症例詳細
Case detail
前歯の軽度なガタつきを、1年で美しく整える審美ワイヤー矯正
治療症例の内容
- 診療科目
- 治療カテゴリ
- 担当医
- 河口智英(ドクタープロフィール)
- 患者様
- 20代女性
- 矯正装置
- 審美装置
- 治療期間
- 1年
- 治療回数
- 5-10回
- 治療計画
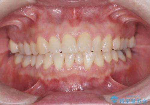
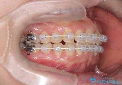
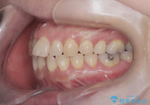
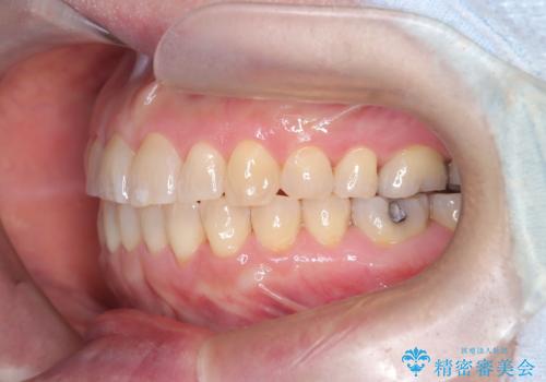
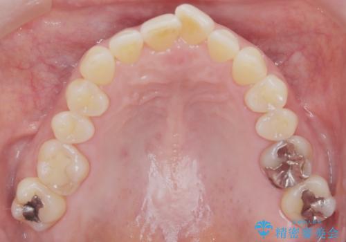
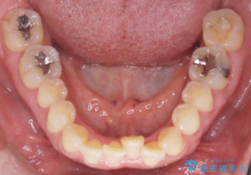
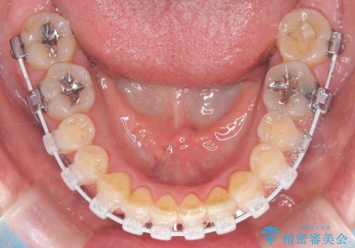
- 前歯の軽度なガタつき(叢生)を気にされてご来院されました。精密な検査の結果、抜歯は不要で、わずかなスペースを確保することで歯並びを整えられると診断。患者様のご希望と状態に合わせ、目立ちにくい審美ブラケットを使用したワイヤー矯正による治療計画を立案しました。スペース確保は、奥歯を少し後ろへ動かす遠心移動と、歯の側面をわずかに削る**IPR(歯間乳頭保護下ストリッピング)**を併用し、約1年間での治療完了を目指しました。
- 費用(概算)
- 85万円費用は治療当時の料金となります
治療について
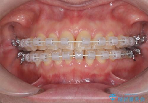
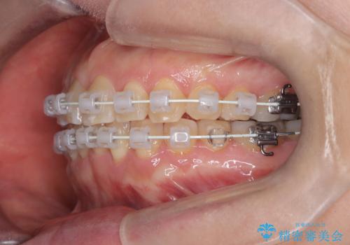
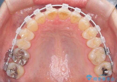
今回の矯正治療では、歯の色に近い目立たない審美ブラケットとワイヤーを使用しました。
スペース確保のために、まず奥歯全体をわずかに後方へ動かす遠心移動を実施し、前歯を並べるためのスペースを確保。さらに、安全性に配慮しながら歯の側面をわずかに削るIPRを併用し、デコボコを解消しました。
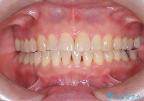
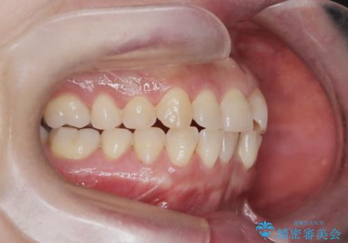
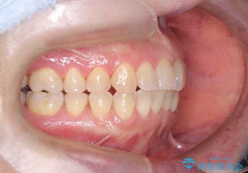
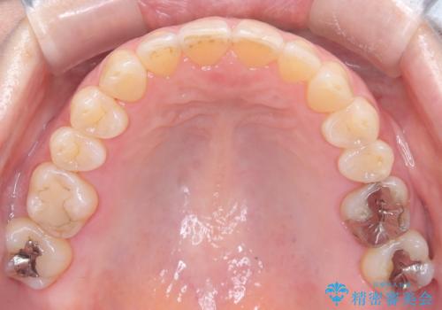
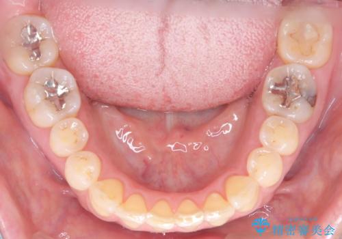
ワイヤー矯正ならではの確実な歯のコントロールにより、当初の計画通り約1年という短い期間で、前歯のガタつきが解消。見た目が美しく整っただけでなく、清掃しやすい機能的な歯並びを獲得していただけました。
ワイヤー矯正の注意事項(リスク・副作用など)
- 治療中は違和感や痛みが起こることがあります
- 症状により、抜歯が必要な場合があります
- 治療中は歯磨きがしにくくなるため、虫歯や歯周病になりやすくなります
- 矯正治療後の保定が不十分だと後戻り(元の位置に戻ろうとする動き)をします
- 自費診療(保険適用外)となります
当サイトの内容、テキスト、画像等の無断転載、複製、複写、盗用を固く禁じます。















