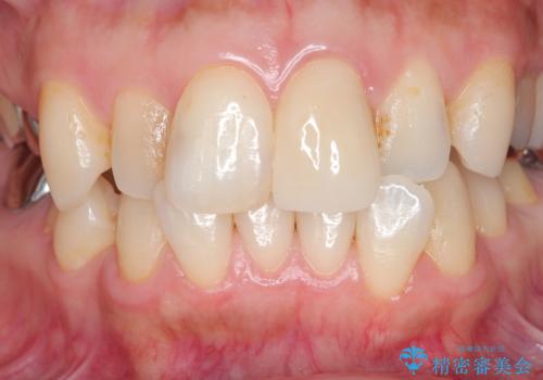
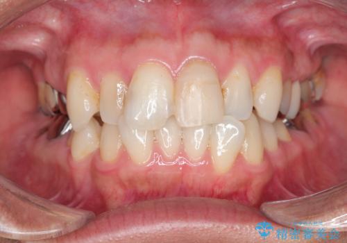
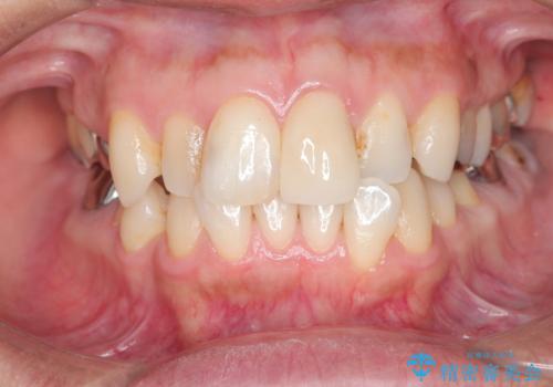
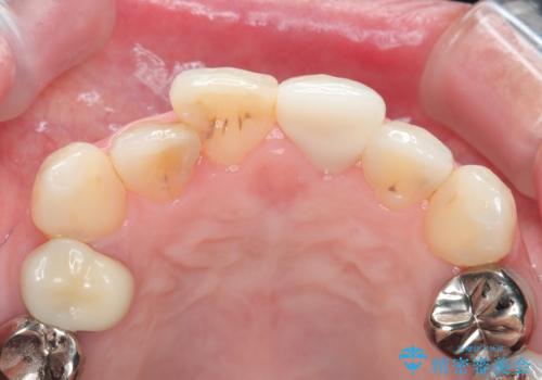
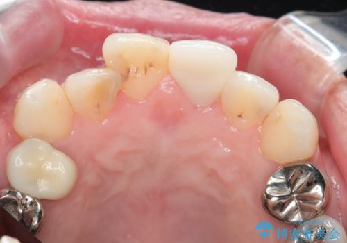
- 自転車で転倒してしまい、前歯を折ってしまい、痛みと見た目の改善を希望され来院されました。
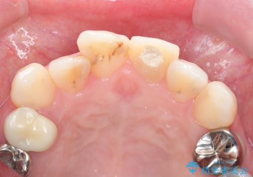
もともと根管治療の為されて歯が折れてしまっているので、根管治療を行い審美的なセラミック治療を行う治療計画としました。
- 費用(概算)
- 15.4万円(ジルコニアクラウン・仮歯・ファイバーコア)費用は治療当時の料金となります
治療について
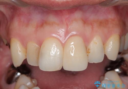
周囲の歯と調和した審美的な仕上がりに満足いただくことができました。
セラミック治療の注意事項(リスク・副作用など)
- 天然歯を削ります
- 硬い素材は天然歯を傷つけてしまう場合があります
- かみ合わせや歯ぎしりが強すぎる方はセラミックが割れてしまう可能性があります
- 自費診療(保険適用外治療)となります
当サイトの内容、テキスト、画像等の無断転載、複製、複写、盗用を固く禁じます。


















