症例詳細
Case detail
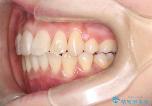
八重歯と正中のズレを解消!目立ちにくいワイヤー矯正で美しい歯並びへ
治療症例の内容
- 診療科目
- 治療カテゴリ
- 担当医
- 河口智英(ドクタープロフィール)
- 患者様
- 20代女性
- 治療期間
- 2年
- 治療回数
- 10-30回
- 治療計画
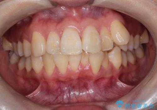
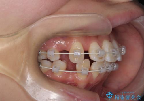
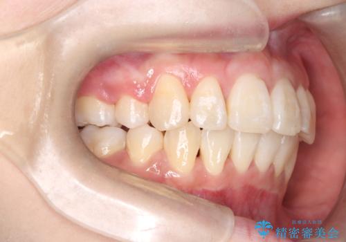
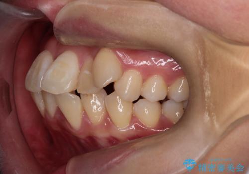
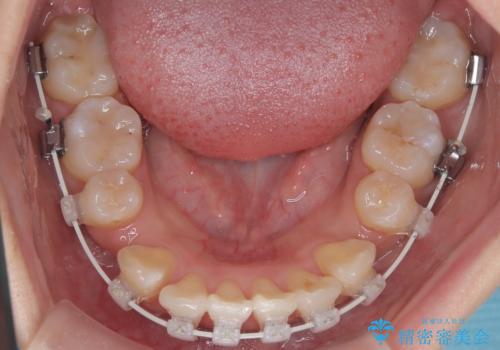
- 八重歯(叢生)と、上下の歯の中心線(正中)がずれていることを主訴にご来院されました。精密な検査の結果、歯列全体のスペースが大幅に不足しており、八重歯を正しい位置に配列し、正中のズレを改善するためには、上下左右の第一小臼歯を抜歯する必要があると診断。装置には、目立ちにくい審美ワイヤーを使用し、見た目を気にせず、機能性と審美性が完璧に整った咬み合わせを目指す治療計画を立案しました。
- 費用(概算)
- 100万円費用は治療当時の料金となります
治療について
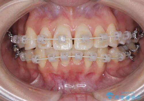
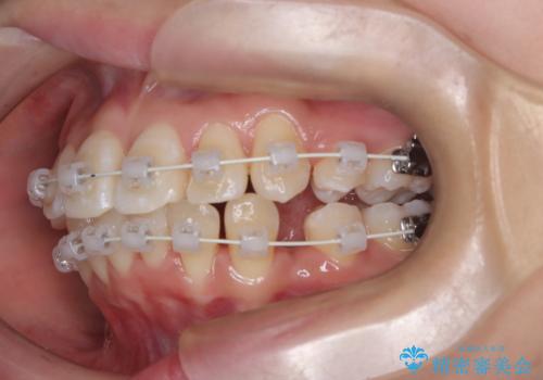
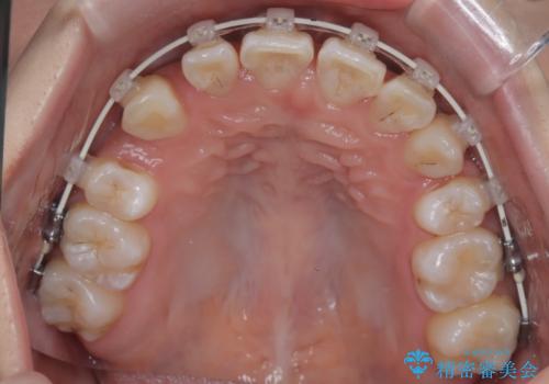
今回の矯正治療では、まず計画通り上下左右の小臼歯4本を抜歯し、八重歯や正中のズレを解消するための十分なスペースを確保しました。装置には、目立ちにくい白いブラケットとワイヤーを使用した審美ワイヤー矯正を採用。
抜歯によってできたスペースを利用し、
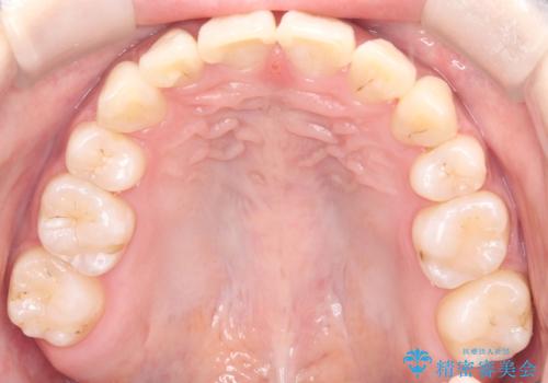
八重歯: 突出していた八重歯を歯列内に誘導し、デコボコを解消しました。
正中のズレ: 歯を左右対称に移動させることで、上下の歯の中心線を正確に合わせ、顔全体のバランスも改善しました。
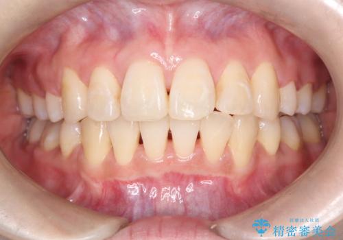
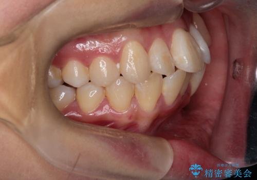
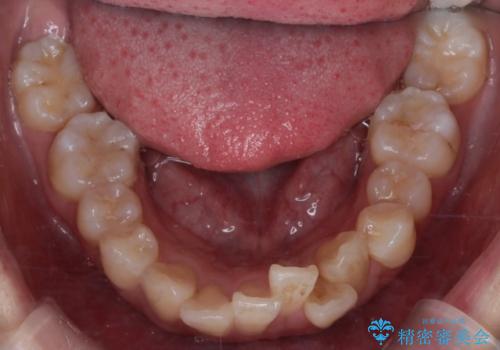
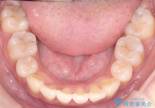
治療の結果、長年気にされていた八重歯と正中のズレが解消し、機能的にも整った理想的な歯並びを獲得。目立たない装置で治療を完遂し、自信を持って笑える美しい笑顔を手に入れていただけました。
ワイヤー矯正の注意事項(リスク・副作用など)
- 治療中は違和感や痛みが起こることがあります
- 症状により、抜歯が必要な場合があります
- 治療中は歯磨きがしにくくなるため、虫歯や歯周病になりやすくなります
- 矯正治療後の保定が不十分だと後戻り(元の位置に戻ろうとする動き)をします
- 自費診療(保険適用外)となります
当サイトの内容、テキスト、画像等の無断転載、複製、複写、盗用を固く禁じます。















