症例詳細
Case detail
重度のガタガタを効率よく改善。ワイヤー矯正とインビザラインの併用治療
治療症例の内容
- 診療科目
- 治療カテゴリ
- 担当医
- 河口智英(ドクタープロフィール)
- 患者様
- 30代女性
- 治療期間
- 3年
- 治療回数
- 30回以上
- 治療計画
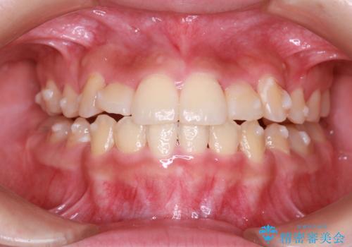
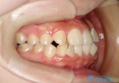
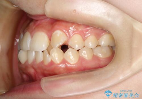
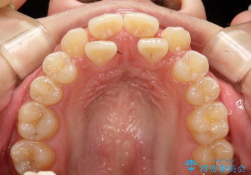
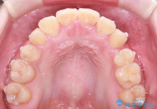
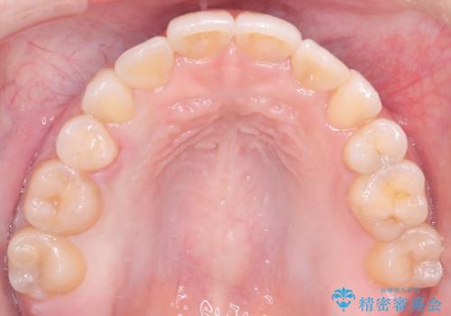
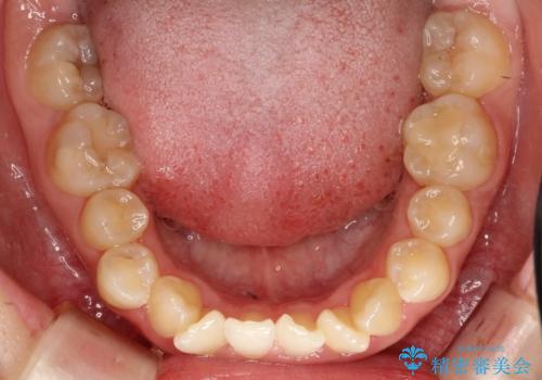
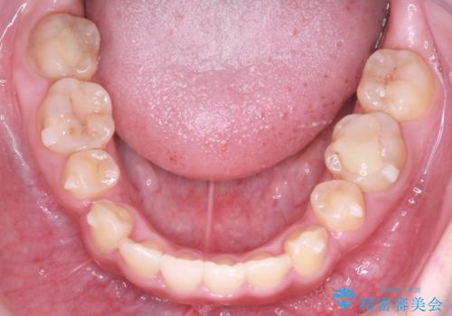
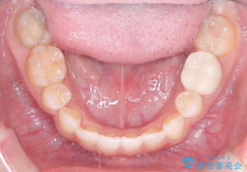
- 上下の前歯に激しい段差がある**重度の叢生(がたつき)**を主訴にご来院されました。精密検査の結果、歯をきれいに並べるためのスペースが圧倒的に不足していたため、上下左右の4番目の歯(第一小臼歯)を計4本抜歯する計画を立案しました。
本症例では、まず抜歯した大きなスペースを効率よく使い、歯の根元から大きく動かす必要があるため、初期段階にワイヤー矯正を採用。その後、細かな噛み合わせの調整や仕上げにインビザラインを使用する「ハイブリッドな矯正治療」で、期間の短縮と精度の高い仕上がりを目指しました。
- 費用(概算)
- 100万円費用は治療当時の料金となります
治療について
治療は、それぞれの装置のメリットを最大限に活かす2ステップで進めました。
ワイヤー矯正による先行治療: 最初のステージでは、ワイヤー装置を使用して抜歯したスペースへ歯を大きく移動させました。重度の叢生の場合、ワイヤーを用いることで歯のねじれや大きな移動をスピーディーに行うことができ、治療期間の短縮につながります。
インビザラインによる精密な仕上げ: 全体のがたつきが概ね整った段階で、インビザライン(マウスピース矯正)へ移行しました。透明で目立たないマウスピースを使用しながら、0.1mm単位の細かな歯の配置や、最終的な咬み合わせのバランスを精密に整えていきました。
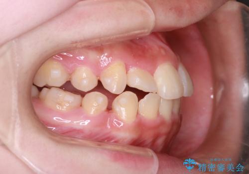
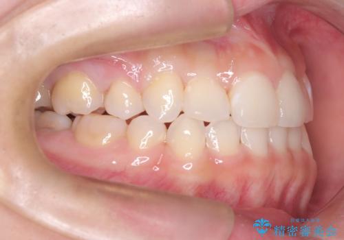
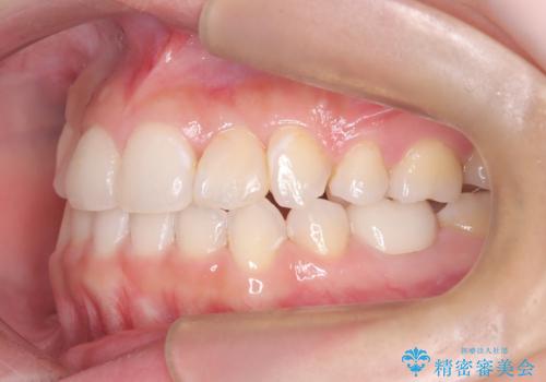
治療の結果、重度のがたつきは跡形もなく解消され、抜歯したスペースもきれいに閉じました。ワイヤーによる「確実な移動」と、インビザラインによる「緻密な仕上げ」を組み合わせることで、審美性と機能性の両立を叶えた美しい歯並びを実現しました。
マウスピース矯正の注意事項(リスク・副作用など)
- 口腔内・歯並びの状態によっては対応できない場合があります
- マウスピース型矯正装置の長時間装着(1日20時間以上)が必須です
- 治療計画通りに進めるためには、患者様の意志が重要になります
- 矯正治療後の保定が不十分だと後戻り(元の位置に戻ろうとする動き)をします
- 薬機法対象外の矯正歯科装置のため医薬品副作用被害救済制度の対象外となる場合があります
- 自費診療(保険適用外)となります
当サイトの内容、テキスト、画像等の無断転載、複製、複写、盗用を固く禁じます。















