症例詳細
Case detail
奥歯がしみる オールセラミッククラウンによる奥歯のむし歯治療
治療症例の内容
- 診療科目
- 治療カテゴリ
- 担当医
- 藤巻太一朗(ドクタープロフィール)
- 患者様
- 50代女性
- 治療期間
- 4ヶ月
- 治療回数
- 2-5回
- 治療計画
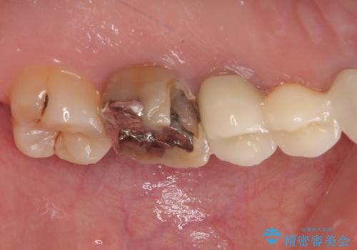
- 冷たいものがしみることがあるとのことで来院された患者様です。
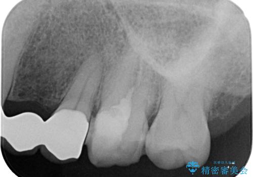
銀歯の下にまでむし歯が及んでおり、レントゲン写真からも神経組織に迫っている状態が確認されました。
稀に冷たいものがしみる程度で、術前診査では神経を全て取る可能性は低いと予想されましたが、一部切除する可能性が高いことを伝えた上で治療を行うこととしました。
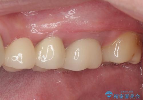
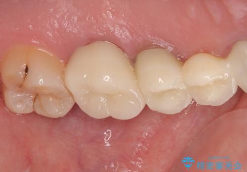
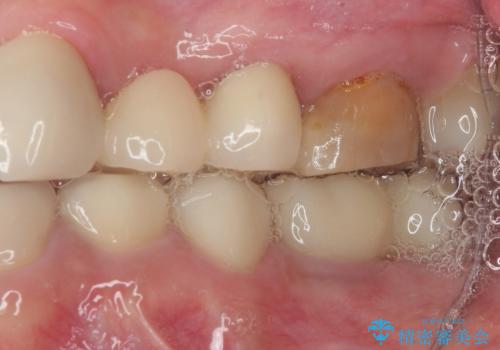
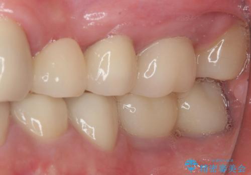
銀歯や欠損が大きいことから、虫歯治療後はオールセラミッククラウンによる補綴治療を行うこととしました。
- 費用(概算)
- 17万円(税込)費用は治療当時の料金となります
治療について
やはりむし歯は大きく、一部歯髄を切除することとなりましたが、その後は良好な経過をたどっています。
セラミック治療の注意事項(リスク・副作用など)
- 天然歯を削ります
- 硬い素材は天然歯を傷つけてしまう場合があります
- かみ合わせや歯ぎしりが強すぎる方はセラミックが割れてしまう可能性があります
- 自費診療(保険適用外治療)となります
当サイトの内容、テキスト、画像等の無断転載、複製、複写、盗用を固く禁じます。

















