症例詳細
Case detail
詰め物が外れた奥歯。MB2の発見
治療症例の内容
- 診療科目
- 治療カテゴリ
- 担当医
- 河口智英(ドクタープロフィール)
- 患者様
- 30代女性
- 治療期間
- 2ヶ月
- 治療回数
- 2-5回
- 治療計画
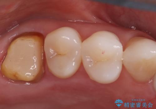
- 「奥歯の詰め物が取れた」という主訴でご来院されました。レントゲンおよび視診の結果、詰め物が外れた内部で虫歯が再発しており、根の先にも炎症が見られたため、再根管治療(根の再治療)が必要と診断しました。 特に上顎の大きな奥歯(第一大臼歯)は、通常の根管以外に「MB2」と呼ばれる隠れた根管が存在することが多く、これが未処置のままだと再発の原因となります。そこで、歯科用顕微鏡(マイクロスコープ)を用いて徹底的に内部を清掃し、その後、強度と審美性に優れたオールセラミッククラウンで修復する計画を立案しました。
- 費用(概算)
- 40万円費用は治療当時の料金となります
治療について
治療のポイントは、肉眼では見えない微細な異変を見逃さない精密な根管治療でした。
顕微鏡によるMB2の発見: 歯科用顕微鏡(マイクロスコープ)を使用し、根管内を強拡大して観察したところ、事前の予想通り、従来の治療では見逃されていた**第4の根管「MB2」**を発見しました。この未処置だった根管内の汚れを徹底的に除去・消毒することで、痛みの再発リスクを根本から取り除きました。
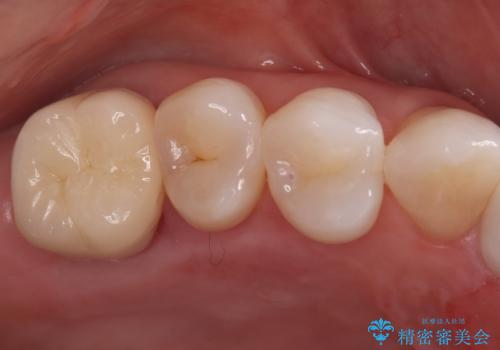
オールセラミッククラウンによる修復: 根管内が清潔に封鎖されたことを確認した後、土台を立てて歯の形を整えました。最終的な被せ物には、金属を一切使用しないオールセラミッククラウンを選択。天然歯のような透明感を再現し、高い適合性によって再び虫歯になるリスクを抑えています。
今回の治療により、詰め物が取れた根本的な原因が解消され、見た目も美しく、長持ちする奥歯を再建することができました。
セラミック治療の注意事項(リスク・副作用など)
- 天然歯を削ります
- 硬い素材は天然歯を傷つけてしまう場合があります
- かみ合わせや歯ぎしりが強すぎる方はセラミックが割れてしまう可能性があります
- 自費診療(保険適用外治療)となります
根管治療の注意事項(リスク・副作用など)
- 根管治療により類似の全ての症例の問題が解決するわけではなく、症例はあくまでも一例です
- 根管治療により痛みや腫れがひかない事や、術後に痛みや腫れが生じる事、治療によるファイル破折やパーフォレーションなどの偶発症、術後の歯根破折を生じる可能性もあります
- 自費診療(保険適用外)となります
当サイトの内容、テキスト、画像等の無断転載、複製、複写、盗用を固く禁じます。












