症例詳細
Case detail
外科処置は1回のみ|抜歯即時インプラントで小臼歯を短期間で機能・審美回復した症例
治療症例の内容
- 患者様
- 40代男性
- 治療期間
- 3ヶ月
- 治療回数
- 5-10回
- 治療計画
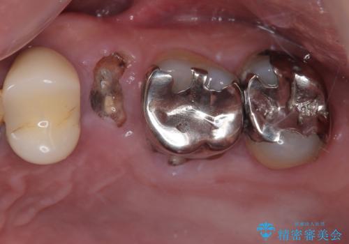
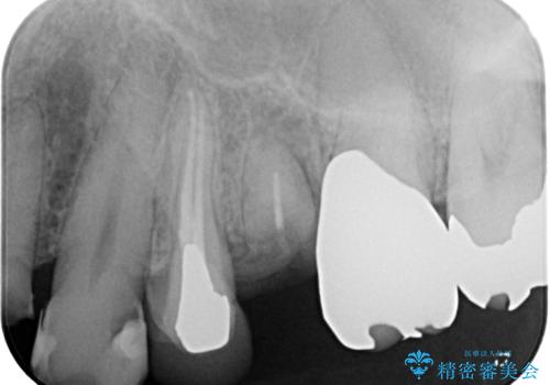
- 左上の小臼歯の被せものが外れてしまったことを主訴に来院された患者様の症例です。
診査・診断を行ったところ、
歯質の残存量(フェルール)が確保できない状態
歯根が短く、矯正治療で挺出を行っても将来的な予後が不良
と判断されました。
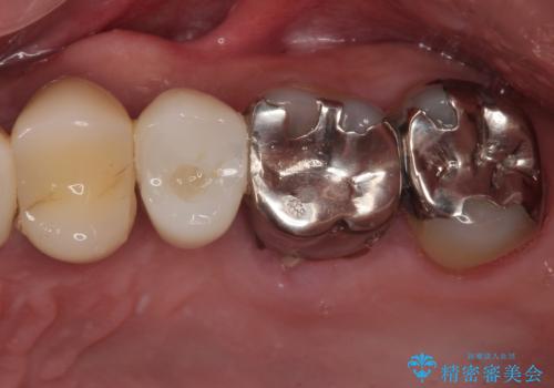
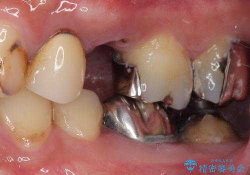
このようなケースでは、無理に被せ物をやり直しても再び脱離を繰り返したり、破折してしまう可能性が高く、長期的な安定は期待できません。そのため、今回は抜歯が最も妥当な治療選択と診断しました。
患者様の身体的・時間的負担を最小限に抑えるため、抜歯即時インプラントを選択しました。
この方法では、抜歯と同時にインプラントを埋入するため、
外科処置は1回のみ
治療期間の短縮
早期の機能・審美回復が可能
といったメリットがあります。
抜歯と同日にインプラントを埋入し、さらに仮歯まで装着するため、治療当日から見た目と噛む機能の回復が可能です。治療期間中も審美性と日常生活の快適さを維持できます。
抜歯即時インプラント後、治癒期間を経て、約3か月でセラミックによる最終補綴が完了しました。
- 費用(概算)
- 49万円(税込)費用は治療当時の料金となります
治療について
「何度も被せ物が外れる」「抜歯が必要と言われて不安」
このようなお悩みをお持ちの方は、抜歯即時インプラントという選択肢が適している場合があります。
インプラント治療の注意事項(リスク・副作用など)
- 外科手術のため、術後に痛みや腫れ、違和感を伴います
- メンテナンスを怠ったり喫煙により、お口の中に大きな悪影響を及ぼすインプラント周囲炎等にかかる可能性があります
- 糖尿病、肝硬変、心臓病等の場合、インプラント治療ができない可能性があります
- 高血圧、貧血・不整脈等の場合、インプラント治療後に治癒不全を招く可能性があります
- 自費診療(保険適用外治療)となります
当サイトの内容、テキスト、画像等の無断転載、複製、複写、盗用を固く禁じます。












