症例詳細
Case detail
見逃しやすい小さな穴も精密に修復。自然な見た目のセラミックインレー
治療症例の内容
- 診療科目
- 治療カテゴリ
- 担当医
- 河口智英(ドクタープロフィール)
- 患者様
- 30代女性
- 治療期間
- 1ヶ月
- 治療回数
- 2-5回
- 治療計画
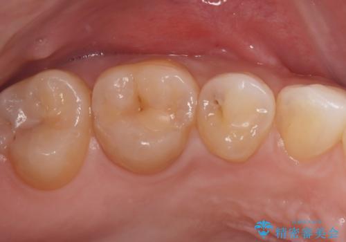
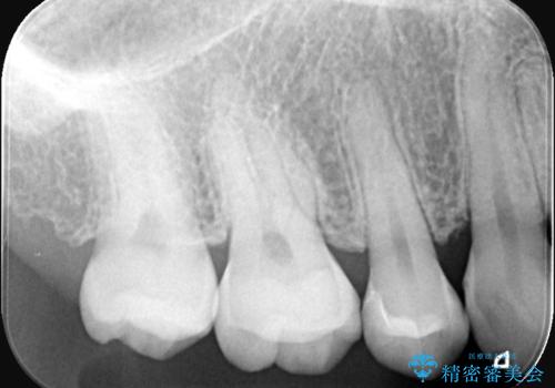
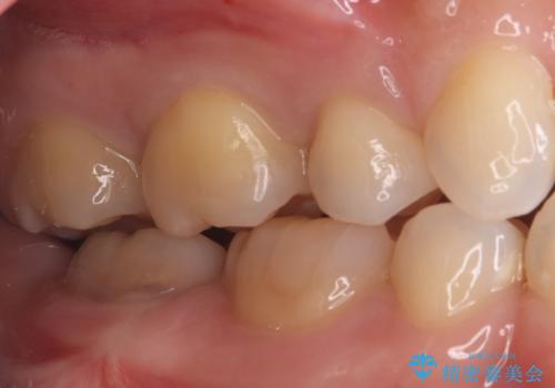
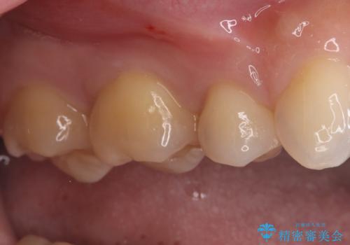
- 右上5番(小臼歯)の咬み合わせの面(咬合面)に小さな穴があることを主訴にご来院されました。視診およびレントゲン検査の結果、表面の穴は小さいものの、内部で虫歯が広がっていることが確認されました。患者様から「目立たないように治したい」というご希望があったため、健全な歯質を極力残しながら、審美性と耐久性に優れた**セラミックインレー(詰め物)**で修復する計画を立案しました。
- 費用(概算)
- 7万円費用は治療当時の料金となります
治療について
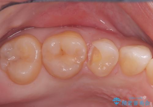
治療ではまず、小さな穴から内部に広がっていた虫歯を、マイクロスコープ(歯科用顕微鏡)等を用いて精密に除去しました。虫歯を取り除いた後の空洞を整え、歯との適合性を高めるための精密な型取りを行いました。
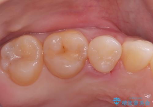
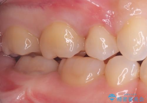
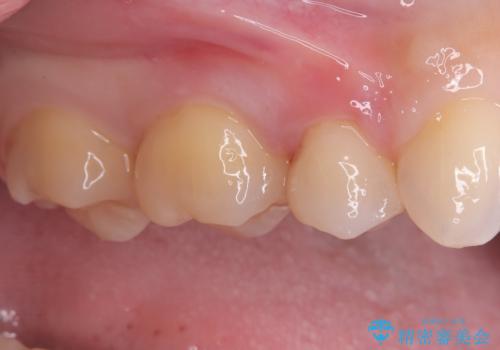
後日、歯の色調に合わせてオーダーメイドで作製されたセラミックインレーを装着。セラミックは天然歯のような透明感があるため、修復した箇所がどこかわからないほど自然な仕上がりとなりました。
また、セラミックは汚れ(プラーク)が付きにくく、経年劣化による変色もほとんどないため、再発リスクを抑えつつ、長期的に白く美しい状態を維持することが可能です。機能・審美の両面で、患者様にご満足いただける結果となりました。
セラミック治療の注意事項(リスク・副作用など)
- 天然歯を削ります
- 硬い素材は天然歯を傷つけてしまう場合があります
- かみ合わせや歯ぎしりが強すぎる方はセラミックが割れてしまう可能性があります
- 自費診療(保険適用外治療)となります
当サイトの内容、テキスト、画像等の無断転載、複製、複写、盗用を固く禁じます。









