症例詳細
Case detail
前歯が隠れるほどのデコボコをインビザライン矯正できれいに整える
治療症例の内容
- 診療科目
- 担当医
- 藤巻太一朗(ドクタープロフィール)
- 患者様
- 20代女性
- 矯正装置
- インビザライン
- 治療期間
- 1年10ヶ月
- 治療回数
- 5-10回
- 治療計画
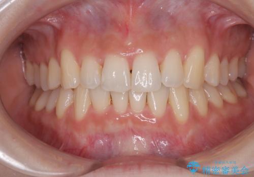
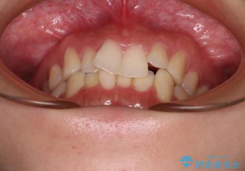
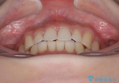
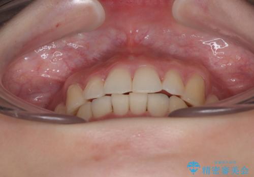
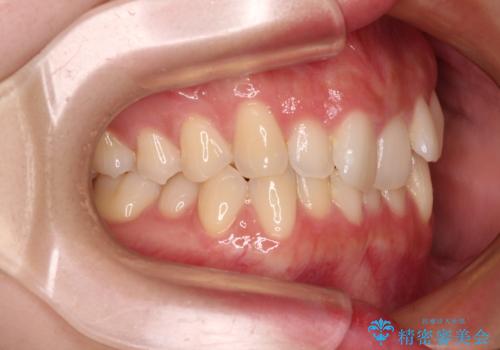
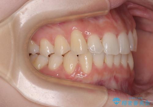
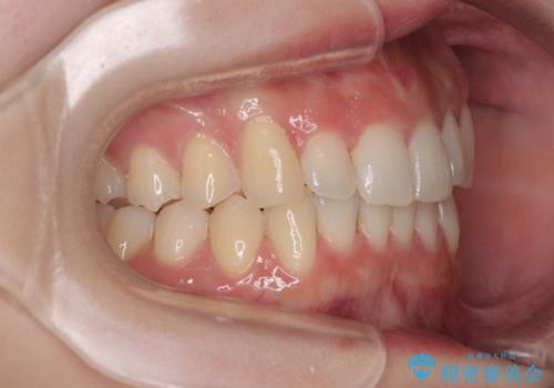
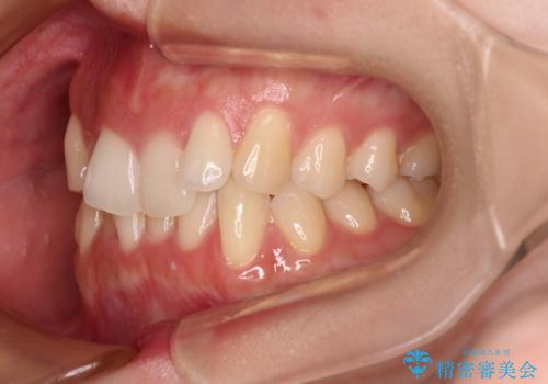
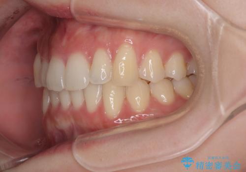
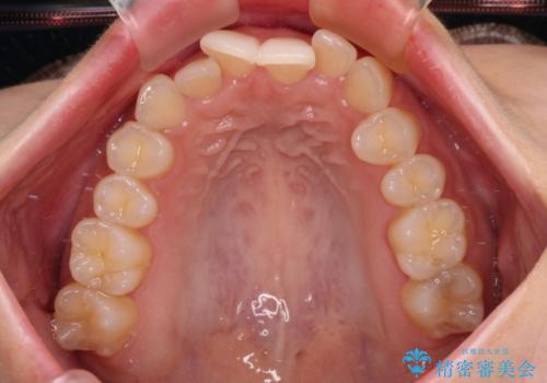
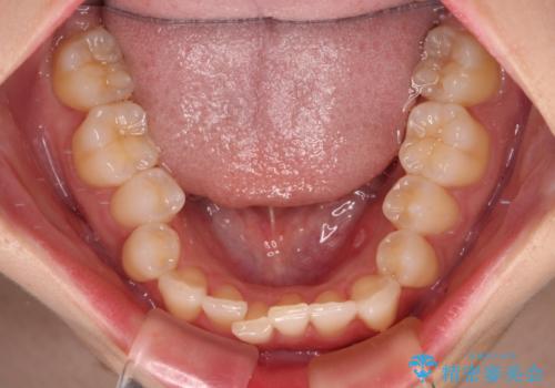
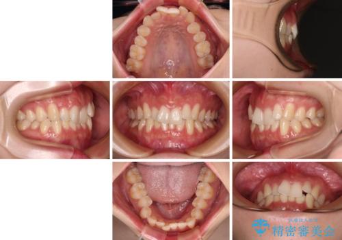
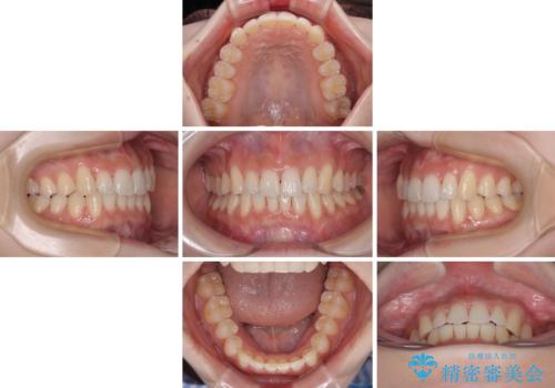
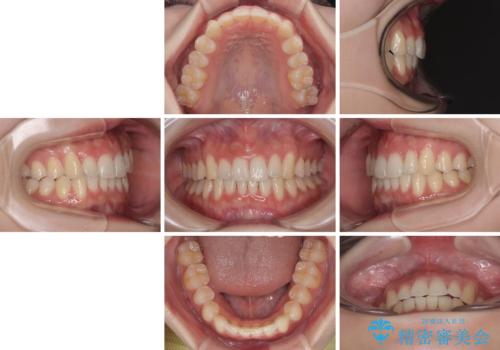
