症例詳細
Case detail
適合不良のラミネートベニアをやり替えて自然な笑顔に|オールセラミッククラウンによる前歯補綴症例
治療症例の内容
- 診療科目
- 治療カテゴリ
- 担当医
- 齋藤佑磨(ドクタープロフィール)
- 患者様
- 40代女性
- 治療期間
- 1ヶ月
- 治療回数
- 2-5回
- 治療計画
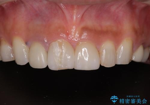
- 「前歯をきれいにやり替えたい」とご相談いただいた40代女性の症例をご紹介します。
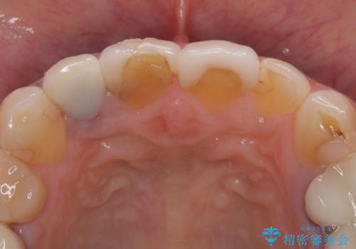
患者様は過去に装着されたラミネートベニアが割れてしまったことに加え、土台との間に隙間が生じており、適合が不良な状態でした。
このままでは見た目だけでなく、むし歯や歯周病のリスクが高まってしまいます。
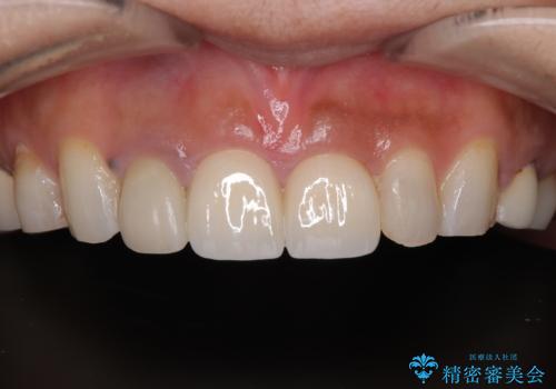
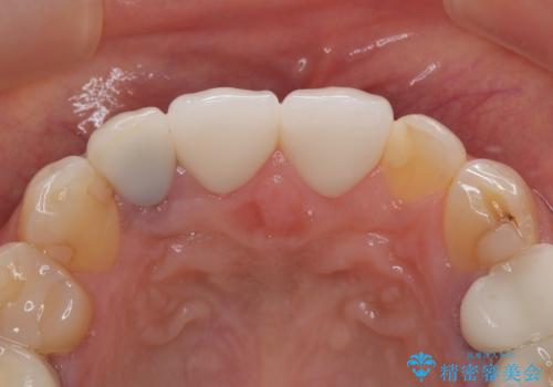
そのため当院では、上顎左右中切歯を適合精度の高いオールセラミッククラウンにて再補綴する治療をご提案し、実施いたしました。
オールセラミッククラウンは透明感が高く、自然な歯の色調に調整でき、歯と歯ぐきの境目もとても自然な仕上がりとなりました。
患者様からも「以前よりも自然で、笑った時の印象がとても良くなった」と、大変満足のお声をいただきました。
- 費用(概算)
- 33万円(税込)費用は治療当時の料金となります
治療について
長期的に歯や歯周組織を守るためには、精密に適合した被せ物を入れることがとても重要です。
セラミック治療の注意事項(リスク・副作用など)
- 天然歯を削ります
- 硬い素材は天然歯を傷つけてしまう場合があります
- かみ合わせや歯ぎしりが強すぎる方はセラミックが割れてしまう可能性があります
- 自費診療(保険適用外治療)となります
当サイトの内容、テキスト、画像等の無断転載、複製、複写、盗用を固く禁じます。








