症例詳細
Case detail
【セラミッククラウン】【生活歯髄療法】歯に穴が空いている
治療症例の内容
- 診療科目
- 治療カテゴリ
- 担当医
- 町田睦月(ドクタープロフィール)
- 患者様
- 20代女性
- 治療期間
- 3ヶ月
- 治療回数
- 2-5回
- 治療計画
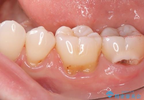
- 主訴:歯に穴が空いていて沁みる
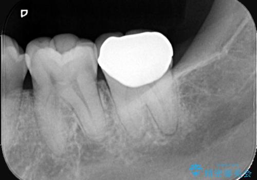
左下7番目の歯の頬側に大きな穴(う蝕によるもの)が空いており、う蝕の範囲が大きく神経を及ぼしている可能性も説明し生活歯髄療法とクラウンでの補綴治療を行うこととなりました。
- 費用(概算)
- 176,000円(税込み)費用は治療当時の料金となります
治療について
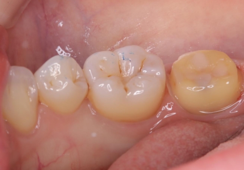
治療に入る前に歯髄診断を行った結果、正常反応を示しました。
左下7頬側歯頚部に大きくできたう窩内のう蝕を除去していき、生活歯髄療法(間接覆髄法)を行いました。
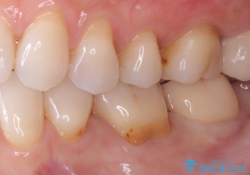
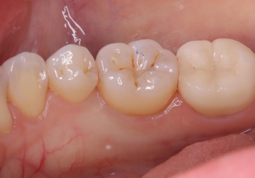
二か月程期間を開け症状が出ていないことと、歯髄診断を再度行い正常反応を確認した後、セラミッククラウン補綴修復を行いました。
セラミック治療の注意事項(リスク・副作用など)
- 天然歯を削ります
- 硬い素材は天然歯を傷つけてしまう場合があります
- かみ合わせや歯ぎしりが強すぎる方はセラミックが割れてしまう可能性があります
- 自費診療(保険適用外治療)となります
根管治療の注意事項(リスク・副作用など)
- 根管治療により類似の全ての症例の問題が解決するわけではなく、症例はあくまでも一例です
- 根管治療により痛みや腫れがひかない事や、術後に痛みや腫れが生じる事、治療によるファイル破折やパーフォレーションなどの偶発症、術後の歯根破折を生じる可能性もあります
- 自費診療(保険適用外)となります
当サイトの内容、テキスト、画像等の無断転載、複製、複写、盗用を固く禁じます。







