症例詳細
Case detail
すべての虫歯治療をしたい
治療症例の内容
- 患者様
- 30代男性
- 治療期間
- 6ヶ月
- 治療回数
- 10-30回
- 治療計画
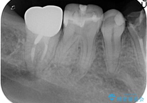
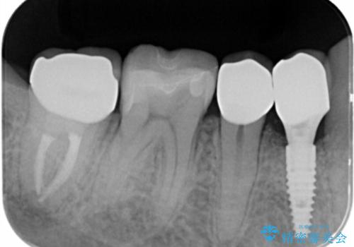
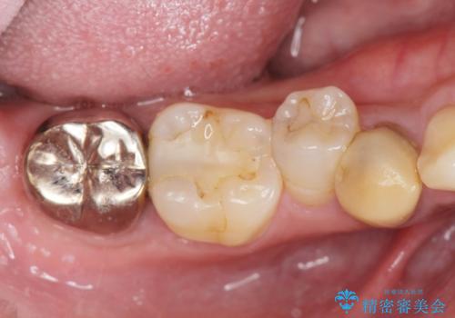
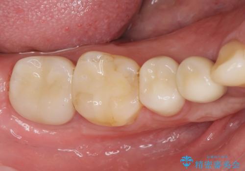
- 過去、多数の部位の虫歯治療を受けこれまで再発を繰り返してきたことから「徹底的な虫歯治療を受けたい。」と希望され来院されました。
虫歯の大きさから保存できなかった歯はインプラント治療を行い、その他の歯は虫歯のステージに合わせて根管治療、セラミックインレー、 セラミッククラウンを精密に行うことで長期的な予後を期待できる状態へと治療を進めます。
- 費用(概算)
- 34.1万円(ジルコニアクラウン×2・仮歯×2・セラミックインレー×1・インプラント治療を除く)費用は治療当時の料金となります
治療について
虫歯の大きさ、ステージが進むほど治療費は大きくなることが多いです。虫歯は放置しても改善の期待ができないので、早期の治療が治療費も安く、歯質は多く残すことができます。
セラミック治療の注意事項(リスク・副作用など)
- 天然歯を削ります
- 硬い素材は天然歯を傷つけてしまう場合があります
- かみ合わせや歯ぎしりが強すぎる方はセラミックが割れてしまう可能性があります
- 自費診療(保険適用外治療)となります
当サイトの内容、テキスト、画像等の無断転載、複製、複写、盗用を固く禁じます。






