症例詳細
Case detail
口が閉じにくい原因を根本から改善|上下顎4本抜歯による矯正治療症例
治療症例の内容
- 担当医
- 齋藤佑磨(ドクタープロフィール)
- 患者様
- 20代男性
- 矯正装置
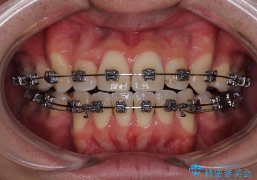
- メタルブラケット
- 治療期間
- 2年
- 治療回数
- 10-30回
- 治療計画
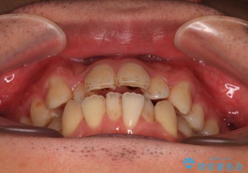
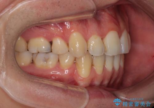
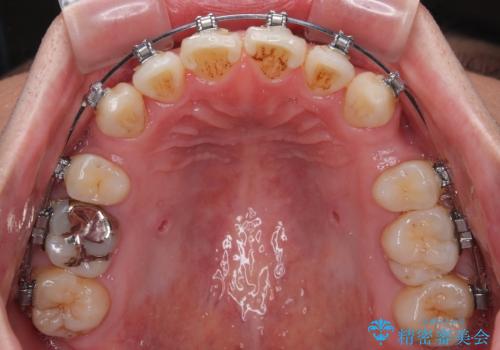
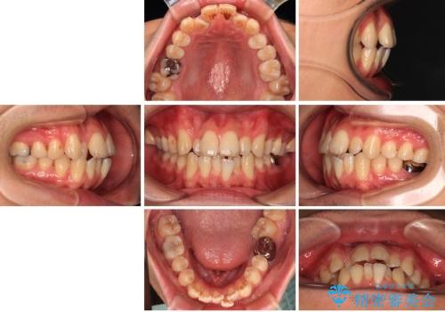
- 口元の突出感が強く、口が閉じにくいことを主訴として来院された患者さんの症例をご紹介します。
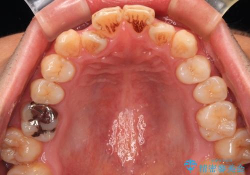
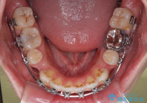
前歯部の叢生(デコボコ)も認められ、歯がきれいに並ぶためのスペースが不足している状態でした。
これらの問題を総合的に改善するため、上下左右の第一小臼歯を計4本抜歯し、スペースを確保する治療計画を立てました。
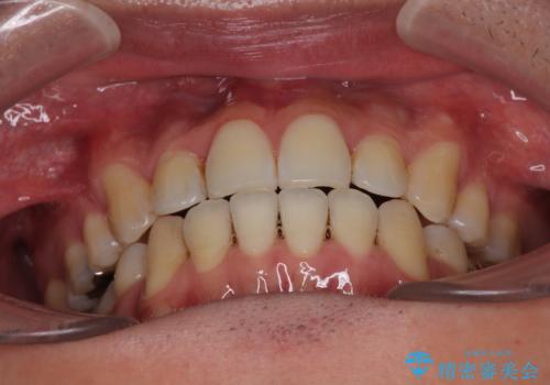
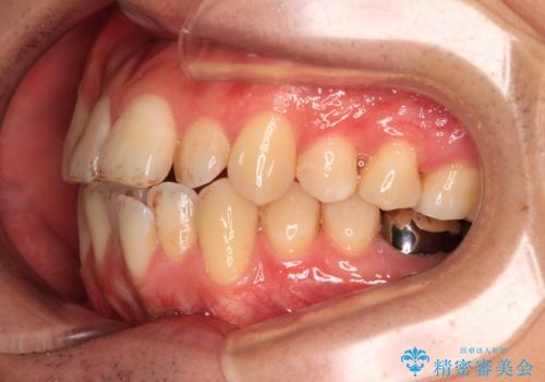
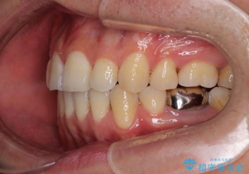
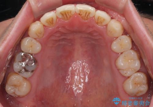
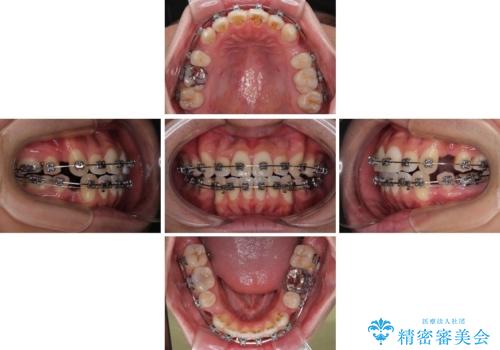
抜歯したスペースを活用して前歯を後ろへ下げることで、口元の突出感を大きく改善。
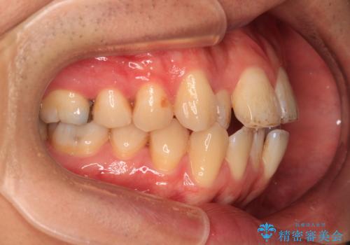
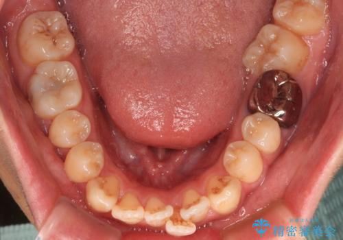
奥歯の噛み合わせがずれている「シザーズバイト」を適正に整えることで、見た目だけでなく機能性も向上し、安定した咬合が獲得できました。
- 費用(概算)
- 99万円(税込)費用は治療当時の料金となります
治療について
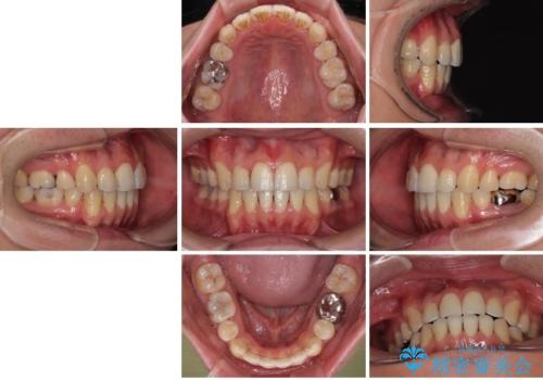
口元の突出が改善され、横顔の印象が大きく変化し、口が自然に閉じやすくなりました
前歯のデコボコが整い、清掃性が向上
噛み合わせが改善し、長期的に安定する噛み合わせに
「見た目」と「機能性」の両方を改善できた、非常に満足度の高い治療となりました。
ワイヤー矯正の注意事項(リスク・副作用など)
- 治療中は違和感や痛みが起こることがあります
- 症状により、抜歯が必要な場合があります
- 治療中は歯磨きがしにくくなるため、虫歯や歯周病になりやすくなります
- 矯正治療後の保定が不十分だと後戻り(元の位置に戻ろうとする動き)をします
- 自費診療(保険適用外)となります
当サイトの内容、テキスト、画像等の無断転載、複製、複写、盗用を固く禁じます。


























