症例詳細
Case detail
受け口と八重歯を改善 インビザライン矯正治療
治療症例の内容
- 診療科目
- 担当医
- 藤巻太一朗(ドクタープロフィール)
- 患者様
- 40代女性
- 矯正装置
- インビザライン
- 治療期間
- 2年5ヶ月
- 治療回数
- 10-30回
- 治療計画
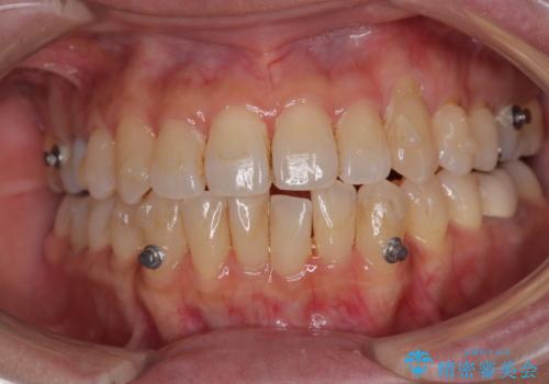
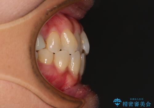
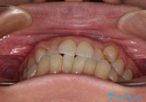
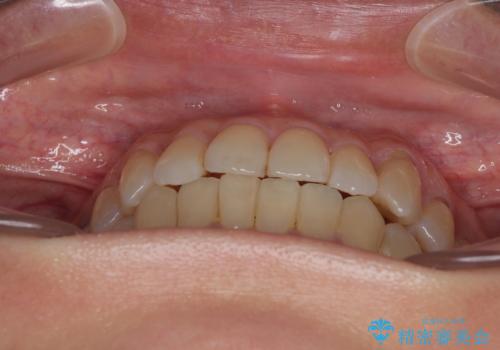
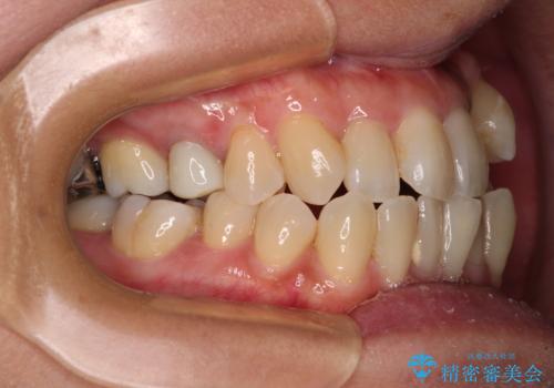
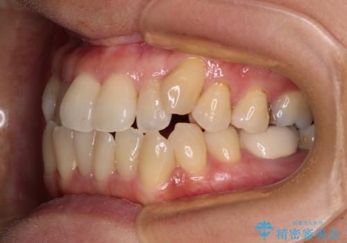
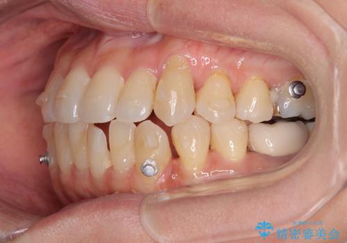
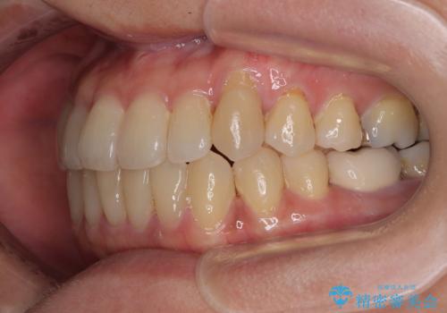
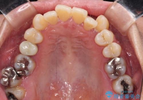
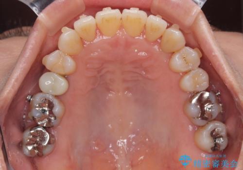
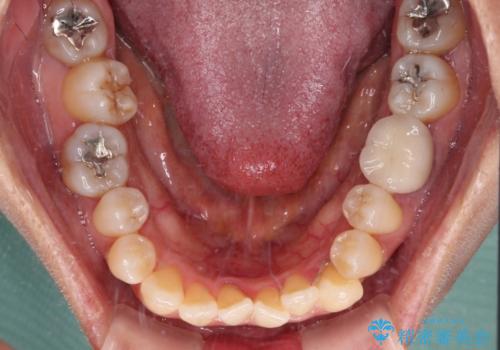
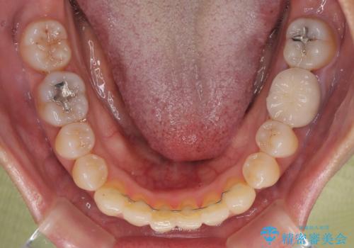
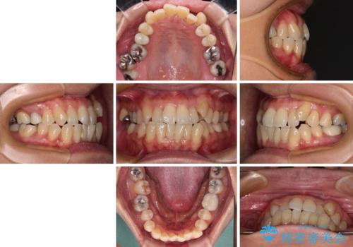
- 前歯のデコボコや八重歯を治したいとのことで来院された患者様です。
受け口傾向の骨格であり、前歯はクロスバイトまたは切端咬合となっており、下顎を中心に歯列全体の後方移動を行い、IPR(歯と歯の間を削る)によってデコボコが解消するように設計し、インビザラインにより治療を行うこととしました。
- 費用(概算)
- 90万円(税込)費用は治療当時の料金となります
治療について
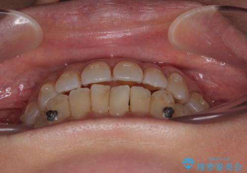
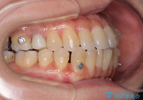
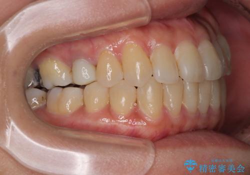
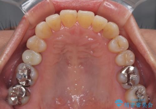
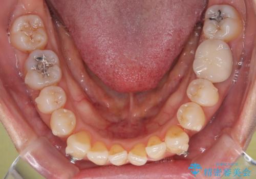
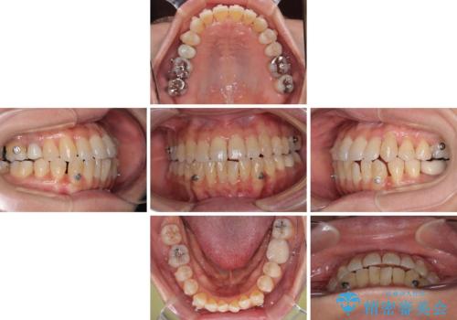
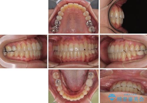
受け口傾向のインビザライン矯正は比較的治療を行いやすいため、きれいに仕上げることができました。舌の突出癖が顕著であったため、改善のためのトレーニングをしっかりと行っていただきました。
マウスピース矯正の注意事項(リスク・副作用など)
- 口腔内・歯並びの状態によっては対応できない場合があります
- マウスピース型矯正装置の長時間装着(1日20時間以上)が必須です
- 治療計画通りに進めるためには、患者様の意志が重要になります
- 矯正治療後の保定が不十分だと後戻り(元の位置に戻ろうとする動き)をします
- 薬機法対象外の矯正歯科装置のため医薬品副作用被害救済制度の対象外となる場合があります
- 自費診療(保険適用外)となります
当サイトの内容、テキスト、画像等の無断転載、複製、複写、盗用を固く禁じます。



























