症例詳細
Case detail
[大きい正中のずれ] 裏側矯正で前歯のねじれ・顎のゆがみを改善
治療症例の内容
- 診療科目
- 担当医
- 井上季実子(ドクタープロフィール)
- 患者様
- 20代女性
- 矯正装置
- 裏側装置(ハーフリンガル)
- 治療期間
- 2年
- 治療回数
- 10-30回
- 治療計画
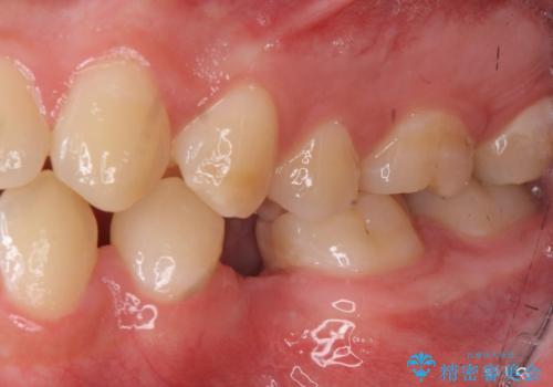
- 前歯のガタガタを主訴に来院。
下顎が右にシフトし、上下の正中も大きくずれていました。
ミニスクリューを用いて歯を抜かずに治療を行いました。
- 費用(概算)
- 約85万円費用は治療当時の料金となります
治療について
歯の傾きなどを改善し、顎のゆがみをカモフラージュしました。
顎の手術はしていませんが、笑った時の上の歯の見え方が大きく変わり、非対称である印象が弱まったと思います。
下顎が大きく右偏していましたが、できる限り上下の正中を合わせました。
特に左上の5番がすれ違い咬合になりかけていたのをしっかり治しています。
ワイヤー矯正の注意事項(リスク・副作用など)
- 治療中は違和感や痛みが起こることがあります
- 症状により、抜歯が必要な場合があります
- 治療中は歯磨きがしにくくなるため、虫歯や歯周病になりやすくなります
- 矯正治療後の保定が不十分だと後戻り(元の位置に戻ろうとする動き)をします
- 自費診療(保険適用外)となります
当サイトの内容、テキスト、画像等の無断転載、複製、複写、盗用を固く禁じます。

![[大きい正中のずれ] 裏側矯正で前歯のねじれ・顎のゆがみを改善の治療前](https://seimitsushinbi.jp/wp/wp-content/uploads/2018/04/IMG_0024-500x350.jpg)
![[大きい正中のずれ] 裏側矯正で前歯のねじれ・顎のゆがみを改善の治療中](https://seimitsushinbi.jp/wp/wp-content/uploads/2018/04/IMG_9682-500x350.jpg)
![[大きい正中のずれ] 裏側矯正で前歯のねじれ・顎のゆがみを改善の治療後](https://seimitsushinbi.jp/wp/wp-content/uploads/2018/04/IMG_0439-500x350.jpg)
![[大きい正中のずれ] 裏側矯正で前歯のねじれ・顎のゆがみを改善の治療前](https://seimitsushinbi.jp/wp/wp-content/uploads/2018/04/IMG_0026-1-500x350.jpg)
![[大きい正中のずれ] 裏側矯正で前歯のねじれ・顎のゆがみを改善の治療中](https://seimitsushinbi.jp/wp/wp-content/uploads/2018/04/IMG_9684-500x350.jpg)
![[大きい正中のずれ] 裏側矯正で前歯のねじれ・顎のゆがみを改善の治療後](https://seimitsushinbi.jp/wp/wp-content/uploads/2018/04/IMG_0442-500x350.jpg)
![[大きい正中のずれ] 裏側矯正で前歯のねじれ・顎のゆがみを改善の治療前](https://seimitsushinbi.jp/wp/wp-content/uploads/2018/04/IMG_0025-1-500x350.jpg)
![[大きい正中のずれ] 裏側矯正で前歯のねじれ・顎のゆがみを改善の治療中](https://seimitsushinbi.jp/wp/wp-content/uploads/2018/04/IMG_9683-500x350.jpg)
![[大きい正中のずれ] 裏側矯正で前歯のねじれ・顎のゆがみを改善の治療後](https://seimitsushinbi.jp/wp/wp-content/uploads/2018/04/IMG_0440-500x350.jpg)
![[大きい正中のずれ] 裏側矯正で前歯のねじれ・顎のゆがみを改善の治療前](https://seimitsushinbi.jp/wp/wp-content/uploads/2018/04/IMG_0027-1-500x350.jpg)
![[大きい正中のずれ] 裏側矯正で前歯のねじれ・顎のゆがみを改善の治療中](https://seimitsushinbi.jp/wp/wp-content/uploads/2018/04/IMG_9686-500x350.jpg)
![[大きい正中のずれ] 裏側矯正で前歯のねじれ・顎のゆがみを改善の治療後](https://seimitsushinbi.jp/wp/wp-content/uploads/2018/04/IMG_0448-500x350.jpg)
![[大きい正中のずれ] 裏側矯正で前歯のねじれ・顎のゆがみを改善の治療前](https://seimitsushinbi.jp/wp/wp-content/uploads/2018/04/IMG_0028-1-500x350.jpg)
![[大きい正中のずれ] 裏側矯正で前歯のねじれ・顎のゆがみを改善の治療中](https://seimitsushinbi.jp/wp/wp-content/uploads/2018/04/IMG_9687-500x350.jpg)
![[大きい正中のずれ] 裏側矯正で前歯のねじれ・顎のゆがみを改善の治療後](https://seimitsushinbi.jp/wp/wp-content/uploads/2018/04/IMG_0451-e1525054059124-500x350.jpg)
![[大きい正中のずれ] 裏側矯正で前歯のねじれ・顎のゆがみを改善の治療前(顔貌)](https://seimitsushinbi.jp/wp/wp-content/uploads/2018/04/C8-1.jpg)
![[大きい正中のずれ] 裏側矯正で前歯のねじれ・顎のゆがみを改善の治療後(顔貌)](https://seimitsushinbi.jp/wp/wp-content/uploads/2018/04/DSC09588.jpg)
![[大きい正中のずれ] 裏側矯正で前歯のねじれ・顎のゆがみを改善の治療前(顔貌)](https://seimitsushinbi.jp/wp/wp-content/uploads/2018/04/C7-1.jpg)
![[大きい正中のずれ] 裏側矯正で前歯のねじれ・顎のゆがみを改善の治療後(顔貌)](https://seimitsushinbi.jp/wp/wp-content/uploads/2018/04/DSC09587.jpg)