症例詳細
Case detail
デコボコだらけの歯列をきれいに ワイヤー装置での抜歯矯正治療
治療症例の内容
- 診療科目
- 治療カテゴリ
- 担当医
- 藤巻太一朗(ドクタープロフィール)
- 患者様
- 20代女性
- 矯正装置
- 審美装置
- 治療期間
- 2年8ヶ月
- 治療回数
- 30回以上
- 治療計画
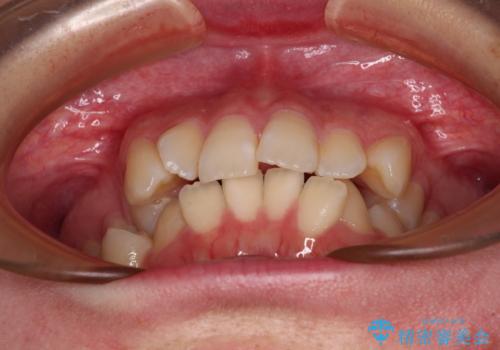
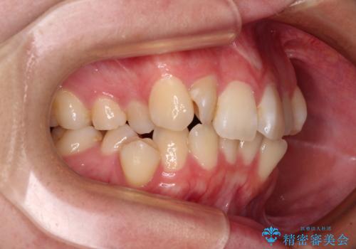
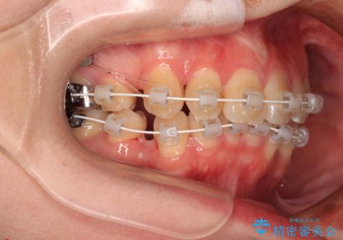
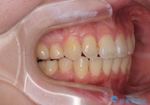
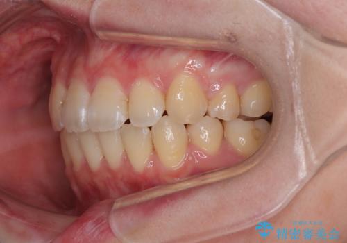
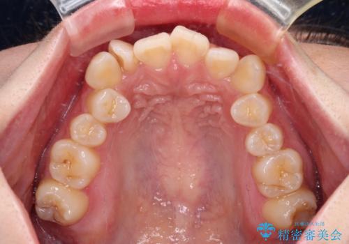
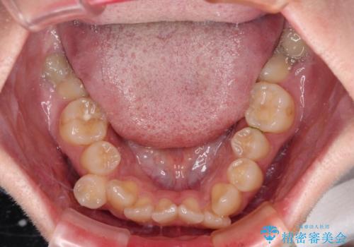
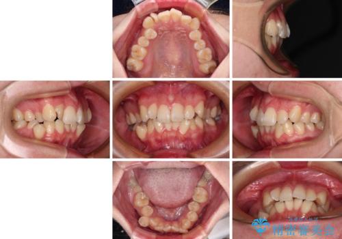
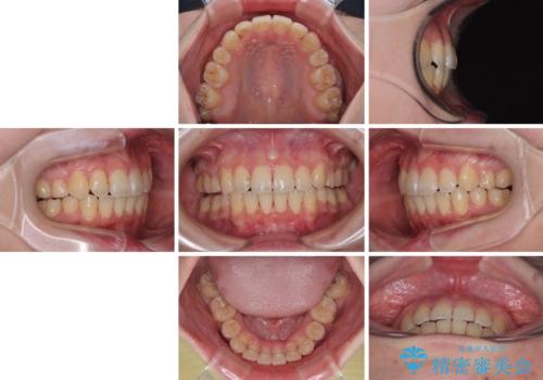
- 上下前歯のデコボコを気にして来院された患者様です。
口元の突出感はあまりなかったものの、デコボコを非抜歯で改善すると出っ歯になる可能性があるため、上下左右の第一小臼歯4本を抜歯し、ワイヤー装置にて矯正治療を行うこととしました。
- 費用(概算)
- 110万円(税込)費用は治療当時の料金となります
治療について
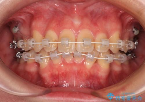
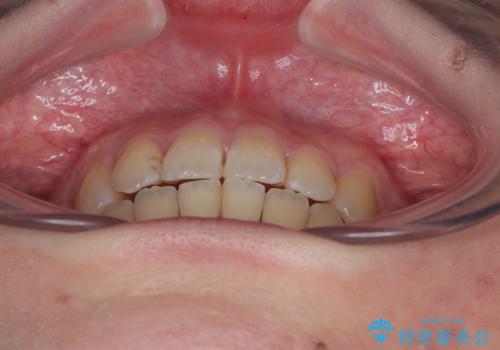
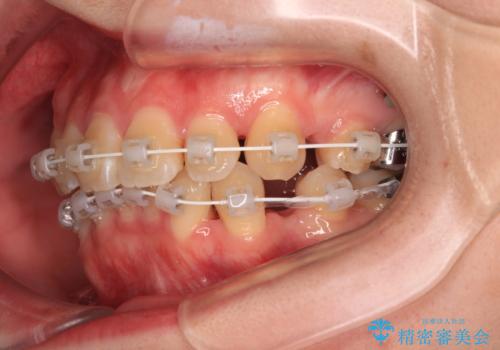
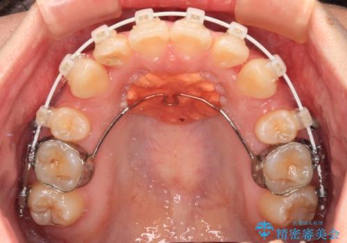
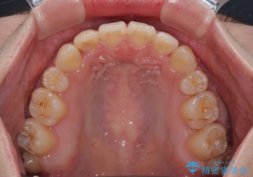
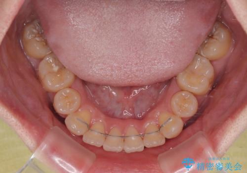
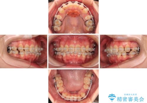
口元の突出感はなかったものの、捻転や八重歯を改善するために補助装置を併用する必要がありました。
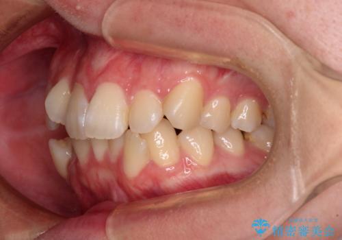
予定の2年半を越えてしまいましたが、無事にきれいな口元に仕上げることができました。
ワイヤー矯正の注意事項(リスク・副作用など)
- 治療中は違和感や痛みが起こることがあります
- 症状により、抜歯が必要な場合があります
- 治療中は歯磨きがしにくくなるため、虫歯や歯周病になりやすくなります
- 矯正治療後の保定が不十分だと後戻り(元の位置に戻ろうとする動き)をします
- 自費診療(保険適用外)となります
当サイトの内容、テキスト、画像等の無断転載、複製、複写、盗用を固く禁じます。


























