症例詳細
Case detail
閉院による転院からのリカバリー。インビザラインからワイヤー矯正への切り替え
治療症例の内容
- 診療科目
- 治療カテゴリ
- 担当医
- 河口智英(ドクタープロフィール)
- 患者様
- 20代女性
- 治療期間
- 1年6ヶ月
- 治療回数
- 10-30回
- 治療計画
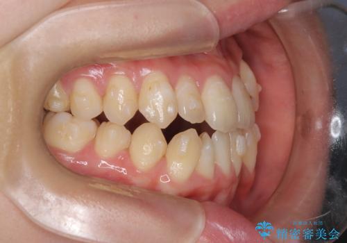
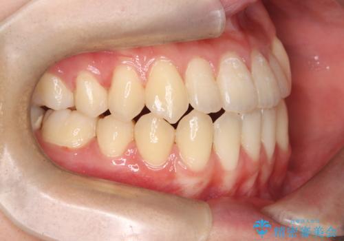
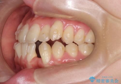
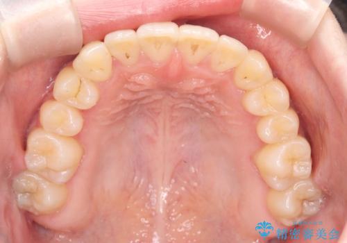
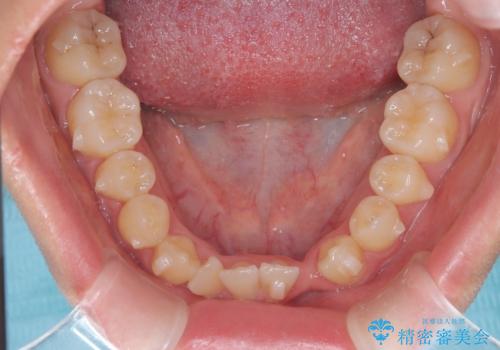
- 他院でインビザライン矯正を行っていたものの、通院先の閉院により治療が継続できなくなったとのことで来院されました。
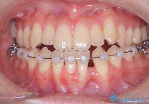
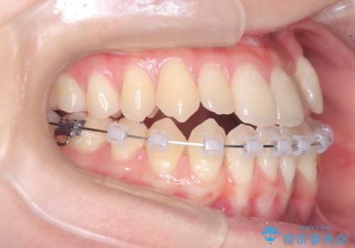
診査の結果、すでに下顎前歯の抜歯が行われていましたが、マウスピースの適合が著しく悪くなっており、歯が計画通りに動いていない状態でした。また、歯を支える骨の厚みや歯肉の薄さを考慮すると、このままマウスピースによる傾斜移動を続けるのは歯肉退縮(歯茎が下がること)のリスクが非常に高いと判断。
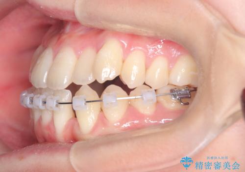
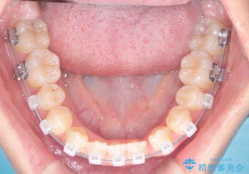
安全かつ確実に抜歯スペースを閉じ、咬み合わせを完成させるため、マウスピースから**ワイヤー矯正(マルチブラケット装置)**へ切り替えるリカバリープランを提案しました。
- 費用(概算)
- 60万円費用は治療当時の料金となります
治療について
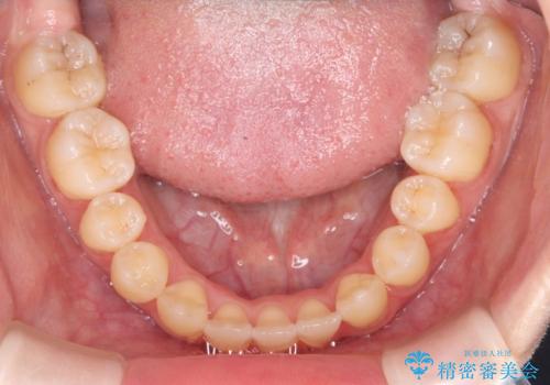
転院という不安な状況にある患者様のストレスを最小限に抑えつつ、歯の健康を最優先にした処置を行いました。
装置の変更と歯肉への配慮: ワイヤー矯正は歯の根(歯根)を平行に移動させる「歯体移動」を得意としています。本症例では、歯肉退縮を防ぐために、歯の傾きを精密にコントロールしながら抜歯スペースを閉じる必要がありました。ワイヤー装置を用いることで、インビザラインでは難しくなっていた三次元的な細かい調整を可能にしました。
リカバリーのプロセス: 適合が悪くなったインビザラインを一旦中止し、ブラケットを装着。停滞していた歯の移動を再開させ、上下の正中(中心)や奥歯の咬み合わせを一つひとつ整えていきました。
ワイヤー矯正の注意事項(リスク・副作用など)
- 治療中は違和感や痛みが起こることがあります
- 症状により、抜歯が必要な場合があります
- 治療中は歯磨きがしにくくなるため、虫歯や歯周病になりやすくなります
- 矯正治療後の保定が不十分だと後戻り(元の位置に戻ろうとする動き)をします
- 自費診療(保険適用外)となります
当サイトの内容、テキスト、画像等の無断転載、複製、複写、盗用を固く禁じます。















