症例詳細
Case detail
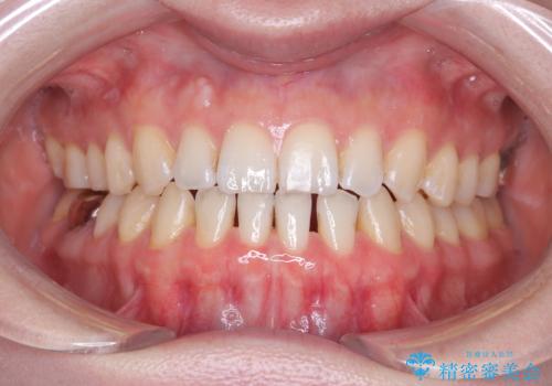
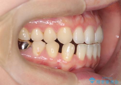
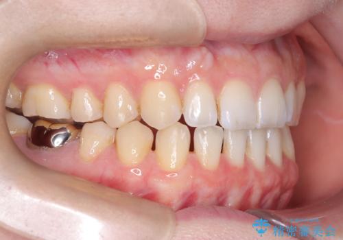
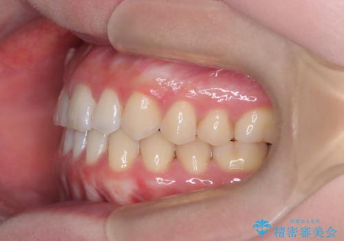
すきっ歯・切端咬合・空隙歯列|インビザラインで11ヵ月で治療完了
治療症例の内容
- 患者様
- 30代女性
- 矯正装置
- インビザライン
- 治療期間
- 11ヶ月
- 治療回数
- 10-30回
- 治療計画
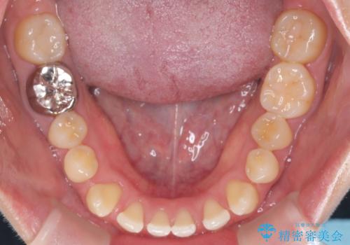
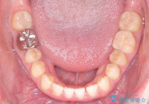
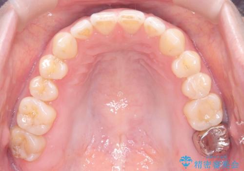
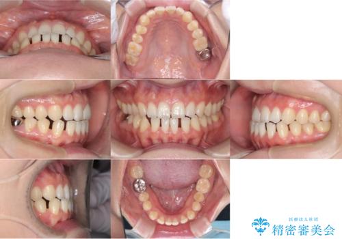
- すきっ歯と切端咬合(上下の前歯が先端で当たるかみ合わせ)を主訴にご来院された患者様です。
矯正検査を行った結果、非抜歯でインビザラインによる治療が可能と判断し、マウスピース矯正で改善を行いました。
- 費用(概算)
- 税込715,000円費用は治療当時の料金となります
※顔写真掲載にあたり、患者様の了解を得ております
治療について
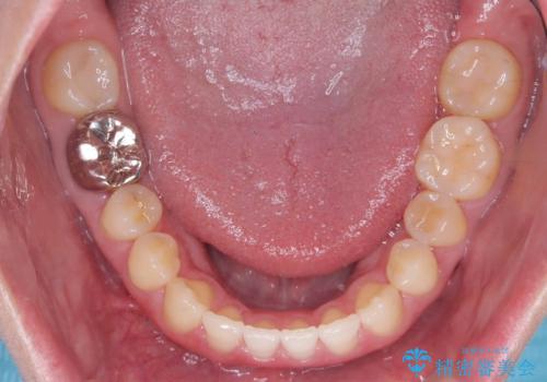
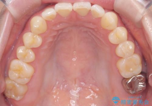
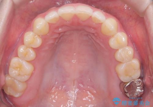
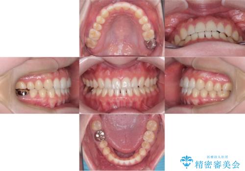
11ヵ月で矯正治療が終了し、前歯の隙間も改善、見た目とかみ合わせも良好な状態となり、患者様にも大変ご満足いただけました。
治療途中に海外へ転勤となりましたが、インビザラインは海外在住の方や転勤が多い方でも継続しやすい治療方法です。
マウスピース矯正の注意事項(リスク・副作用など)
- 口腔内・歯並びの状態によっては対応できない場合があります
- マウスピース型矯正装置の長時間装着(1日20時間以上)が必須です
- 治療計画通りに進めるためには、患者様の意志が重要になります
- 矯正治療後の保定が不十分だと後戻り(元の位置に戻ろうとする動き)をします
- 薬機法対象外の矯正歯科装置のため医薬品副作用被害救済制度の対象外となる場合があります
- 自費診療(保険適用外)となります
当サイトの内容、テキスト、画像等の無断転載、複製、複写、盗用を固く禁じます。
























