症例詳細
Case detail
[ セラミック治療 ] 前歯の見た目を改善したい
治療症例の内容
- 診療科目
- 治療カテゴリ
- 担当医
- 大元洋佑(ドクタープロフィール)
- 患者様
- 40代女性
- 治療期間
- 1ヶ月
- 治療回数
- 5-10回
- 治療計画
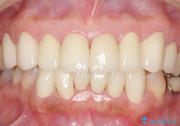
- 前歯の色がばらばらで見た目が気になる、見た目の改善を希望され来院されました。
 既に装着されていた金属を用いたセラミッククラウンの暗い色調とご自身の歯を白く、改善されたいと強く希望され
 上下の前歯12本のセラミック治療を行なっていくこととなりました。
- 費用(概算)
- 79.2万円(ジルコニアクラウン×6・仮歯×6)費用は治療当時の料金となります
治療について
セラミック治療を行うことで、若干の歯並びのがたつきも改善することができました。
セラミック治療の注意事項(リスク・副作用など)
- 天然歯を削ります
- 硬い素材は天然歯を傷つけてしまう場合があります
- かみ合わせや歯ぎしりが強すぎる方はセラミックが割れてしまう可能性があります
- 自費診療(保険適用外治療)となります
当サイトの内容、テキスト、画像等の無断転載、複製、複写、盗用を固く禁じます。








 
                       
                                                          ![[ セラミック治療 ] 前歯の見た目を改善したいの治療前](https://seimitsushinbi.jp/wp/wp-content/uploads/2025/10/IMG_9990-2-500x350.jpg?v=1761816440)
![[ セラミック治療 ] 前歯の見た目を改善したいの治療後](https://seimitsushinbi.jp/wp/wp-content/uploads/2025/10/IMG_9934-500x350.jpg?v=1761816431)
![[ セラミック治療 ] 前歯の見た目を改善したいの治療前](https://seimitsushinbi.jp/wp/wp-content/uploads/2025/10/CI2-horz-500x350.jpg?v=1761816427)
![[ セラミック治療 ] 前歯の見た目を改善したいの治療後](https://seimitsushinbi.jp/wp/wp-content/uploads/2025/10/2-1-500x350.jpg?v=1761816427)
![[ セラミック治療 ] 前歯の見た目を改善したいの治療前](https://seimitsushinbi.jp/wp/wp-content/uploads/2025/10/73a97478db29ae052b30aa32f1c8559a-500x350.jpg?v=1761816448)
![[ セラミック治療 ] 前歯の見た目を改善したいの治療後](https://seimitsushinbi.jp/wp/wp-content/uploads/2025/10/IMG_9939-1-500x350.jpg?v=1761816433)
![[ セラミック治療 ] 前歯の見た目を改善したいの治療前](https://seimitsushinbi.jp/wp/wp-content/uploads/2025/10/IMG_9991-2-500x350.jpg?v=1761816443)
![[ セラミック治療 ] 前歯の見た目を改善したいの治療後](https://seimitsushinbi.jp/wp/wp-content/uploads/2025/10/IMG_9935-500x350.jpg?v=1761816608)
![[ セラミック治療 ] 前歯の見た目を改善したいの治療前](https://seimitsushinbi.jp/wp/wp-content/uploads/2025/10/IMG_9992-4-500x350.jpg?v=1761816446)
![[ セラミック治療 ] 前歯の見た目を改善したいの治療後](https://seimitsushinbi.jp/wp/wp-content/uploads/2025/10/IMG_9933-500x350.jpg?v=1761816429)
![[ セラミック治療 ] 前歯の見た目を改善したいの治療前](https://seimitsushinbi.jp/wp/wp-content/uploads/2025/10/IMG_9999-2-500x350.jpg?v=1761816449)
![[ セラミック治療 ] 前歯の見た目を改善したいの治療後](https://seimitsushinbi.jp/wp/wp-content/uploads/2025/10/IMG_9941-2-500x350.jpg?v=1761816435)
![[ セラミック治療 ] 前歯の見た目を改善したいの治療前](https://seimitsushinbi.jp/wp/wp-content/uploads/2025/10/CI5-500x350.jpg?v=1761816463)
![[ セラミック治療 ] 前歯の見た目を改善したいの治療後](https://seimitsushinbi.jp/wp/wp-content/uploads/2025/10/CI18-500x350.jpg?v=1761816464)
 
                  ![[セラミック治療]  溶けて形の悪くなった歯を改善したい](https://seimitsushinbi.jp/wp/wp-content/uploads/2020/09/8399b15d8f2af6801ec280f19e25456a-500x350.jpg?v=1601116140) 
                   
                  