症例詳細
Case detail
色のバランスの悪い前歯 オールセラミッククラウンで自然な口元に
治療症例の内容
- 診療科目
- 治療カテゴリ
- 担当医
- 藤巻太一朗(ドクタープロフィール)
- 患者様
- 50代男性
- 治療期間
- 1ヶ月
- 治療回数
- 2-5回
- 治療計画
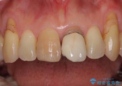
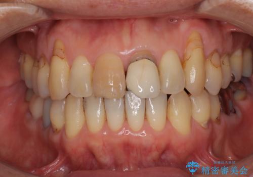
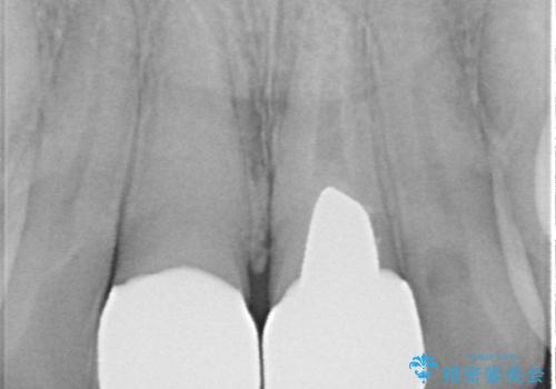
- 幼少期にぶつけてしまった前歯2本の変色を気にして来院された患者様です。
神経は生きているものの歯の色が茶色くなってきており、隣の歯は保険診療で装着したプラスチックのクラウンが徐々に黄ばんできている状態でした。
2本を同時にオールセラミッククラウンにて補綴治療を行うこととしました。
- 費用(概算)
- 25万円(税込)費用は治療当時の料金となります
治療について
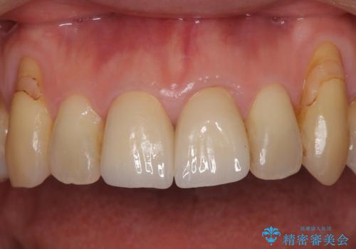
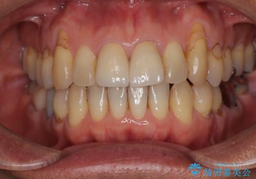
左右対称の2本の歯にセラミッククラウンを装着したことで、調和の取れた審美的な口元となりました。
セラミック治療の注意事項(リスク・副作用など)
- 天然歯を削ります
- 硬い素材は天然歯を傷つけてしまう場合があります
- かみ合わせや歯ぎしりが強すぎる方はセラミックが割れてしまう可能性があります
- 自費診療(保険適用外治療)となります
当サイトの内容、テキスト、画像等の無断転載、複製、複写、盗用を固く禁じます。












