症例詳細
Case detail
【ワイヤー矯正】口元を下げたい、下の歯の凹凸を無くしたい
治療症例の内容
- 診療科目
- 治療カテゴリ
- 担当医
- 町田睦月(ドクタープロフィール)
- 患者様
- 20
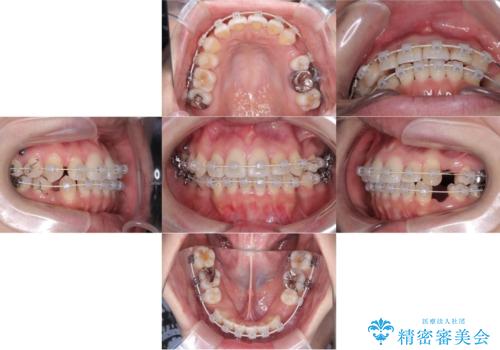
- 矯正装置
- ワイヤー
- 治療期間
- 3年
- 治療回数
- 30回以上
- 治療計画
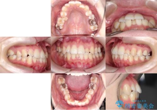
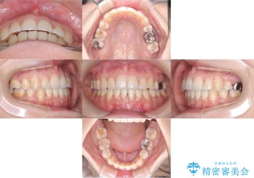
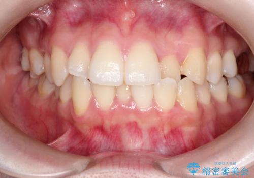
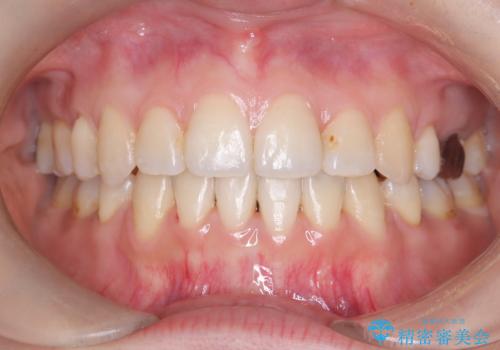
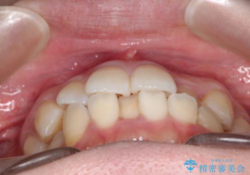
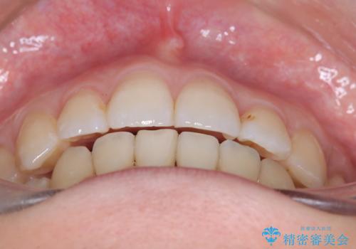
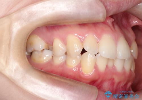
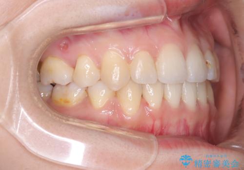
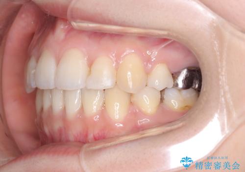
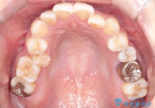
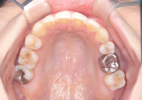
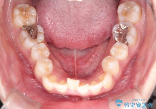
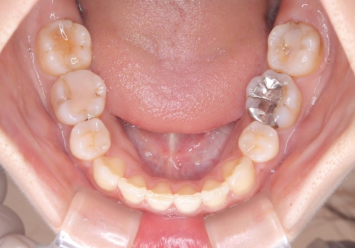
- 主訴:口元を下げて前突感を無くしたい、下の歯の凹凸も無くしたい
右側第二小臼歯、左側第一小臼歯、下顎両側第一小臼歯を抜歯しワイヤ-矯正を行いました。
- 費用(概算)
- 1,100,000円(税込み)費用は治療当時の料金となります
治療について
骨格的顎の変位を認めたため、顔貌に対しピッタリ上下の歯の正中を合わせることは難しいと説明し、上下左右計4本小臼歯を抜歯しワイヤー矯正治療を行いました。
期間:3年
ワイヤー矯正の注意事項(リスク・副作用など)
- 治療中は違和感や痛みが起こることがあります
- 症状により、抜歯が必要な場合があります
- 治療中は歯磨きがしにくくなるため、虫歯や歯周病になりやすくなります
- 矯正治療後の保定が不十分だと後戻り(元の位置に戻ろうとする動き)をします
- 自費診療(保険適用外)となります
当サイトの内容、テキスト、画像等の無断転載、複製、複写、盗用を固く禁じます。




















