症例詳細
Case detail
割れて揺れている奥歯 抜歯即時・早期埋入インプラント治療
治療症例の内容
- 患者様
- 50代男性
- 治療期間
- 6ヶ月
- 治療回数
- 5-10回
- 治療計画
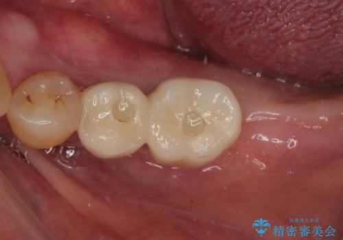
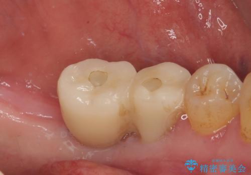
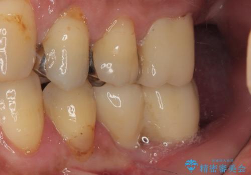
- 連結されている奥歯がグラグラしていて、インプラント治療を希望して来院された患者様です。
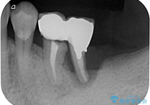
連結の手前の歯は歯根が破折して、クラウンが歯から外れており、奥の歯は動揺により歯根周辺の骨が吸収している状態でした。
骨吸収が甚大な後方は3ヶ月ほど待機して、手前は抜歯即時埋入により、短期間インプラント補綴治療を行うこととしました。
なお、後方の歯は痛みが酷かったため、初診時に抜歯をすることとなりました。
- 費用(概算)
- 100万円(税込)費用は治療当時の料金となります
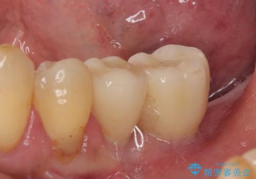
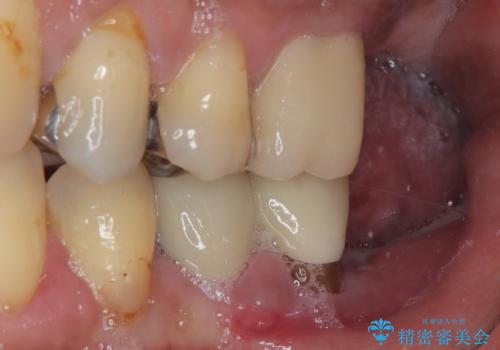
治療について
骨吸収が大きかったため、待機期間を必要としましたが、外科処置は初診時の抜歯も含めて3回に抑えることができ、半年の短期間で治療を終えることができました。
インプラント治療の注意事項(リスク・副作用など)
- 外科手術のため、術後に痛みや腫れ、違和感を伴います
- メンテナンスを怠ったり喫煙により、お口の中に大きな悪影響を及ぼすインプラント周囲炎等にかかる可能性があります
- 糖尿病、肝硬変、心臓病等の場合、インプラント治療ができない可能性があります
- 高血圧、貧血・不整脈等の場合、インプラント治療後に治癒不全を招く可能性があります
- 自費診療(保険適用外治療)となります
セラミック治療の注意事項(リスク・副作用など)
- 天然歯を削ります
- 硬い素材は天然歯を傷つけてしまう場合があります
- かみ合わせや歯ぎしりが強すぎる方はセラミックが割れてしまう可能性があります
- 自費診療(保険適用外治療)となります
当サイトの内容、テキスト、画像等の無断転載、複製、複写、盗用を固く禁じます。





















