症例詳細
Case detail
デコボコと正中のずれを改善した矯正治療
治療症例の内容
- 診療科目
- 担当医
- 齋藤佑磨(ドクタープロフィール)
- 患者様
- 30代女性
- 矯正装置
- 審美装置
- 治療期間
- 1年3ヶ月
- 治療回数
- 10-30回
- 治療計画
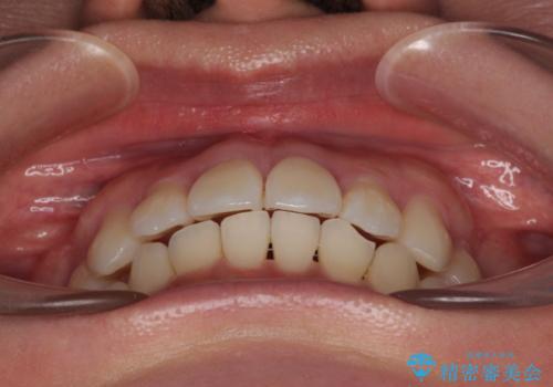
- 「歯並び全体のデコボコが気になる」「上下の歯の正中(中心)がずれているのが気になる」
このようなお悩みを主訴にご来院された患者様の矯正治療症例をご紹介します。
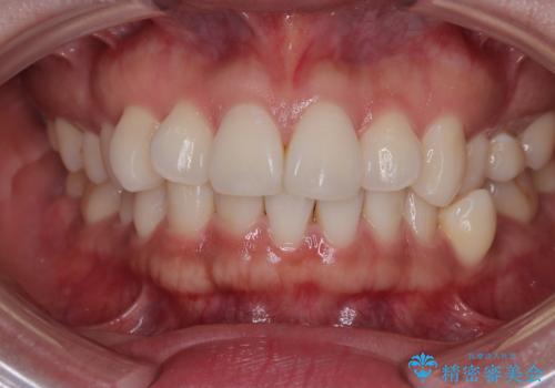
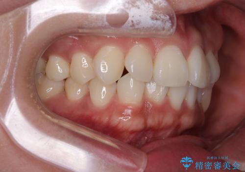
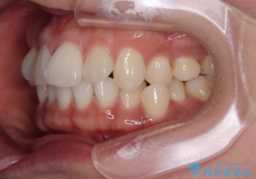
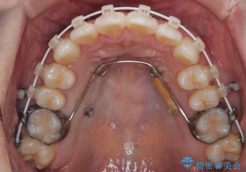
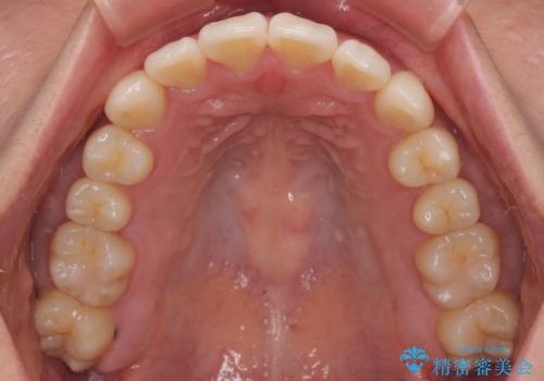
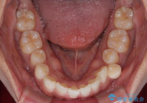
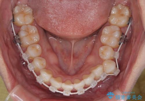
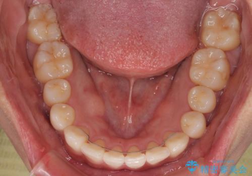
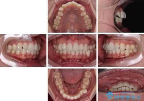
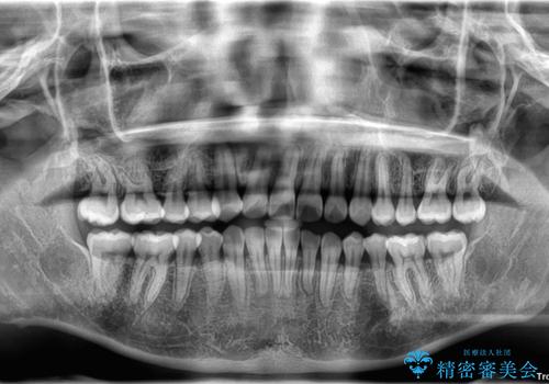
初診時、上下顎ともに歯列の不正が認められ、特に左下の小臼歯が大きく歯列から外れている状態でした。その影響により、下顎の正中が左側へシフトしており、見た目だけでなく噛み合わせにも影響が出ていました。
左下の小臼歯をきれいに歯列内へ並べるためには、まず十分なスペースの確保が必要でした。
