症例詳細
Case detail
【ワイヤー矯正】前歯の突出感、下の歯の並びを良くしたい
治療症例の内容
- 診療科目
- 担当医
- 町田睦月(ドクタープロフィール)
- 患者様
- 20代女性
- 矯正装置
- 審美装置
- 治療期間
- 2年
- 治療回数
- 10-30回
- 治療計画
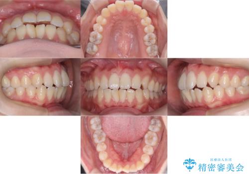
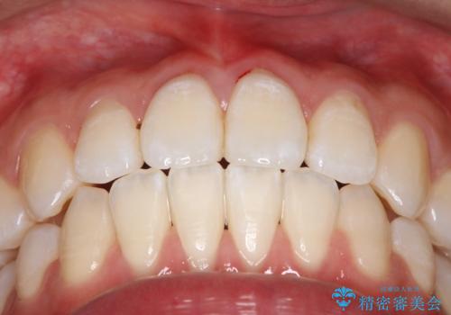
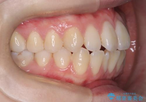
- 主訴:上の前歯の突出感と下の歯の並びを改善したい
非抜歯で矯正治療を行った場合と、上下左右4番目の歯を抜歯して矯正治療を行った場合のシミュレーションを見ていただき、非抜歯での矯正治療を希望されました。
- 費用(概算)
- 1,000,000円(税抜き)費用は治療当時の料金となります
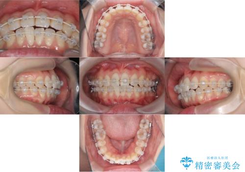
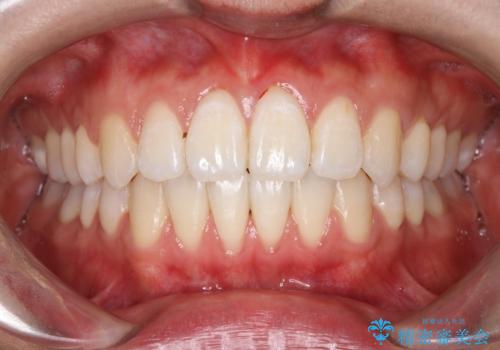
治療について
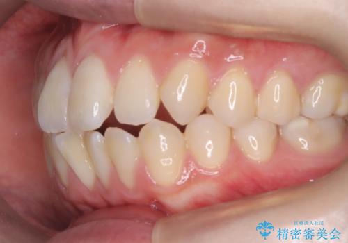
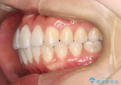
非抜歯にて矯正治療を行いました。
IPRを行い、前歯部の突出感の改善に努めました。
期間:1年9カ月
ワイヤー矯正の注意事項(リスク・副作用など)
- 治療中は違和感や痛みが起こることがあります
- 症状により、抜歯が必要な場合があります
- 治療中は歯磨きがしにくくなるため、虫歯や歯周病になりやすくなります
- 矯正治療後の保定が不十分だと後戻り(元の位置に戻ろうとする動き)をします
- 自費診療(保険適用外)となります
当サイトの内容、テキスト、画像等の無断転載、複製、複写、盗用を固く禁じます。

















