症例詳細
Case detail
全ての銀歯をセラミックへ。お口全体をメタルフリーにして笑顔まで明るく
治療症例の内容
- 診療科目
- 治療カテゴリ
- 担当医
- 河口智英(ドクタープロフィール)
- 患者様
- 40代男性
- 治療期間
- 1年
- 治療回数
- 5-10回
- 治療計画
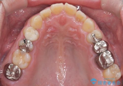
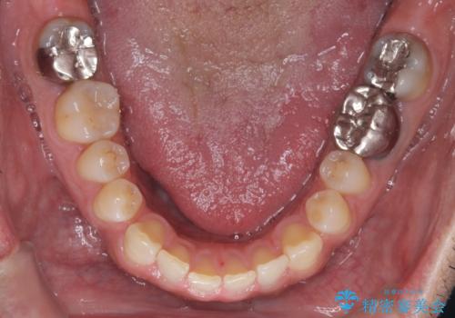
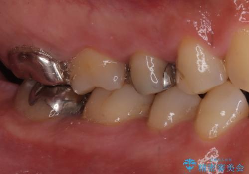
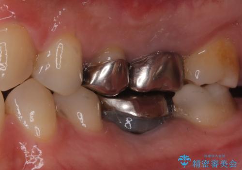
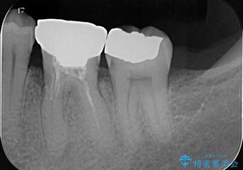
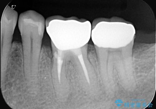
- お口の中にある銀歯を全てなくして、白く健康的な状態にしたい」という主訴でご来院されました。長年使用してきた複数の銀歯は、経年劣化により適合が悪くなっており、一部では内部で二次カリエス(虫歯の再発)も認められました。
患者様と相談の上、全ての金属(メタル)を取り除き、生体親和性が高く審美性に優れた素材へ置き換えるメタルフリー治療の計画を立案。部位や欠損の大きさに合わせ、セラミックインレーおよびセラミッククラウンを用いて、お口全体の調和を整えることとしました。
- 費用(概算)
- 85万円費用は治療当時の料金となります
治療について
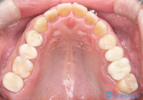
銀歯の除去と精密な再治療: 古い銀歯を一つひとつ丁寧に取り外し、内部の虫歯を徹底的に除去。神経を保護するための処置を行った上で、適合性を極限まで高めるために精密な型取りを行いました。
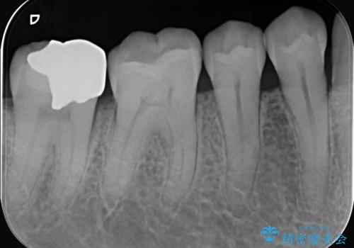
オールセラミックによる修復: 天然歯のような光の透過性と硬さを持つオールセラミックを使用しました。奥歯であっても、患者様固有の歯の色調や咬み合わせの溝を忠実に再現した修復物を装着。金属を一切使用しないことで、金属アレルギーのリスクを排除し、歯肉の色が黒ずむ心配もなくなりました。
【治療の結果】 全ての銀歯が白くなったことで、お口の中がパッと明るくなりました。見た目の美しさだけでなく、表面が滑らかなセラミックはプラークが付着しにくいため、将来的な虫歯や歯周病の予防効果も高まった健康的な口腔環境が実現しました。
セラミック治療の注意事項(リスク・副作用など)
- 天然歯を削ります
- 硬い素材は天然歯を傷つけてしまう場合があります
- かみ合わせや歯ぎしりが強すぎる方はセラミックが割れてしまう可能性があります
- 自費診療(保険適用外治療)となります
当サイトの内容、テキスト、画像等の無断転載、複製、複写、盗用を固く禁じます。



















