症例詳細
Case detail
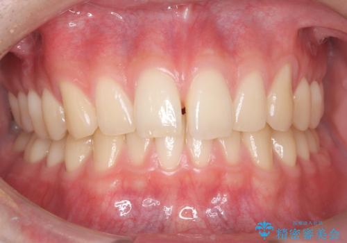
【ワイヤー矯正】前歯が出ているのが気になる
治療症例の内容
- 診療科目
- 治療カテゴリ
- 担当医
- 町田睦月(ドクタープロフィール)
- 患者様
- 20代男性
- 矯正装置
- ワイヤー矯正装置(審美装置)
- 治療期間
- 2年
- 治療回数
- 10-30回
- 治療計画
- 主訴:前歯が出ているのが気になる
上顎両側小臼歯抜歯し、下顎は歯と歯の間を削りスペースを作って並べていくことにしました。
- 費用(概算)
- 1,100,000円(税込)費用は治療当時の料金となります
治療について
上顎両側第一小臼歯のみ抜歯二級仕上げとしています。途中上下顎ともIPRを行っています。
治療期間:1年10か月
ワイヤー矯正の注意事項(リスク・副作用など)
- 治療中は違和感や痛みが起こることがあります
- 症状により、抜歯が必要な場合があります
- 治療中は歯磨きがしにくくなるため、虫歯や歯周病になりやすくなります
- 矯正治療後の保定が不十分だと後戻り(元の位置に戻ろうとする動き)をします
- 自費診療(保険適用外)となります
当サイトの内容、テキスト、画像等の無断転載、複製、複写、盗用を固く禁じます。



















