症例詳細
Case detail
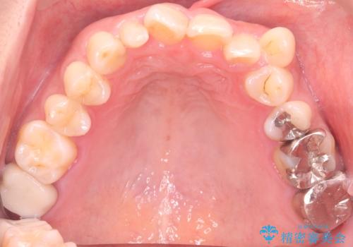
40代から始める歯並び改善。左上の八重歯を抜歯矯正ですっきりと
治療症例の内容
- 担当医
- 河口智英(ドクタープロフィール)
- 患者様
- 40代女性
- 治療期間
- 1年6ヶ月
- 治療回数
- 10-30回
- 治療計画
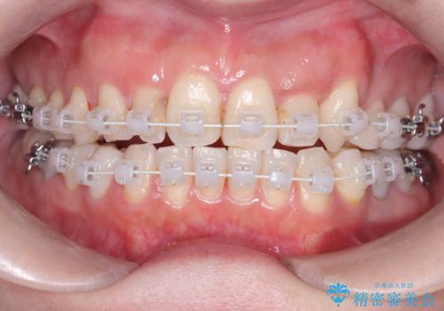
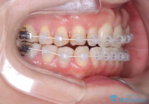
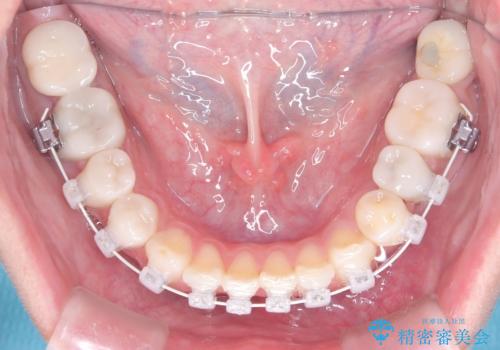
- 40代の患者様で、左上の**八重歯(犬歯の突出)**をずっと気にされていたものの、年齢的な不安から治療を迷われていたとのことでした。精密な検査の結果、左上の歯列に八重歯を収めるための十分なスペースがないことが判明。
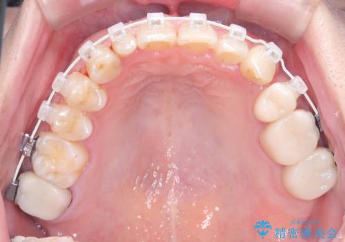
40代は歯周組織の健康維持も重要なため、無理な拡大を避け、左上4番(第一小臼歯)を抜歯して確実にスペースを確保する計画を立てました。装置には、歯を三次元的にしっかりとコントロールでき、確実な移動が見込めるワイヤー矯正を選択。八重歯を正しい位置へ誘導し、健康的で美しい口元を目指しました。
- 費用(概算)
- 100万円費用は治療当時の料金となります
治療について
治療のポイントは、40代という節目に、将来的なメンテナンスのしやすさも考慮した機能的な歯並びを構築することでした。
まず、計画通り左上4番を抜歯し、そのスペースを利用して八重歯を徐々に正しい位置へと移動させました。ワイヤー矯正特有の「歯を細かく、確実に動かす力」を最大限に活用し、歯根の向きまで丁寧に調整。
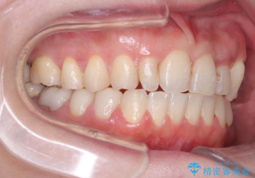
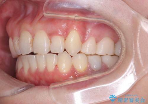
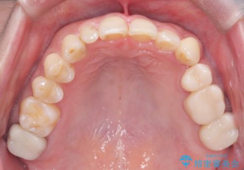
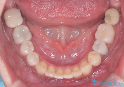
治療が進むにつれ、突出していた八重歯がスムーズに列に収まり、凹凸がなくなったことで、以前よりもブラッシングがしやすく清潔な口腔環境が整いました。治療完了後、長年のコンプレックスから解放された患者様の笑顔は非常に明るく、40代からでも遅くない「大人の矯正」の大きなメリットを実感していただける症例となりました。
ワイヤー矯正の注意事項(リスク・副作用など)
- 治療中は違和感や痛みが起こることがあります
- 症状により、抜歯が必要な場合があります
- 治療中は歯磨きがしにくくなるため、虫歯や歯周病になりやすくなります
- 矯正治療後の保定が不十分だと後戻り(元の位置に戻ろうとする動き)をします
- 自費診療(保険適用外)となります
当サイトの内容、テキスト、画像等の無断転載、複製、複写、盗用を固く禁じます。