- 前歯のデコボコを気にして来院された患者様です。
全体的にデコボコが多く、特に下の前歯は隠れてしまうほどの状態でした。
左右ともに奥歯の咬み合わせが理想的な位置にあったこともあり、患者様のご希望通り、インビザラインにて矯正治療を行うこととしました。
- 費用(概算)
- 90万円(税込)費用は治療当時の料金となります
治療について
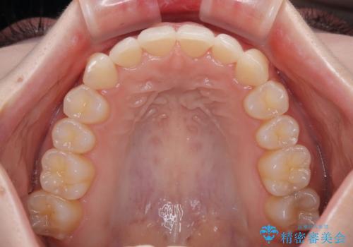
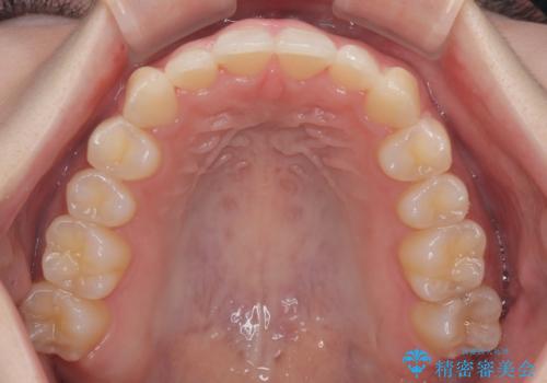
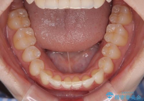
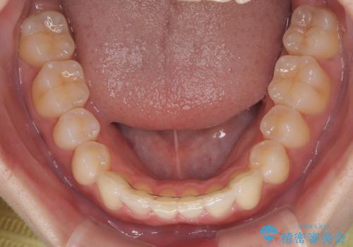
マウスピース矯正特有の、奥歯が噛みにくくなるという現象の解消に少し期間をいただきましたが、日々の装着時間を遵守していただき、綺麗な歯列に整えることができました。
マウスピース矯正の注意事項(リスク・副作用など)
- 口腔内・歯並びの状態によっては対応できない場合があります
- マウスピース型矯正装置の長時間装着(1日20時間以上)が必須です
- 治療計画通りに進めるためには、患者様の意志が重要になります
- 矯正治療後の保定が不十分だと後戻り(元の位置に戻ろうとする動き)をします
- 薬機法対象外の矯正歯科装置のため医薬品副作用被害救済制度の対象外となる場合があります
- 自費診療(保険適用外)となります
当サイトの内容、テキスト、画像等の無断転載、複製、複写、盗用を固く禁じます。



























