症例詳細
Case detail
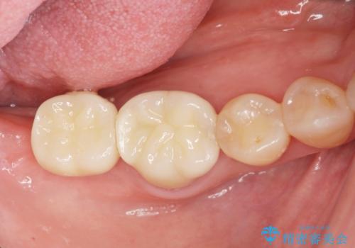
咬合機能を回復する奥歯のインプラント治療
治療症例の内容
- 担当医
- 大元洋佑(ドクタープロフィール)
- 患者様
- 50代女性
- 治療期間
- 6ヶ月
- 治療回数
- 5-10回
- 治療計画
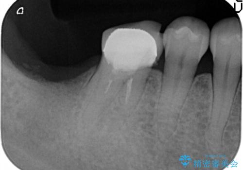
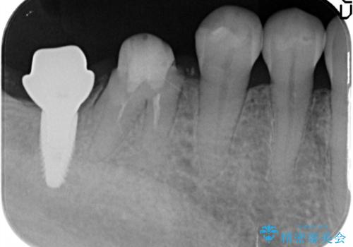
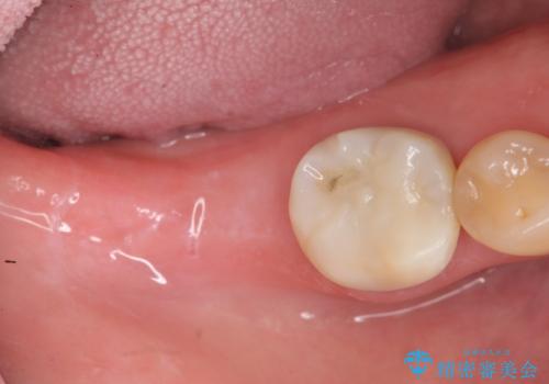
- 失った右下最後方臼歯の咬合機能の回復を求めてインプラント治療を希望され来院されました。
インプラントを埋入するのに十分な骨の量がCT検査により確認されたので、インプラントによる治療を計画します。
- 費用(概算)
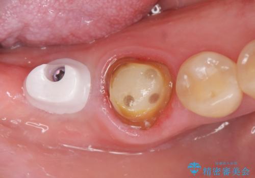
- 44万円(インプラント・ジルコニアカスタムアバットメント・ジルコニアクラウン・仮歯)費用は治療当時の料金となります
治療について
第二大臼歯は失ってしまうと咀嚼効率が10-30%程度低下してしまうと言われている、食事で物を噛み切るのに非常に重要な歯です。
失ってしまった奥歯をインプラントを用いて咬合機能回復することで、残っている他の歯を守ることにもなります。
インプラント治療の注意事項(リスク・副作用など)
- 外科手術のため、術後に痛みや腫れ、違和感を伴います
- メンテナンスを怠ったり喫煙により、お口の中に大きな悪影響を及ぼすインプラント周囲炎等にかかる可能性があります
- 糖尿病、肝硬変、心臓病等の場合、インプラント治療ができない可能性があります
- 高血圧、貧血・不整脈等の場合、インプラント治療後に治癒不全を招く可能性があります
- 自費診療(保険適用外治療)となります
セラミック治療の注意事項(リスク・副作用など)
- 天然歯を削ります
- 硬い素材は天然歯を傷つけてしまう場合があります
- かみ合わせや歯ぎしりが強すぎる方はセラミックが割れてしまう可能性があります
- 自費診療(保険適用外治療)となります
当サイトの内容、テキスト、画像等の無断転載、複製、複写、盗用を固く禁じます。








