症例詳細
Case detail
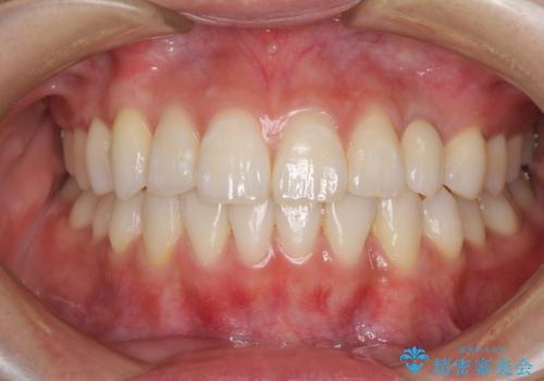
前歯のラミネートベニアをセラミッククラウンに(30代女性)
治療症例の内容
- 診療科目
- 治療カテゴリ
- 担当医
- 藤巻太一朗(ドクタープロフィール)
- 患者様
- 30代女性
- 治療期間
- 2ヶ月
- 治療回数
- 2-5回
- 治療計画
- 上顎前歯2歯ともに根管治療が必要であるため、PESC認定医林院長により精密根管治療を実施
その後、オールセラミック(ジルコニアクラウン)にて補綴
- 費用(概算)
- 治療費の目安: 50万円費用は治療当時の料金となります
治療を終えて
膿が出ていたことによる痛みが消え、前歯に対する違和感をなくすことができました。また、ジルコニアクラウンにて補綴することで、ラミネートベニア最大の欠点の一つでもある、前歯裏側にある境目の舌触りの悪さも解消され、審美的にも機能的にも大変満足いただける仕上がりとなりました。
リスクについて
根管治療後は一定の確率で症状が再発する可能性があります。
セラミックは破折などにより修復や再製作が必要となることがあります。
動画
セラミック治療の注意事項(リスク・副作用など)
- 天然歯を削ります
- 硬い素材は天然歯を傷つけてしまう場合があります
- かみ合わせや歯ぎしりが強すぎる方はセラミックが割れてしまう可能性があります
- 自費診療(保険適用外治療)となります
当サイトの内容、テキスト、画像等の無断転載、複製、複写、盗用を固く禁じます。










