症例詳細
Case detail
しみる前歯のセラミック治療 周辺も同時に治療して調和の取れた前歯に
治療症例の内容
- 診療科目
- 治療カテゴリ
- 担当医
- 藤巻太一朗(ドクタープロフィール)
- 患者様
- 50代女性
- 治療期間
- 1ヶ月
- 治療回数
- 2-5回
- 治療計画
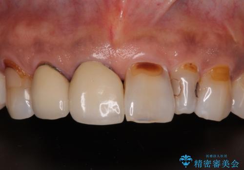
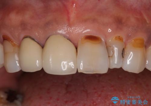
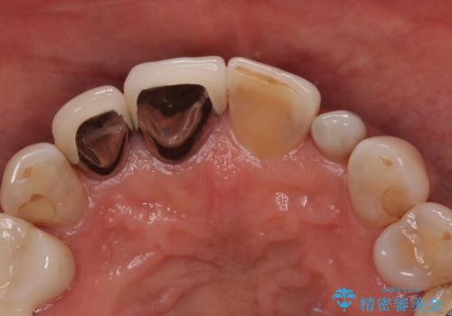
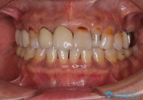
- 矮小歯である前歯がしみるとのことで来院された患者様です。
上顎前歯の歯肉ラインにエナメル質の欠損が認められ、そこが原因で冷たいものがしみている状態でした。
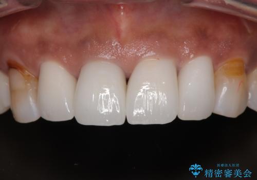
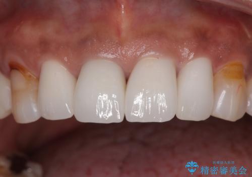
歯の大きさが小さいこと、隣の歯や反対側のセラミッククラウンの境目が見えていることなどから、前歯4本あるいは6本に対して、オールセラミッククラウンによる補綴治療をご提案しました。
見た目も大事だが、なるべく削りたくないとのことで、取り急ぎ4本を補綴治療し、今後犬歯の色などが気になることがあれば、追って対応することとしました。
- 費用(概算)
- 56万円(税込)費用は治療当時の料金となります
治療について
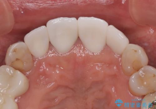
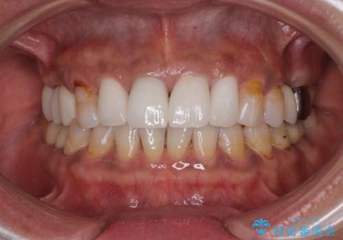
6本同時に処置を行うと、矮小歯をより大きく見えるように工夫ができるというメリットがありましたが、4本のみの処置でも十分に満足をされていらっしゃいました。
セラミック治療の注意事項(リスク・副作用など)
- 天然歯を削ります
- 硬い素材は天然歯を傷つけてしまう場合があります
- かみ合わせや歯ぎしりが強すぎる方はセラミックが割れてしまう可能性があります
- 自費診療(保険適用外治療)となります
当サイトの内容、テキスト、画像等の無断転載、複製、複写、盗用を固く禁じます。












