症例詳細
Case detail
口元の突出感を解消し、横顔を美しく整えるワイヤー矯正
治療症例の内容
- 診療科目
- 治療カテゴリ
- 担当医
- 河口智英(ドクタープロフィール)
- 患者様
- 20代女性
- 矯正装置
- 審美ワイヤー
- 治療期間
- 3年
- 治療回数
- 30回以上
- 治療計画
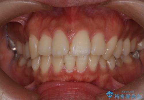
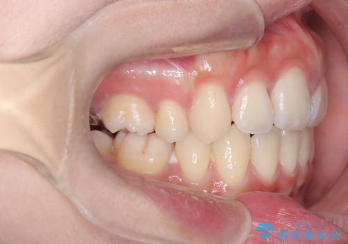
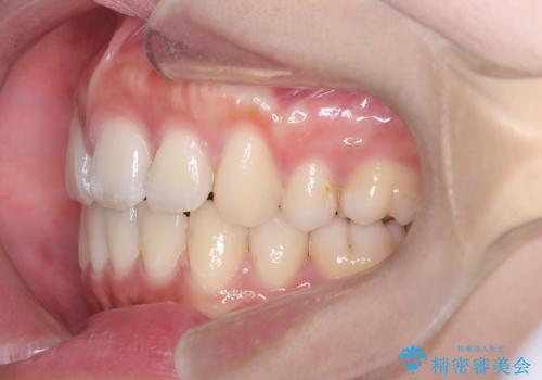
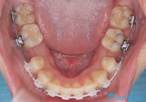
- 口元が出ていること(突出感)を気にされ、これを下げたいという主訴でご来院されました。精密な検査の結果、前歯を大きく後退させ、口元を改善するためには、スペースの確保が不可欠と診断しました。そこで、上下左右の第一小臼歯(4番目の歯)を計4本抜歯し、そのスペースを利用して前歯全体を奥へ移動させる抜歯矯正の治療計画を立案。確実な歯の移動を実現するため、ワイヤー矯正装置を使用しました。
- 費用(概算)
- 100万円費用は治療当時の料金となります
治療について
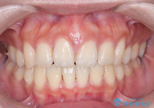
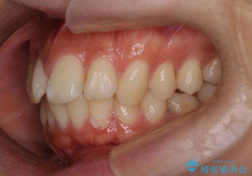
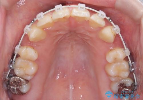
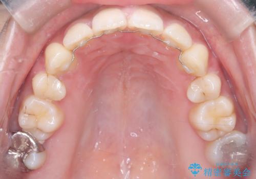
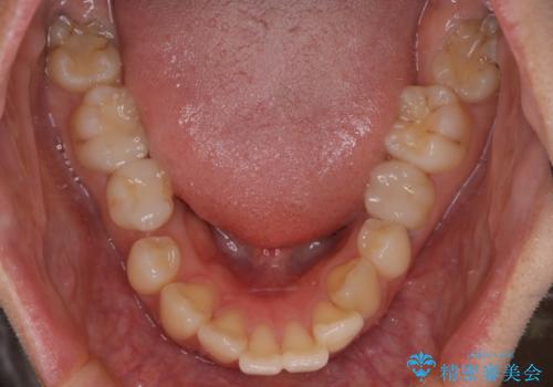
今回の矯正治療では、口元の突出感を解消するためのスペースを確保するため、計画通り上下左右4本の小臼歯を抜歯しました。装置には、確実な歯の移動と細やかな調整が可能なワイヤー矯正を採用。抜歯によってできたスペースを最大限に利用し、前歯を奥へ、そして垂直的に慎重に移動させました。
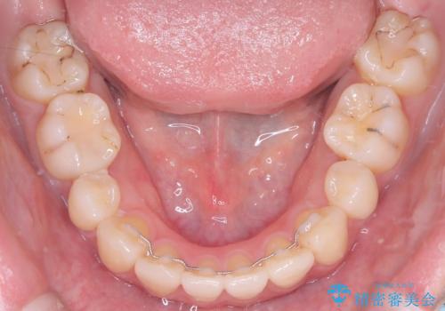
治療の結果、長年のコンプレックスであった口元の突出感が大幅に解消され、横顔のライン(Eライン)が美しく改善しました。機能的な咬み合わせを確立すると同時に、患者様が望んでいた審美的な口元を獲得していただけました。
ワイヤー矯正の注意事項(リスク・副作用など)
- 治療中は違和感や痛みが起こることがあります
- 症状により、抜歯が必要な場合があります
- 治療中は歯磨きがしにくくなるため、虫歯や歯周病になりやすくなります
- 矯正治療後の保定が不十分だと後戻り(元の位置に戻ろうとする動き)をします
- 自費診療(保険適用外)となります
当サイトの内容、テキスト、画像等の無断転載、複製、複写、盗用を固く禁じます。















