症例詳細
Case detail
被せものが割れた オールセラミッククラウン・セラミックインレー修復
治療症例の内容
- 診療科目
- 担当医
- 有澤哲郎(ドクタープロフィール)
- 患者様
- 20代女性
- 治療期間
- 2ヶ月
- 治療回数
- 2-5回
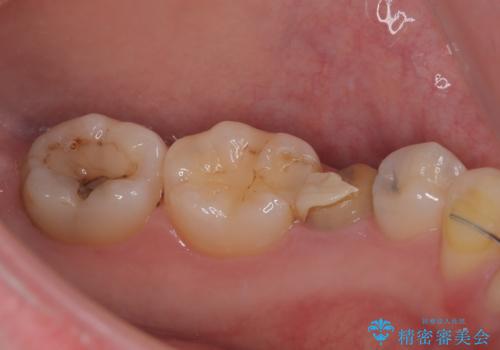
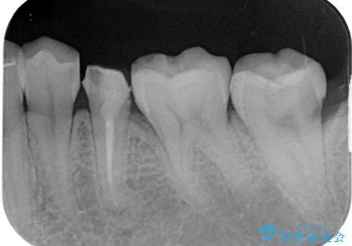
- 治療計画
- 左下の被せものが割れたとのことで来院された患者様です。検査の結果、左下の前から4番目の歯はセラミックインレー修復、左下の5番目のところはオールセラミッククラウンによる補綴治療を行っていくことにしました。
拡大鏡視野下で被せもの、虫歯の除去を行い、オールセラミッククラウン、セラミックインレーに適した形に整えました。
歯と歯茎の間に圧排糸と言われる糸を入れてシリコーン印象材にて精密な型どりをしました。
セラミックインレーの装着時には、唾液の侵入を防ぐために、ラバーダム防湿を行いました。
患者様のご希望により左下5番目の根管治療は行っておりません。
- 費用(概算)
- 21万円(税込み)費用は治療当時の料金となります
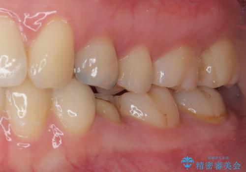
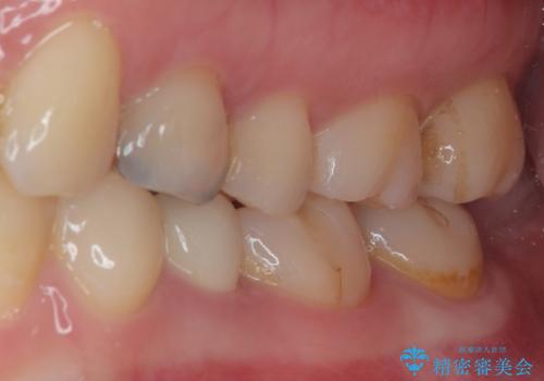
治療について
適合の良い被せものが入り、審美面も気に入っていただけました。被せものが割れていたという経緯もあったため少しだけ被せものの厚みを多めに確保してあります。
当院で矯正治療も行っているため、今後もリテーナーを使ってもらいながら経過を観察していきます。
セラミック治療の注意事項(リスク・副作用など)
- 天然歯を削ります
- 硬い素材は天然歯を傷つけてしまう場合があります
- かみ合わせや歯ぎしりが強すぎる方はセラミックが割れてしまう可能性があります
- 自費診療(保険適用外治療)となります
その他の注意事項(リスク・副作用など)
- 担当歯科医師、歯科衛生士又は医院スタッフから受けた説明・注意事項をよくご確認ください
- 医療を提供するに当たり、適切な説明を行い、患者様の十分な理解を得るよう努めております
当サイトの内容、テキスト、画像等の無断転載、複製、複写、盗用を固く禁じます。









