症例詳細
Case detail
前歯の歯間に発生した虫歯のセラミック治療
治療症例の内容
- 診療科目
- 治療カテゴリ
- 担当医
- 大元洋佑(ドクタープロフィール)
- 患者様
- 30代男性
- 治療期間
- 1ヶ月
- 治療回数
- 2-5回
- 治療計画
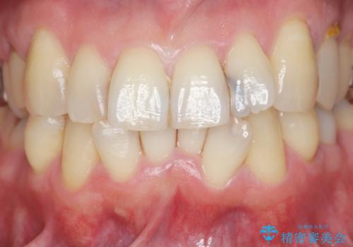
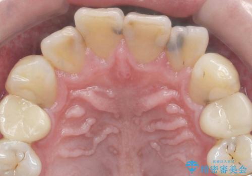
- 前歯の黒い影が大きくなってきている、と虫歯の治療を希望され来院されました。
視診、X線写真より前歯に発生した大きな虫歯が認められました。
虫歯の丁寧な除去後、今後の虫歯の2次的な発生を防ぐべく、相談の上コンポジットレジン修復ではなくジルコニアクラウンによる治療を行っていくこととしました。
- 費用(概算)
- 52.8万円(ジルコニアクラウン×4・仮歯×4 )費用は治療当時の料金となります
治療について
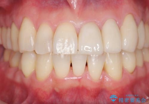
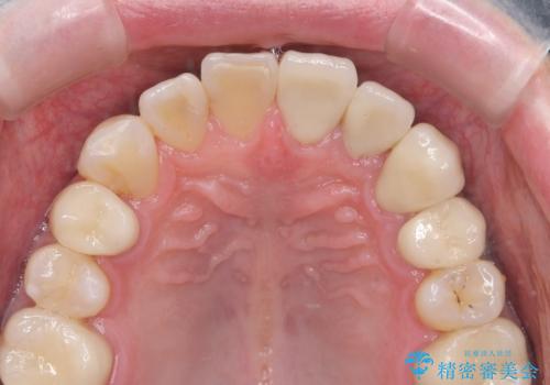
セラミック治療を行うことで、虫歯の再発リスクをおさえ、審美的な前歯の見た目を回復することができました。
セラミック治療の注意事項(リスク・副作用など)
- 天然歯を削ります
- 硬い素材は天然歯を傷つけてしまう場合があります
- かみ合わせや歯ぎしりが強すぎる方はセラミックが割れてしまう可能性があります
- 自費診療(保険適用外治療)となります
当サイトの内容、テキスト、画像等の無断転載、複製、複写、盗用を固く禁じます。








