症例詳細
Case detail
銀歯の下の虫歯|オールセラミッククラウン
治療症例の内容
- 診療科目
- 治療カテゴリ
- 担当医
- 河野豊嘉(ドクタープロフィール)
- 患者様
- 50代男性
- 治療期間
- 1ヶ月
- 治療回数
- 2-5回
- 治療計画
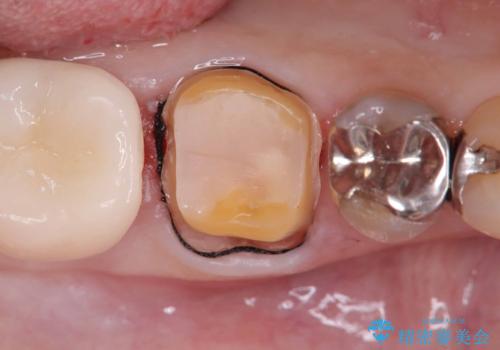
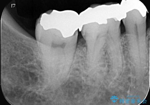
- メンテナンスで虫歯が見つかり、治療を行いました。
まず既存の銀歯を除去し、虫歯を取り除いた後、オールセラミッククラウンで修復しました。
- 費用(概算)
- 132,000円(仮歯:10,000円+オールセラミッククラウン 3年保証110,000円)費用は治療当時の料金となります
治療について
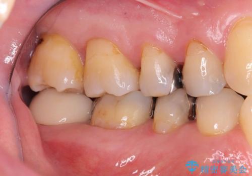
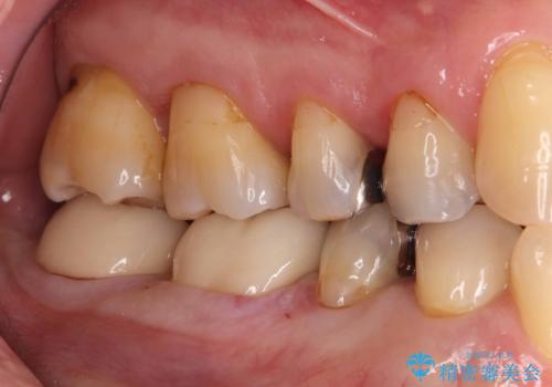
銀歯の下は、目に見えないうちに虫歯が進行していることがよくあります。
特に古くなった銀歯や、咬み合わせの圧力で微細な隙間ができた場合にリスクが高くなります。
見た目ではほとんどわからず、定期検診で発見されるケースが多いです。
また、銀歯には微量の金属(銀や銅、水銀など)が含まれており、長く口の中に入れておくことで金属イオンが溶け出すことがあります。
セラミック治療の注意事項(リスク・副作用など)
- 天然歯を削ります
- 硬い素材は天然歯を傷つけてしまう場合があります
- かみ合わせや歯ぎしりが強すぎる方はセラミックが割れてしまう可能性があります
- 自費診療(保険適用外治療)となります
当サイトの内容、テキスト、画像等の無断転載、複製、複写、盗用を固く禁じます。







