症例詳細
Case detail
目立たない矯正で正中離開と下の前歯のデコボコを改善|インビザラインによる治療症例
治療症例の内容
- 患者様
- 30代男性
- 矯正装置
- インビザラインコンプリヘンシブ
- 治療期間
- 1年4ヶ月
- 治療回数
- 10-30回
- 治療計画
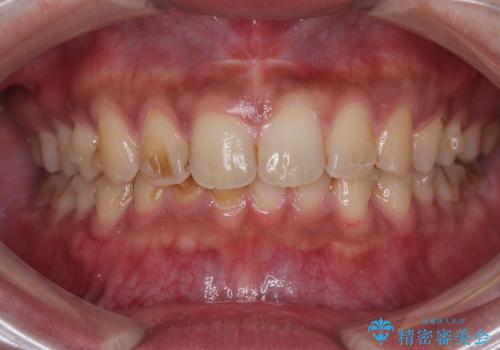
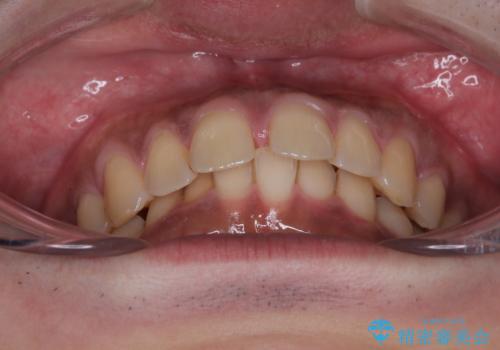
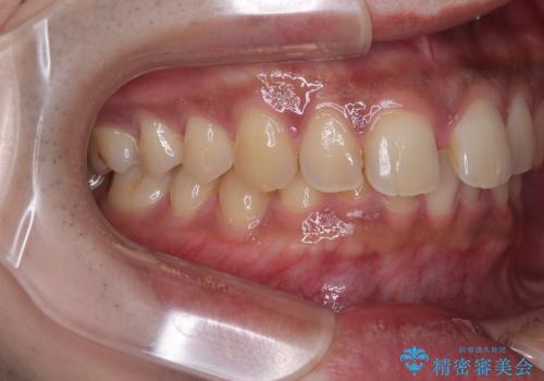
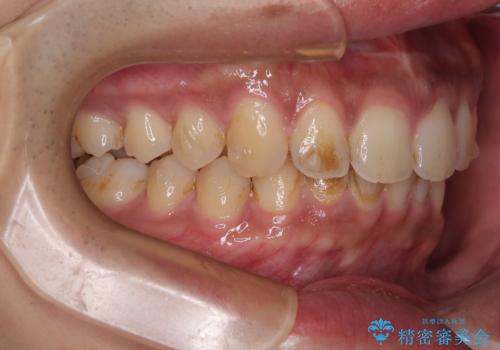
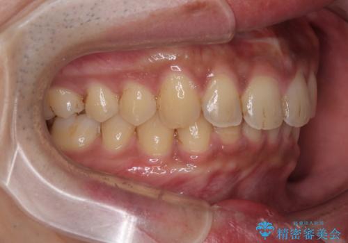
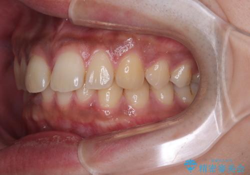
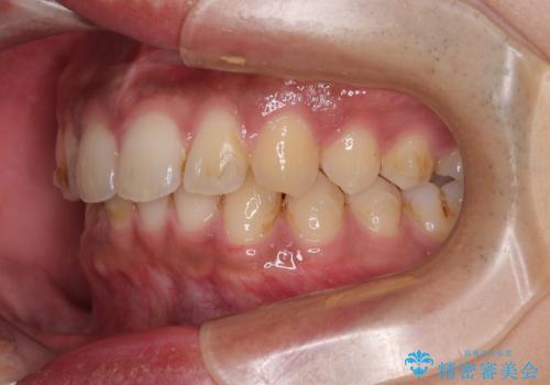
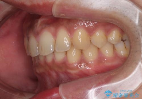
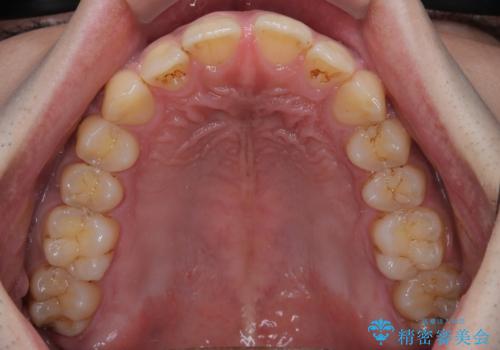
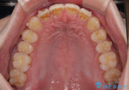
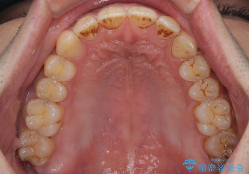
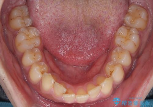
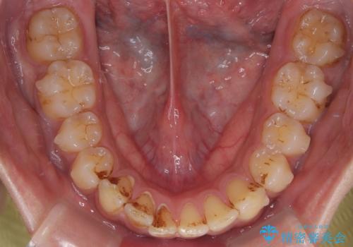
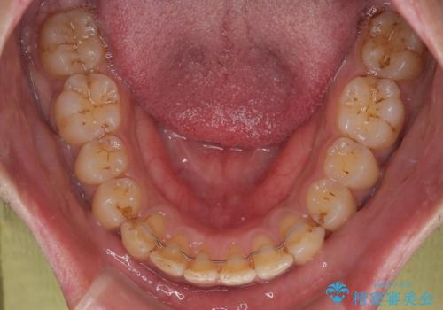
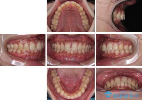
