症例詳細
Case detail
欠けて変色した前歯を一新!オールセラミックで叶える自然な笑顔
治療症例の内容
- 診療科目
- 治療カテゴリ
- 担当医
- 河口智英(ドクタープロフィール)
- 患者様
- 30代女性
- 治療期間
- 2ヶ月
- 治療回数
- 2-5回
- 治療計画
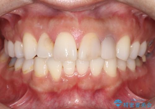
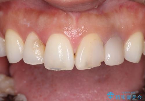
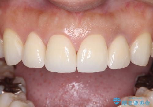
- 上顎の前歯4本が、過去の治療痕による変色や欠けで見た目が気になるとの主訴でご来院されました。患者様は、思い切り笑えるよう自然で美しい前歯を求めていらっしゃいました。そこで、最も天然歯に近い審美性を再現できるオールセラミッククラウンを用いた治療計画を立案しました。歯並びや色のバランスを整え、長期的に安定する美しい口元を獲得することを目指します。
- 費用(概算)
- 84万円費用は治療当時の料金となります
治療について
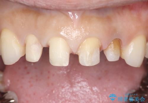
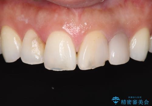
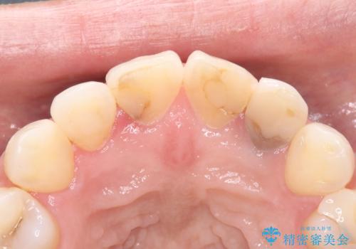
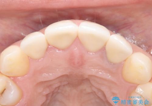
治療はまず、審美性を最大限に高めるために、歯肉のラインや前歯の形を整えることから始めました。その後、4本の歯を丁寧に形成し、金属を一切使用しないオールセラミッククラウンを作製しました。
オールセラミックは、光の透過性が天然歯に非常に近いため、周囲の歯と見分けがつかないほどの透明感と自然な色調を再現できます。また、プラークが付着しにくく、金属アレルギーの心配もありません。
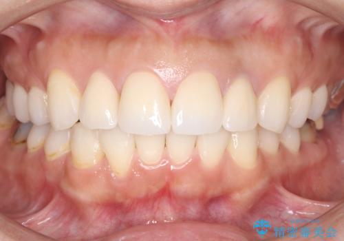
緻密な色合わせと形態調整を重ねた結果、長年のコンプレックスであった前歯の欠けや変色が解消。機能性と審美性が完璧に調和した、自信を持って笑える美しい口元を実現することができました。
セラミック治療の注意事項(リスク・副作用など)
- 天然歯を削ります
- 硬い素材は天然歯を傷つけてしまう場合があります
- かみ合わせや歯ぎしりが強すぎる方はセラミックが割れてしまう可能性があります
- 自費診療(保険適用外治療)となります
当サイトの内容、テキスト、画像等の無断転載、複製、複写、盗用を固く禁じます。














