症例詳細
Case detail
神経を抜かずに守る。MTAを用いた部分的断髄法と精密セラミック修復
治療症例の内容
- 診療科目
- 治療カテゴリ
- 担当医
- 河口智英(ドクタープロフィール)
- 患者様
- 20代女性
- 治療期間
- 2ヶ月
- 治療回数
- 2-5回
- 治療計画
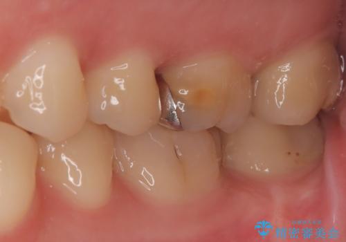
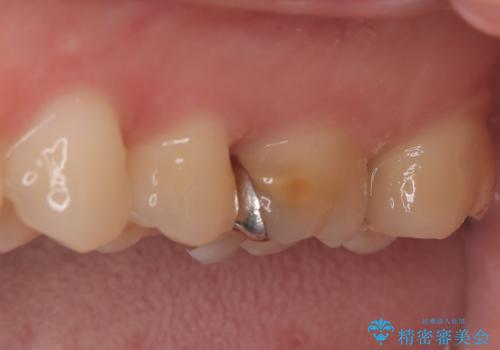
- 「冷たいものが強くしみる」という主訴でご来院されました。精密な診査の結果、虫歯が非常に深く、通常であれば神経を全て抜く「抜髄(ばつずい)」が必要な状態でした。しかし、神経を抜くと歯の寿命が縮まってしまうため、今回は神経の一部を温存する**「部分的断髄法(VPT)」**を提案しました。高い殺菌性と封鎖性、そして組織の再生を促す効果を持つMTAセメントを使用して神経を保護し、最終的には強度と審美性に優れたセラミックで修復する計画を立案しました。
- 費用(概算)
- 40万円費用は治療当時の料金となります
治療について
部分的断髄法(MTAの使用): ラバーダム防湿を行い、無菌的な環境下で虫歯を慎重に除去。神経の露出を確認した後、炎症を起こしている一部の神経のみを除去し、残りの健全な神経を保護するためにMTAセメントを充填しました。これにより、神経の機能を維持し、歯を内部から守ることが可能となりました。
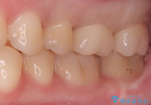
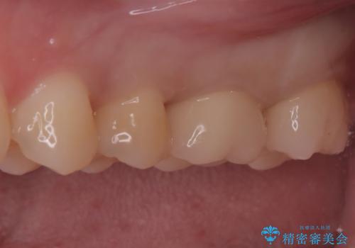
経過観察と土台作り: 一定期間の経過を観察し、痛みや炎症がないことを確認。神経の生存を確認した上で、セラミックを支えるための土台を精密に構築しました。
セラミックによる修復: 最終的な被せ物(または詰め物)にはセラミックを使用しました。高い適合性により、二次的な虫歯のリスクを抑えつつ、天然歯のような自然な咬み心地と美しさを再現しました。
セラミック治療の注意事項(リスク・副作用など)
- 天然歯を削ります
- 硬い素材は天然歯を傷つけてしまう場合があります
- かみ合わせや歯ぎしりが強すぎる方はセラミックが割れてしまう可能性があります
- 自費診療(保険適用外治療)となります
根管治療の注意事項(リスク・副作用など)
- 根管治療により類似の全ての症例の問題が解決するわけではなく、症例はあくまでも一例です
- 根管治療により痛みや腫れがひかない事や、術後に痛みや腫れが生じる事、治療によるファイル破折やパーフォレーションなどの偶発症、術後の歯根破折を生じる可能性もあります
- 自費診療(保険適用外)となります
当サイトの内容、テキスト、画像等の無断転載、複製、複写、盗用を固く禁じます。














