症例詳細
Case detail
歯ブラシのしやすいクラウンへのやりかえ
治療症例の内容
- 診療科目
- 治療カテゴリ
- 担当医
- 大元洋佑(ドクタープロフィール)
- 患者様
- 40代女性
- 治療期間
- 6ヶ月
- 治療回数
- 10-30回
- 治療計画
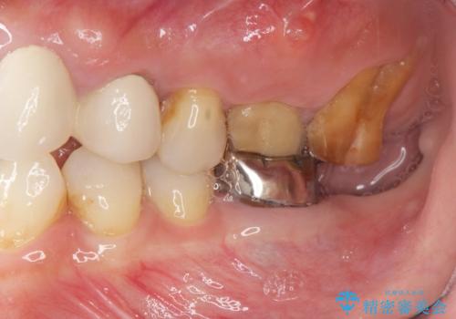
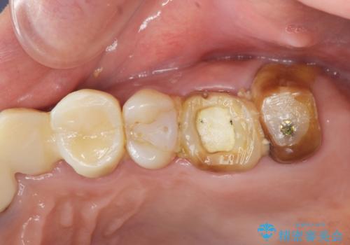
- 治療途中で前歯科医院に行かなくなってしまい、治療の続きを希望されて来院されました。
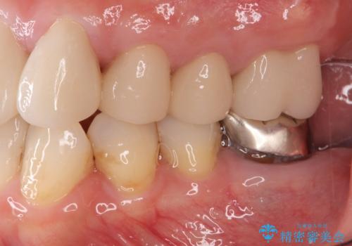
クラウンが装着されておらず、つぎはぎだらけの処置歯を、精度の高いセラミッククラウンを用いて歯ブラシのしやすい環境整備を行っていきます。
- 費用(概算)
- 39.6万円(ジルコニアクラウン×3・仮歯×3)費用は治療当時の料金となります
治療について
セラミッククラウンの治療は、天然の歯のような審美性を回復できることも大切ですが、精度が高くきっちりと歯ブラシを行いやすい状態を整えることで虫歯や歯周病の再発リスクを下げることも非常に大切です。
セラミック治療の注意事項(リスク・副作用など)
- 天然歯を削ります
- 硬い素材は天然歯を傷つけてしまう場合があります
- かみ合わせや歯ぎしりが強すぎる方はセラミックが割れてしまう可能性があります
- 自費診療(保険適用外治療)となります
当サイトの内容、テキスト、画像等の無断転載、複製、複写、盗用を固く禁じます。






