症例詳細
Case detail
奥歯の銀歯を美しく一新!歯の破折を防ぐセラミッククラウン
治療症例の内容
- 診療科目
- 治療カテゴリ
- 担当医
- 河口智英(ドクタープロフィール)
- 患者様
- 50代男性
- 治療期間
- 1ヶ月
- 治療回数
- 2-5回
- 治療計画
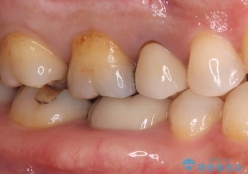
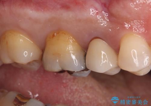
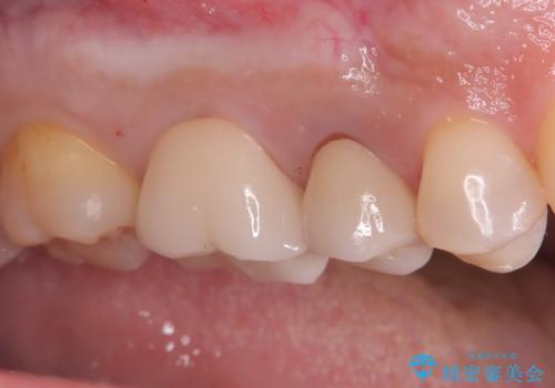
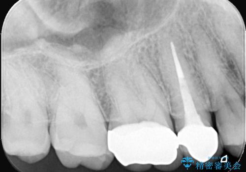
- 長年使用してきた奥歯の古い銀歯のやりかえを主訴にご来院されました。診査の結果、銀歯の下の歯質が薄くなっている部分があり、今後強い力が加わると歯が割れてしまう(破折)リスクが高いと判明しました。このリスクを回避し、歯を長期的に守るため、歯全体をしっかり覆う**セラミッククラウン(被せ物)**による修復を提案。機能的な強度と自然な見た目の両立を目指しました。
- 費用(概算)
- 15万円費用は治療当時の料金となります
治療について
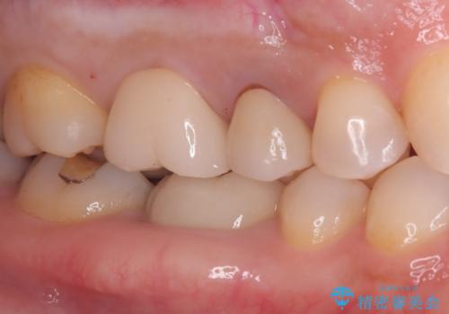
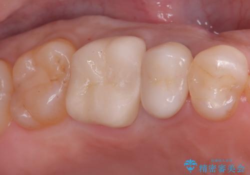
治療では、まず古い銀歯を慎重に取り外し、内部の虫歯の有無を確認しました。その後、残っている歯質を保護し、強度を高めるために、適合性に優れたオールセラミッククラウンを作製・装着しました。
セラミッククラウンは、
強度: 歯全体を覆うため、咬合力による歯への負担を分散させ、破折リスクを大幅に軽減します。
審美性: 天然歯に近い透明感と色調を持つため、銀歯の時と比べて格段に自然で美しい見た目になります。
セラミック治療の注意事項(リスク・副作用など)
- 天然歯を削ります
- 硬い素材は天然歯を傷つけてしまう場合があります
- かみ合わせや歯ぎしりが強すぎる方はセラミックが割れてしまう可能性があります
- 自費診療(保険適用外治療)となります
当サイトの内容、テキスト、画像等の無断転載、複製、複写、盗用を固く禁じます。








