症例詳細
Case detail
矯正後の後戻りをインビザラインライトで再治療|目立たない矯正の症例紹介
治療症例の内容
- 担当医
- 齋藤佑磨(ドクタープロフィール)
- 患者様
- 20代男性
- 矯正装置
- インビザラインライト
- 治療期間
- 1年
- 治療回数
- 5-10回
- 治療計画
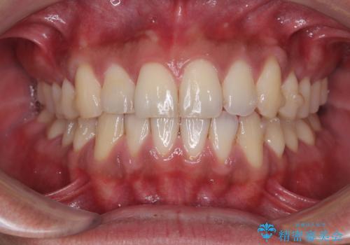
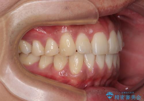
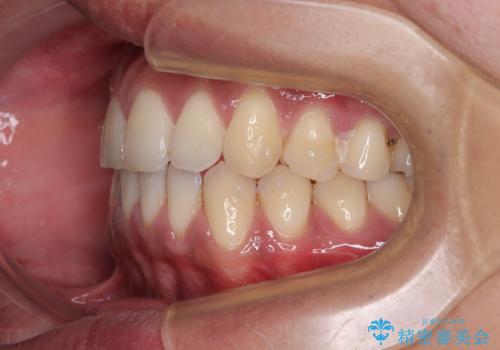
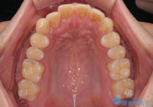
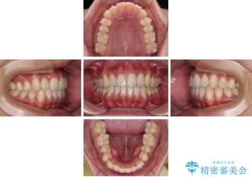
- 今回ご紹介するのは、
「過去に他院で矯正治療をしたものの、前歯の後戻りが気になってきた」
という理由でご来院された患者様です。
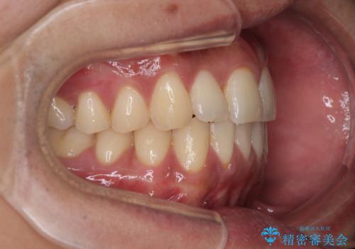
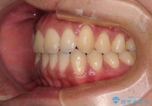
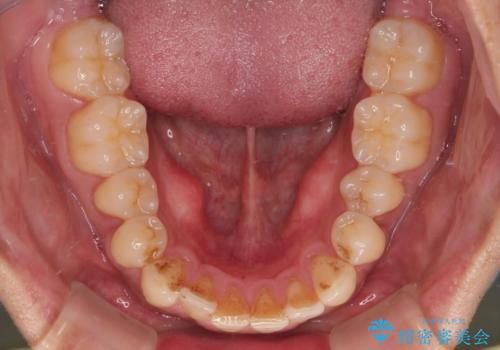
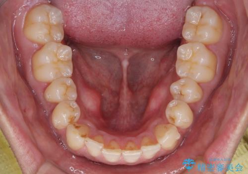
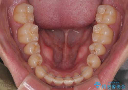
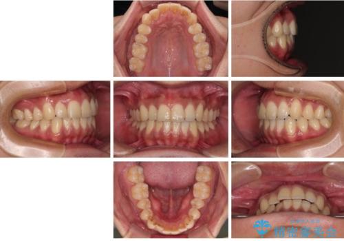
診察したところ、上下顎前歯部に軽度の叢生(ガタつき)が認められます。
目立たない装置を希望されたのでインビザライン ライトパッケージで治療を行うことになりました。
- 費用(概算)
- 50万円(税込)費用は治療当時の料金となります
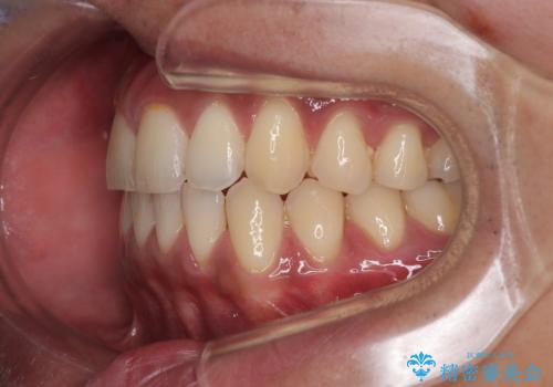
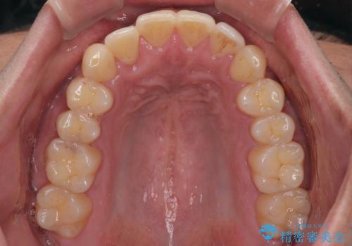
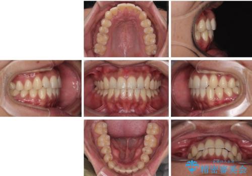
治療について
矯正治療後は、後戻りを防ぐために リテーナー(保定装置) を使用していただきます。
以前の矯正で後戻りを経験されているため、患者様にも重要性をご理解いただき、
しっかりと保定していただくことで美しい歯並びを長く維持できます。
マウスピース矯正の注意事項(リスク・副作用など)
- 口腔内・歯並びの状態によっては対応できない場合があります
- マウスピース型矯正装置の長時間装着(1日20時間以上)が必須です
- 治療計画通りに進めるためには、患者様の意志が重要になります
- 矯正治療後の保定が不十分だと後戻り(元の位置に戻ろうとする動き)をします
- 薬機法対象外の矯正歯科装置のため医薬品副作用被害救済制度の対象外となる場合があります
- 自費診療(保険適用外)となります
当サイトの内容、テキスト、画像等の無断転載、複製、複写、盗用を固く禁じます。


