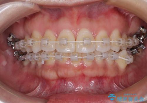
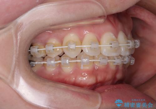
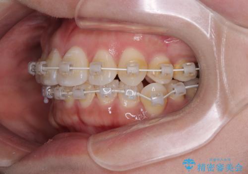
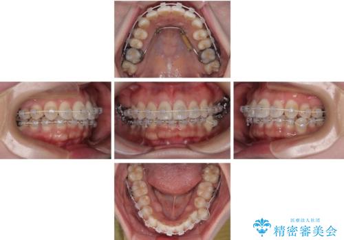
そこで本症例では、上顎右側にアンカースクリュー(矯正用インプラント)を埋入し、そこからゴムかけ(顎間ゴム)を行うことで、下顎の正中を右方向へコントロール。
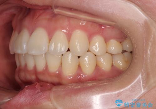
これにより、左下小臼歯がく並ぶためのスペースを確保することができました。
矯正中の見た目にも配慮し、プラスチックブラケット+コーティングワイヤーの目立ちにくい審美装置を採用しました。
- 費用(概算)
- 105万円(税込)費用は治療当時の料金となります
治療について
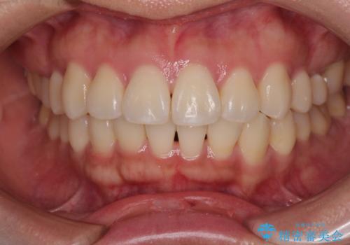
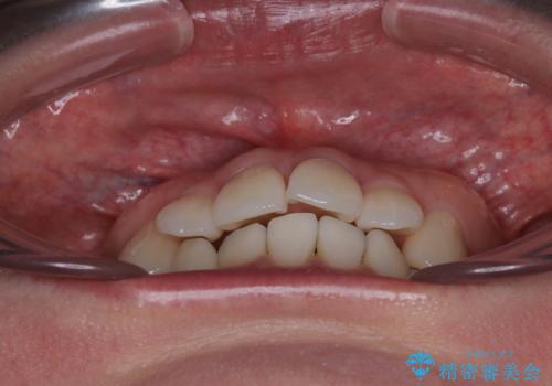
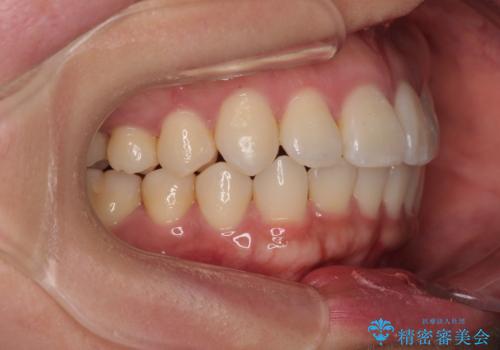
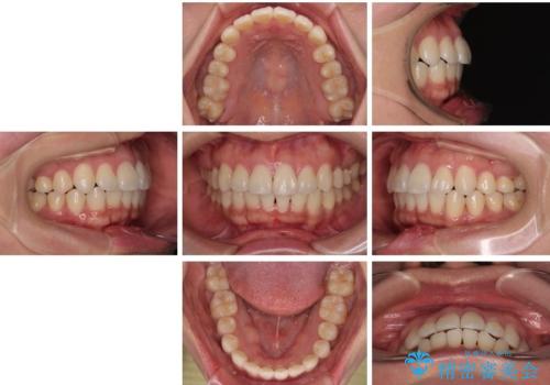
「歯並びと正中が整って、自信をもって笑えるようになった」
と大変ご満足のお言葉をいただきました。
ワイヤー矯正の注意事項(リスク・副作用など)
- 治療中は違和感や痛みが起こることがあります
- 症状により、抜歯が必要な場合があります
- 治療中は歯磨きがしにくくなるため、虫歯や歯周病になりやすくなります
- 矯正治療後の保定が不十分だと後戻り(元の位置に戻ろうとする動き)をします
- 自費診療(保険適用外)となります
当サイトの内容、テキスト、画像等の無断転載、複製、複写、盗用を固く禁じます。


