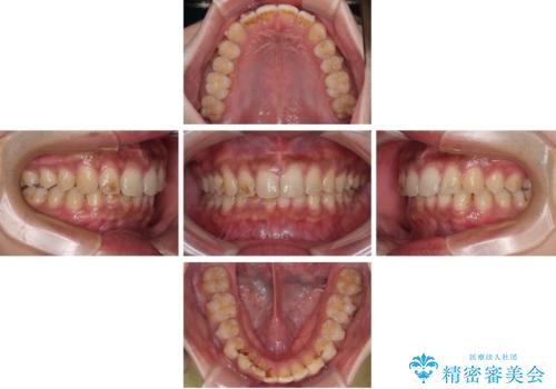
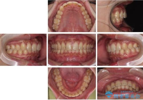
- 上の前歯の正中離開(すきっ歯)と、下顎前歯部の叢生(デコボコ)を主訴に来院された患者様の症例です。
「目立ちにくい装置で治療したい」とのご希望があり、透明のマウスピース矯正であるインビザラインを用いて矯正治療を行いました。
インビザラインは装置が透明で、周囲に気づかれにくいことが大きなメリットです。
取り外しもできるため衛生面でも安心して治療を進めていただけました。
- 費用(概算)
- 88万円(税込)費用は治療当時の料金となります
治療について
正中離開は舌の癖(舌突出癖)がある場合、後戻りしやすい傾向があります。
そのため当院では矯正治療と並行して、正しい舌の位置・飲み込み方・呼吸の仕方などをトレーニングする
**MFT(口腔筋機能療法)**を実施し、治療後の安定性を高めています。
マウスピース矯正の注意事項(リスク・副作用など)
- 口腔内・歯並びの状態によっては対応できない場合があります
- マウスピース型矯正装置の長時間装着(1日20時間以上)が必須です
- 治療計画通りに進めるためには、患者様の意志が重要になります
- 矯正治療後の保定が不十分だと後戻り(元の位置に戻ろうとする動き)をします
- 薬機法対象外の矯正歯科装置のため医薬品副作用被害救済制度の対象外となる場合があります
- 自費診療(保険適用外)となります
当サイトの内容、テキスト、画像等の無断転載、複製、複写、盗用を固く禁じます。


























