症例詳細
Case detail
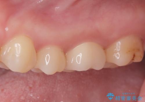
2回で完了した奥歯のセラミック修復
治療症例の内容
- 診療科目
- 治療カテゴリ
- 担当医
- 河口智英(ドクタープロフィール)
- 患者様
- 20代女性
- 治療期間
- 1ヶ月
- 治療回数
- 2-5回
- 治療計画
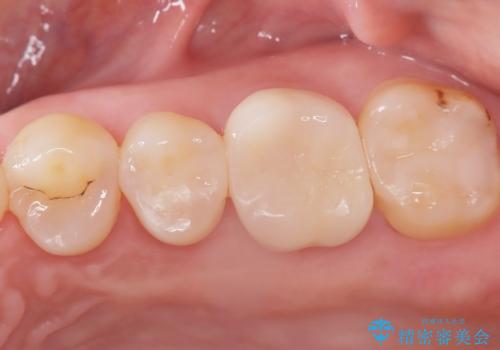
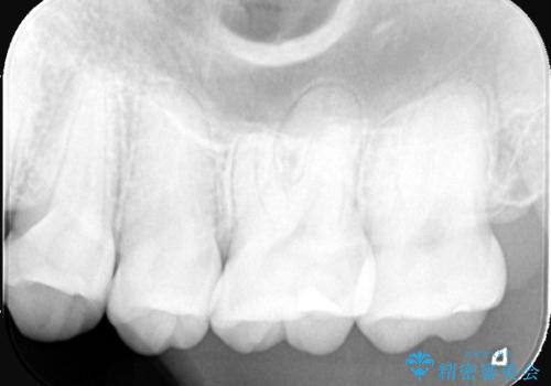
- 奥歯の虫歯治療を主訴にご来院されました。患者様から「できるだけ通院回数を少なく、早く治療を終わらせたい」というご要望があったため、短期間での完了を目指し、セラミックインレー(詰め物)とセラミッククラウン(被せ物)を併用する治療計画を立案しました。治療は精密機器を活用し、2回の来院で最終的なセラミック修復物を装着することを目指します。
- 費用(概算)
- 30万円費用は治療当時の料金となります
治療について
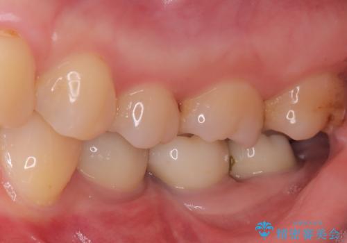
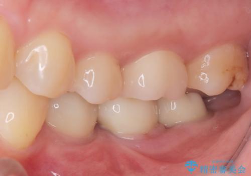
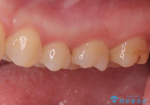
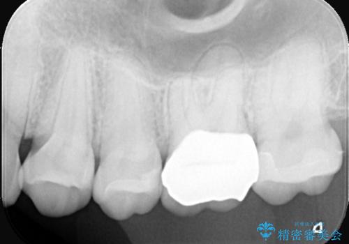
今回の治療では、虫歯の大きさや深さに応じて、異なるセラミック修復法を適用しました。
比較的軽度な虫歯には、セラミックインレー(詰め物)で対応し、健全な歯質を最大限に残しました。
進行した虫歯や歯の強度が低下している歯には、セラミッククラウン(被せ物)を選択し、歯全体を保護することで破折を防ぎました。
短期間での治療を可能にしつつ、天然歯と見分けがつかない審美性と、長期的に安定する機能性を兼ね備えたセラミック修復を実現しました。
セラミック治療の注意事項(リスク・副作用など)
- 天然歯を削ります
- 硬い素材は天然歯を傷つけてしまう場合があります
- かみ合わせや歯ぎしりが強すぎる方はセラミックが割れてしまう可能性があります
- 自費診療(保険適用外治療)となります
当サイトの内容、テキスト、画像等の無断転載、複製、複写、盗用を固く禁じます。









